Liên tiếp 3 ổ dịch bạch hầu ở Đắk Nông: Cách nhận biết bệnh?

(Kiến Thức) - Theo Sở Y tế tỉnh Đắk Nông, địa phương này vừa xuất hiện thêm một ổ dịch bạch hầu mới và không có mối liên quan với hai ổ dịch trước đó tại huyện Đắk Glong và Krông Nô.

Sáng 24/6, ông Hà Văn Hùng, phó giám đốc Sở Y tế Đắk Nông, cho biết đang thực hiện các biện pháp cách ly, khử trùng, tiêm vắcxin phòng bệnh do địa phương có thêm một ổ dịch bạch hầu mới tại xã Đắk R’măng, huyện Đắk Glong.
Điều đáng lo ngại là ổ dịch mới này không có mối liên quan đối với hai ổ dịch xảy ra tại huyện Krông Nô và xã Quảng Hòa (huyện Đắk Glong) nên địa phương phải tập trung rà soát nguồn lây bệnh để đảm bảo ngăn chặn kịp thời các điểm mới.
Theo lãnh đạo Sở Y tế Đắk Nông, đến sáng 24/6, Việt Nam đã có 12 ca dương tính với bạch hầu gồm 4 ca tại huyện Krông Nô đã được điều trị; 5 ca ở xã Quảng Hòa (trong đó có 1 ca tử vong) và 3 ca ở ổ dịch mới tại xã Đắk R’măng, huyện Đắk Glong.
Lien tiep 3 o dich bach hau o Dak Nong: Cach nhan biet benh?
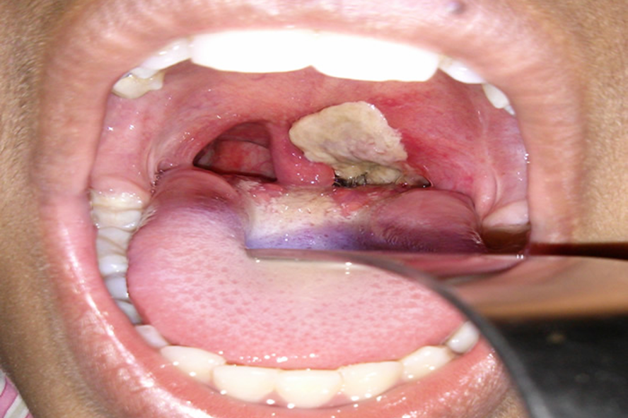
Triệu chứng dễ nhận thấy nhất của bệnh bạch hầu là hình thành mảng màu xám, dày ở họng và amidan. Ảnh: Internet. 
Dấu hiệu nhân biết bệnh bạch hầu
Theo lãnh đạo Trung tâm Kiểm soát bệnh tật Đắk Nông, các ổ dịch bệnh bạch hầu thời gian gần đây thường xuất hiện tại các khu dân cư có điều kiện sinh hoạt chưa đảm bảo vệ sinh. Đặc biệt, phần lớn người Mông ở các khu vực bệnh dịch có tỉ lệ tiêm chủng cực thấp. Chưa kể việc xác định nguồn lây bệnh đang gặp khó vì các trường hợp mắc bệnh đều không di chuyển khỏi địa phương (14 ngày theo quy định).
Ông Nguyễn Văn Hùng, phó giám đốc Sở Y tế Đắk Lắk, cho biết bạch hầu là bệnh nguy hiểm, nguy cơ tử vong cao và lây lan rất nhanh. Triệu chứng dễ nhận thấy nhất của bệnh bạch hầu là hình thành mảng màu xám, dày ở họng và amidan.
Triệu chứng bệnh khá rõ ràng, bệnh nhân sẽ có các triệu chứng lạ như ho sốt, mất tiếng, khàn giọng, đau họng. Bệnh nhân xuất hiện các triệu chứng phải đi kiểm tra, xét nghiệm để báo cơ quan chức năng sớm dập dịch, tránh lây lan trên diện rộng.
Bệnh bạch hầu thường khởi đầu như một đợt cảm lạnh thông thường, viêm họng, viêm amidan hay viêm thanh quản và có thể sẽ thấy lạ là bệnh này cũng có thể biểu hiện như một bệnh nhiễm trùng da.
Người mắc bệnh bạch hầu thường có tình trạng nhiễm trùng, nhiễm độc nặng. Độc tố bạch hầu gây liệt cơ, viêm cơ tim, dẫn đến tử vong trong vòng sáu ngày. Tỉ lệ tử vong khoảng 5-10%. Tỉ lệ tử vong có thể cao hơn với trẻ em dưới 15 tuổi.

Mời độc giả xem video "Nhiều hy vọng mới cho bệnh nhân ung thư". Nguồn: VTC14.

