Người phụ nữ mắc bệnh hiếm gặp, tác nhân gây bệnh là loại vi khuẩn lây qua đường tình dục cực quen mặt ở chị em

Sau khi xuất hiện những biểu hiện ở vùng kín, người phụ nữ 31 tuổi đi khám bất ngờ phát hiện mắc căn bệnh hiếm gặp từ những vi khuẩn lây truyền qua đường tình dục.

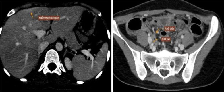
Chị Đ.T.T (31 tuổi, ở Hà Nội) thời gian gần đây xuất hiện tình trạng đau lan dọc mạn sườn, hố chậu phải, cơn đau bụng tăng khi hít thở mạnh, thay đổi tư thế đột ngột, kèm theo ít khí hư âm đạo bất thường nên đến viện thăm khám. Sau khi thăm khám, chị T được chỉ định siêu âm, xét nghiệm và nghi ngờ có tình trạng nhiễm trùng. Chụp cắt lớp vi tính kết quả cho thấy, có tình trạng bao gan dày, ngấm thuốc mạnh, dày nhẹ các quai ruột, thâm nhiễm mỡ vùng tiểu khung, ruột thừa tăng kích thước nhẹ.

Chị T sau đó được chỉ định khám chuyên khoa sản, xét nghiệm 12 tác nhân lây truyền qua đường tình dục. Kết quả cho dương tính với 4 tác nhân gồm vi khuẩn Chlamydia trachomatis, Ureaplasma parvum, Gardnerella vaginalis, nấm Candida albicans. Đây đều là các vi khuẩn rất quen mặt ở nữ giới, lây nhiễm khi quan hệ tình dục không an toàn, hoặc lây trong qua trình sinh hoạt như vệ sinh không sạch sẽ, dùng chung đồ dùng cá nhân.

Hình ảnh chụp cắt lớp vi tính ổ bụng của bệnh nhân. Ảnh: BSCC. 

Từ những kết quả trên, bác sĩ chẩn đoán chị T mắc hội chứng Fitz-Hugh-Curtis, do viêm phụ khoa từ vùng tiểu khung gây ra và được chỉ định điều trị nội trú tại bệnh viện. Sau 5 ngày điều trị nội trú tích cực, chị T. hết sốt, hết đau bụng, không ra dịch âm đạo bất thường, sức khỏe ổn định và được ra viện uống thuốc theo đơn.

Bác sĩ chuyên khoa 1 Hoàng Minh Tọa, chuyên khoa Nội cho biết, Hội chứng Fitz-Hugh-Curtis là một biến chứng hiếm gặp của bệnh lý viêm nhiễm phụ khoa, gây nên viêm dày dính bao gan. Nguyên nhân chủ yếu đến từ những vi khuẩn lây truyền qua đường tình dục. Đặc biệt hay gặp ở nữ giới, những người có quan hệ tình dục không an toàn.

Theo bác sĩ Tọa, những người bị viêm nhiễm phụ khoa có tình trạng sốt, đau bụng, cần thăm khám kịp thời phòng tránh biến chứng Fitz-Hugh-Curtis. Nguyên nhân chủ yếu gây hội chứng Fitz-Hugh-Curtis xuất phát từ nhiễm khuẩn Chlamydia Trachomatis hoặc Neisseria Gonorrhoeae - hai vi khuẩn lây truyền qua đường tình dục phổ biến.

Triệu chứng thường gặp của bệnh đó là đau bụng hạ vị, mạn sườn phải, hạ sườn phải dữ dội, đau tăng khi thay đổi tư thế, sốt nhẹ, rét run, đau đầu, mệt mỏi, ra khí hư âm đạo. Với những triệu chứng trên nên bệnh rất dễ bị bỏ sót và chẩn đoán nhầm lẫn, vì các triệu chứng thường giống với nhiều bệnh lý khác.

Bệnh có triệu chứng giống với các bệnh phụ khoa thông thường khác nên rất hay bị nhầm lẫn. Ảnh minh họa. 

Việc phát hiện và điều trị không kịp thời có thể dẫn đến những biến chứng nguy hiểm như viêm phúc mạc, nhiễm khuẩn huyết, hoặc để lại di chứng như đau mạn tính, tắc ruột, vô sinh do viêm vòi trứng. Trong một số trường hợp, điều trị bằng kháng sinh không thuyên giảm có thể phải can thiệp phẫu thuật để gỡ bỏ mô sẹo kết dính trong vùng quanh gan”, bác sĩ Tọa cảnh báo.

Theo vị bác sĩ này, bản chất của hội chứng Fitz-Hugh-Curtis là bệnh nhiễm trùng qua đường tình dục. Do đó, để phòng ngừa bệnh, việc ngăn chặn sự lây lan của vi khuẩn qua đường tình dục đóng vai trò quan trọng. Bác sĩ Hoàng Minh Tọa khuyến cáo, người dân cần lưu tâm các biện pháp sau để phòng tránh mắc bệnh:

- Quan hệ tình dục an toàn: Quan hệ chung thủy một bạn tình, sử dụng các biện pháp bảo vệ như bao cao su để giảm nguy cơ lây nhiễm các bệnh lây qua đường tình dục.

- Vệ sinh cá nhân sạch sẽ: Duy trì vệ sinh cá nhân sạch sẽ, đặc biệt là đường sinh dục để giảm thiểu khả năng nhiễm trùng do các vi khuẩn/ virus xâm nhập.

- Kiểm tra sức khỏe định kỳ: Thường xuyên đến cơ sở y tế để thăm khám, kiểm tra sức khỏe giúp phát hiện và điều trị bệnh kịp thời khi có triệu chứng bệnh.

Đọc nhiều nhất

Tin mới

10 trường Đại học có học phí cao nhất 2025: Nhiều ngành HOT, từ hàng trăm triệu đến gần 3 tỷ đồng mới tốt nghiệp

Các trường Đại học đã công bố mức học phí cho năm học mới 2025 - 2026. Ngoài các trường tư nhân, nhiều trường Đại học công lập cũng giữ mức học phí cao ngất ngưởng, đặc biệt là các chương trình chất lượng cao, song bằng hoặc liên kết quốc tế. Theo đó, học phí có thể dao động từ vài chục triệu đến hàng trăm triệu đồng/năm học, tùy thuộc vào từng ngành đào tạo.
Nơi nào có dân số đông số 1 Việt Nam, gắn với giai thoại “trấn yểm long mạch”, là "miền đất hứa" của người dân?

Nơi nào có dân số đông số 1 Việt Nam, gắn với giai thoại “trấn yểm long mạch”, là "miền đất hứa" của người dân?

Thành phố này được biết đến với cái tên “miền đất hứa”, trở thành nơi sinh sống và làm việc của người dân khắp mọi miền Tổ quốc. Đây là thành phố được mở rộng vượt bậc về quy mô và tầm vóc, kết nối chặt chẽ công nghiệp - cảng biển - tài chính - du lịch để trở thành siêu đô thị của cả nước.

Loại quả xưa chín rụng đầy không ai ngó ngàng, nay thành đặc sản người thành phố ưa chuộng vì có hương vị lạ, 65.000 đồng/kg

Dù có kích thước bé nhưng giống xoài cổ này của An Giang có hương vị đặc biệt và mùi thơm đặc trưng khiến ai ăn thử một lần đều thích mê mẩn. Trên chợ mạng, có vài địa chỉ rao bán xoài thanh ca mỗi khi đến mùa với giá lên tới 65.000 đồng/kg, đắt hơn so với các giống xoài thông thường.