Theo thông tin từ Trung tâm chống độc, Bệnh viện Bạch Mai, đơn vị đã tiếp nhận và điều trị cho bệnh nhân nữ 21 tuổi (Gia Lâm, Hà Nội) bị nhiễm độc chất Sibutramin do uống thuốc giảm cân không rõ nguồn gốc mua trên mạng xã hội Tiktok.
Theo lời kể của người nhà, bệnh nhân tiền sử khoẻ mạnh, khoảng một tháng gần đây có sử dụng một loại sản phẩm không rõ nguồn gốc mua trên mạng xã hội để giảm cân.
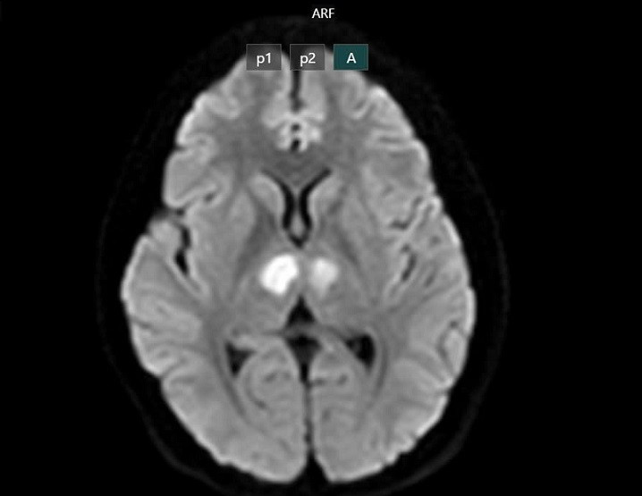
16h ngày 21/2 bệnh nhân vẫn nói chuyện với con, nhưng đến khoảng 19h30, gia đình phát hiện bệnh nhân trong trạng thái bất tỉnh, gọi hỏi không đáp ứng. Bệnh nhân không sốt, không co giật, không nôn. Người nhà đưa bệnh nhân đến bệnh viện tư để cấp cứu. Kết quả chụp MRI cho thấy não bệnh nhân có hình ảnh tổn thương vùng đồi thị hai bên. Gia đình xin chuyển bệnh nhân sang Bệnh viện Bạch Mai để được tiếp tục điều trị.
![]() |
| Phim chụp cho thấy não bệnh nhân bị tổn thương vùng đồi thị hai bên. Ảnh BVCC |
Tại Bệnh viện Bạch Mai, Trung tâm Chống độc gửi mẫu sản phẩm bệnh nhân uống cho Viện Kiểm nghiệm Vệ sinh An toàn thực phẩm Quốc gia để kiểm tra. Kết quả xét nghiệm cho thấy trong sản phẩm giảm cân có thành phần Sibutramin.
Theo chia sẻ của nữ bệnh nhân, chị mua sản phẩm giảm cân này trên Tiktok. Đã uống liên tục được hơn 1 tháng, với liều lượng mỗi ngày 1 viên. Sau thời gian uống và nhịn ăn, bệnh nhân giảm được 4-5kg.
Đặc biệt, bệnh nhân không thấy có biểu hiện mệt mỏi, lo lắng, hồi hộp, run chân tay, trống ngực sau khi uống thuốc.
Theo quan sát, lọ thuốc giảm cân của bệnh nhân sử dụng có chữ tiếng nước ngoài, không có nhãn phụ tiếng Việt. Trên lọ thuốc có nội dung “7 ngày giảm 7kg” bằng tiếng Anh. Do sản phẩm không có gì đảm bảo nên không thể chắc chắn mọi thông tin trên nhãn mác hay quảng cáo khi mua.
Uống thuốc giảm cân, thành phần chứa Sibutramin nguy hiểm như nào?
