Tiêu xương hàm không còn cản trở việc trồng răng giả

(Kiến Thức) - Mất răng tiêu xương sẽ không còn là vấn đề khi bạn trồng răng giả với phương pháp cấy ghép Implant mới hiện nay.

Tieu xuong ham khong con can tro viec trong rang gia
 
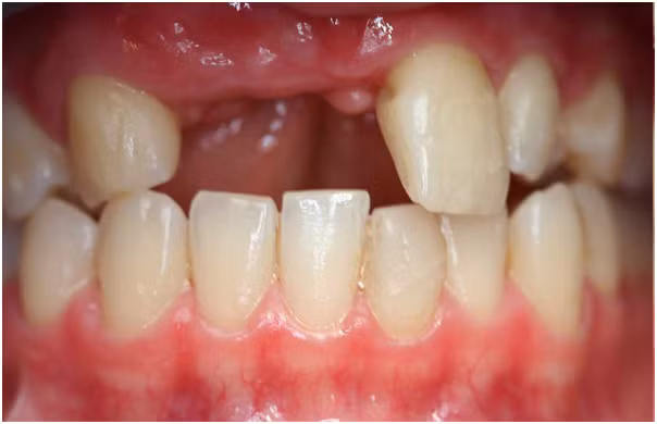
Tiêu xương hàm là một trong những tác hậu quả nghiêm trọng khi mất răng, không những gây ảnh hưởng đến thẩm mỹ, ăn nhai mà còn cản trở việc trồng răng giả sau này.
Sau khi mất răng, xương hàm sẽ bị sẽ tiêu biến dần đi. Biểu hiện rõ nhất là vùng nướu khuyết răng bị co lại, không còn đầy đặn như trước nữa. Các răng còn lại có xu hướng đổ nghiêng vào vùng nướu lõm này làm xáo trộn hoạt động khớp cắn.
Tieu xuong ham khong con can tro viec trong rang gia-Hinh-2
Tiêu xương hàm làm nướu bị teo. 
Trồng răng giả Implant khắc phục tiêu xương hàm
Các phương pháp trồng răng giả truyền thống gồm cầu răng sứ và hàm tháo lắp, không ngăn chặn được hiện tượng tiêu xương hàm. Theo thời gian, nướu sẽ dần teo lại, răng giả bị lung lay. Do đó, người sử dụng phải thay thế thường xuyên.
Cấy ghép răng Implant là phương pháp trồng răng giả hiện đại với khả năng hạn chế đến mức tối đa hiện tượng tiêu xương hàm. Bên cạnh đó, mật độ xương hàm thấp cũng không cản trở quá nhiều đến việc trồng răng Implant.
Trước khi cấy răng Implant, các các sĩ sẽ kiểm tra tình trạng xương hàm của bệnh nhân. Nếu xương không đủ độ dày sẽ thực hiện cấy ghép thêm xương để làm đầy vùng nướu răng bị mất. Điều này giúp vùng nướu răng ổn định và có thể giữ chắc trụ Implant trong xương hàm.
Tieu xuong ham khong con can tro viec trong rang gia-Hinh-3
Cấy ghép thêm xương trước khi trồng răng giả Implant. 
Bên cạnh đó, răng Implant hoạt động như một chiếc răng thực thụ. Lớp màng sinh học trên bề mặt trụ Implant sẽ giúp chúng tích hợp vào xương hàm và ngăn chặn hiện tượng tiêu xương do mất răng.
Cấy ghép xương hàm là một kỹ thuật khó, bác sĩ cần phải hiểu rõ, nắm vững được cấu trúc răng hàm mặt, có kỹ thuật cao và sự tỉ mỉ trong phân tích đánh giá tình trạng xương hàm.
Tieu xuong ham khong con can tro viec trong rang gia-Hinh-4
Chụp CT3D Cone Beam hiện đại tại nha khoa Đông Nam. 
Ngoài ra, Chụp CT với máy CT Scanner 3D Cone Beam hiện đại đánh giá rõ ràng nhất tình trạng tiêu xương hàm từ đó hỗ trợ rất nhiều cho việc chẩn đoán chính xác lượng xương hàm cần thiết phải cấy ghép.
Với đội ngũ bác sĩ có chuyên môn sâu, trang thiết bị máy móc hiện đại, cùng quy trình điều trị khép kín, vô trùng khép kín, Nha khoa Đông Nam tự hào là một trong những địa chỉ trồng răng Implant ghép xương tốt hiện nay.
Tieu xuong ham khong con can tro viec trong rang gia-Hinh-5
Trồng răng Implant cho người mất răng tiêu xương hàm tại Nha Khoa Đông Nam. 
Khi thực hiện trồng răng giả Implant tại đây, bạn sẽ được miễn phí khám tư vấn, chụp film CT3D tại chỗ, miễn phí răng sứ 1 triệu đồng trên mỗi trụ Implant và đặc biệt là miễn phí chi phí cấy ghép thêm xương khi bị tiêu xương hàm.
Các bạn cần thêm thông tin thì đừng ngần ngại hãy liên hệ theo thông tin bên dưới để được hướng dẫn!
NHA KHOA ĐÔNG NAM
Cơ sở 1: 411 Nguyễn Kiệm, P.9, Q. Phú Nhuận, TPHCM
Cơ sở 2: 614 - 616 Lê Hồng Phong, P.10, Q.10, TPHCM
Tổng đài: 1900.7141
Điện thoại: (028) 7.307.7141
Mobile: 0972.411.411
Email: nhakhoadongnam@gmail.com