Ông Đặng Quang Tấn, Cục trưởng Cục Y tế dự phòng, Bộ Y tế, cho biết, bệnh bạch hầu lây truyền dễ dàng qua đường hô hấp hoặc qua tiếp xúc trực tiếp với các dịch tiết từ niêm mạc mũi họng của bệnh nhân hoặc người lành mang trùng khi ho, hắt hơi, đặc biệt trong khu vực dân cư đông đúc hoặc nơi có điều kiện vệ sinh không bảo đảm. Vì thế, việc cách ly y tế để hạn chế thấp nhất nguy cơ lây lan dịch bệnh.
TS Đặng Quang Tấn khuyến cáo: “Khi có dấu hiệu mắc bệnh hoặc nghi ngờ mắc bệnh bạch hầu phải được cách ly và đưa đến cơ sở y tế để được khám, điều trị kịp thời. Người dân trong ổ dịch cần chấp hành nghiêm túc việc uống thuốc phòng và tiêm vaccine phòng bệnh theo chỉ định và yêu cầu của cơ quan y tế”.
Trước đây bệnh lưu hành khá phổ biến ở hầu hết các địa phương trên cả nước. Từ khi vaccine phòng bạch hầu được đưa vào chương trình tiêm chủng mở rộng, bệnh đã được khống chế và chỉ ghi nhận một vài trường hợp lẻ tẻ do không tiêm vaccine phòng bệnh, thường xảy ra ở các khu vực vùng sâu, vùng xa nơi có tỷ lệ tiêm chủng thấp.
Hiện bệnh bạch hầu chưa được loại trừ ở nước ta, do đó, người dân vẫn có thể mắc bệnh nếu chưa tiêm vaccine phòng bệnh và tiếp xúc với mầm bệnh.

Món quà đặc biệt mẹ chồng cũ tặng tôi ngày tái hôn

Mẹ chồng cũ khóc nghẹn tặng tôi món quà, rồi bà đưa tôi lên xe hoa.

Trong cuộc đời, bạn từng nợ ân tình của ai đó chưa? Còn với tôi, người khiến tôi cả đời mang nặng nỗi niềm khôn nguôi chính là mẹ chồng cũ.

Tôi và con trai bà chưa có một đám cưới nào nhưng đã kịp ràng buộc bằng một tờ giấy đăng kí kết hôn. Ngày ấy, chúng tôi tròn 20 tuổi, yêu thương bằng tình cảm vụng dại.

Bình Phước giám sát chặt 38 bệnh nhân trong ổ dịch bạch hầu

(Kiến Thức) - BS Nguyễn Đồng Thông, Giám đốc Sở y tế Bình Phước cho biết, hiện địa phương đang giám sát và kiểm soát dịch bạch hầu ở Bình Phước chặt chẽ. 

Chiều nay (14/7), trao đổi với PV Kiến Thức, BS Nguyễn Đồng Thông, Giám đốc Sở y tế Bình Phước cho biết, hiện địa phương đang giám sát và kiểm soát dịch bạch hầu ở Bình Phước chặt chẽ. Hiện đang có 38 bệnh nhân mắc và nghi mắc bạch hầu đang được điều trị tại các tuyến y tế từ xã, huyện, tỉnh và TP HCM.
Binh Phuoc giam sat chat 38 benh nhan trong o dich bach hau
Bạch hầu là một một bệnh truyền nhiễm có tỷ lệ tử vong từ 5-10%.

Những điều cần biết về vacxin ngừa bệnh bạch hầu

(Kiến Thức) -Thông tin xuất hiện ổ dịch bạch hầu tại trường học ở Tây Giang (Quảng Nam) khiến 2 học sinh tử vong đang gây hoang mang dư luận. Để phòng bệnh, Kiến Thức xin gửi đến bạn điều cần biết về vacxin ngừa bệnh bạch hầu

Vacxin bạch hầu-uốn ván- ho gà (viết tắt là DTP): vacxin này phòng bệnh bạch hầu đồng thời phòng bệnh uốn ván và ho gà. Sử dụng vacxin này cho trẻ dưới 5 tuổi.
Các mẹ có thể tiêm phòng cho con tại các trạm y tế khu vực (ở đây chỉ cần đăng ký để được thực hiện theo chương trình tiêm chủng quốc gia). Mũi tiêm thứ 2 và thứ 3 (mũi cuối cùng) được thực hiện lần lượt sau 1 tháng. Khi tiêm phòng xong nhân viên y tế sẽ ghi đầy đủ thông tin về hành chính và các mũi tiêm phòng cho trẻ vào sổ để gia đình theo dõi.

Đọc nhiều nhất

Tin mới

Người mắc bệnh tuyến giáp kiêng ăn gì?

Người mắc bệnh tuyến giáp kiêng ăn gì?

Người bệnh tuyến giáp cần nắm rõ các loại thực phẩm cần tránh như đậu nành, đồ đóng hộp, nội tạng động vật để kiểm soát bệnh, nâng cao chất lượng cuộc sống.