Theo TS. BS Nguyễn Trung Nguyên, Giám đốc Trung tâm Chống độc, Bệnh viện Bạch Mai cho biết: Sibutramin trước đây là một thuốc dùng đường uống để điều trị béo phì. Tuy nhiên qua quá trình sử dụng tại nhiều nước đã có các báo cáo về những trường hợp ngộ độc khi sử dụng thuốc này để giảm cân, bao gồm các trường hợp nặng và tử vong.
Ngày 14/04/2011, Cục Quản lý Dược cũng đã có công văn đình chỉ lưu hành trên toàn quốc các thuốc có chứa hoạt chất sibutramin và thu hồi toàn bộ các thuốc có chứa hoạt chất này. Do có tác dụng không mong muốn, Cục cũng đã rút số đăng ký của tất cả thuốc có chứa hoạt chất sibutramin. Sibutramin thuộc danh mục chất cấm sử dụng trong sản xuất, kinh doanh thực phẩm bảo vệ sức khỏe (Thông tư số 10/2021/TT-BYT).
![]() |
| Sản phẩm giảm cân người bệnh đang sử dụng. Ảnh BVCC |
“Tại Trung tâm Chống độc Bệnh viện Bạch Mai cũng từng tiếp nhận các bệnh nhân ngộ độc thực phẩm chức năng, các loại cà phê giảm cân,…do có chứa sibutramin. Đã có bệnh nhân bị hôn mê, co giật, tổn thương não. Trung tâm chống độc từng có các thông báo tới các cơ quan chức năng và chia sẻ khuyến cáo với cộng đồng về vấn đề này. Sibutramin là chất có nguy cơ độc tính rất cao, cấu trúc phân tử của sibutramin giống với ma túy amphetamine. Rõ ràng đây là chất nguy hiểm”, bác sĩ Nguyên chia sẻ.
Ngoài ra, Trung tâm chống độc còn từng tiếp nhận các bệnh nhân ngộ độc thực phẩm chức năng giảm cân có chứa nhiều chất khác như Phenolphthalein, cafein liều rất cao, synephrine,…
Các thực phẩm chức năng quảng cáo để giảm cân thường chứa rất nhiều chất và thường chia thành các nhóm sau:
Các chất kích thích như chất cấm sibutramine, cafein, thậm chí bột từ tuyến giáp động vật… Cơ chế hoạt động bắt các cơ quan nội tạng của cơ thể, đặc biệt là tim mạch, đốt cháy mỡ, tiêu thụ năng lượng mà không phải tăng vận động về thể lực. Điều này là phản khoa học và rất nguy hiểm, gây biến cố với tim mạch, não….
Các chất gây chán ăn, ví dụ phenylpropanolamine (trong số các chất này cũng có nhiều chất có rủi ro và độc tính cao).
Các chất độn để khi uống vào nở ra trong đường tiêu hóa tạo cảm giác no. Hầu hết các sản phẩm này đều không công bố hay ghi rõ thành phần các chất này trên nhãn mác, thường quảng cáo với lời lẽ quá mức, không có kiểm soát.
TS.BS Nguyên khuyến cáo, để giảm cân, người dân nên đi khám hoặc có lời khuyên trực tiếp từ bác sĩ hướng dẫn, đánh giá tình trạng và biện pháp cụ thể với từng người.
Cách thức phổ biến và an toàn nhất vẫn là điều chỉnh chế độ ăn uống và tăng cường vận động thể lực. Bên cạnh đó, các loại thực phẩm chức năng hiện nay ở Việt Nam đang được quảng cáo và hiểu sai rất nhiều. Khi cần mua bất cứ sản phẩm gì, đặc biệt dùng trên cơ thể người cần chọn các sản phẩm được sản xuất bởi các công ty được cấp phép và đáp ứng tiêu chuẩn của nhà nước, việc mua bán cũng cần trực tiếp qua nhà phân phối chính thức, có hóa đơn, đóng thuế rõ ràng.
Hiện nay, để đảm bảo an toàn và có tác dụng mong muốn, với tất cả các sản phẩm thực phẩm chức năng và thuốc, người dân không nên mua trên mạng xã hội, qua internet hay điện thoại.