Hành trình từ bác sĩ nha khoa đến tân Tổng thống Pakistan

(Kiến Thức) - Trước khi bước chân vào con đường chính trị, Tân Tổng thống Pakistan Arif Alvi, từng là một bác sĩ nha khoa thậm chí còn sở hữu một bệnh viện nha khoa tiếng tăm nhất Pakistan.

Hanh trinh tu bac si nha khoa den tan Tong thong Pakistan
Theo kết quả kiểm phiếu sơ bộ được công bố, ứng cử viên thuộc Đảng Tehreek-i-Insaf (Phong trào vì Công lý - PTI) cầm quyền, ông Arif Alvi, đã giành chiến thắng trong cuộc bầu cử Tổng thống Pakistan ngày 4/9. Ảnh: Dunya News. 

Hanh trinh tu bac si nha khoa den tan Tong thong Pakistan-Hinh-2
 Theo đó, ông Alvi đã giành chiến thắng với 353 phiếu nhận được từ tất cả các điểm bỏ phiếu, bao gồm 212 phiếu ở Quốc hội, 45 phiếu từ tỉnh Balochistan, 41 phiếu ở tỉnh Khyber Pakhtunkhwa, 33 phiếu ở tỉnh Punjap và 22 phiếu ở tỉnh Sindh. Ảnh: Facebook.

Hanh trinh tu bac si nha khoa den tan Tong thong Pakistan-Hinh-3
 Ông Alvi đã tuyên bố giành chiến thắng sau khi nhận được kết quả kiểm phiếu sơ bộ tại Quốc hội. Phát biểu với các phóng viên bên ngoài tòa nhà Quốc hội, ông Alvi cam kết nỗ lực vì hạnh phúc của người dân Pakistan bằng cách tuân theo luật pháp và hiến pháp. Ảnh: India TV.

Hanh trinh tu bac si nha khoa den tan Tong thong Pakistan-Hinh-4
 Dự kiến, ông Alvi sẽ chính thức nhậm chức vào ngày 9/9 tới sau khi Tổng thống đương nhiệm Mammoon Hussain kết thúc nhiệm kỳ 5 năm của mình. Ảnh: Daily Pakistan.

Hanh trinh tu bac si nha khoa den tan Tong thong Pakistan-Hinh-5
Tân Tổng thống Arif Alvi sinh ngày 29/7/1949, tại Karachi, Pakistan. Cha ông là một bác sĩ nha khoa từng làm việc tại Ấn Độ nhưng sau đó di cư tới Karachi và mở phòng khám tại thị trấn Saddar. Ảnh: Twitter. 

Hanh trinh tu bac si nha khoa den tan Tong thong Pakistan-Hinh-6
Năm 1967, ông Alvi chuyển tới Lahore để tiếp tục theo đuổi sự nghiệp học hành. Ông tốt nghiệp trường Đại học Nha khoa de'Montmorency với tấm bằng cử nhân Phẫu thuật nha khoa. Ảnh: Youtube. 

Hanh trinh tu bac si nha khoa den tan Tong thong Pakistan-Hinh-7
 Sau đó, ông lấy bằng Thạc sĩ chuyên ngành Phục hình răng miệng của Trường Đại học Michigan (Mỹ) vào năm 1975 và tiếp đến là bằng Thạc sĩ của trường Đại học Pacific (Mỹ) năm 1984. Ảnh: NI.

Hanh trinh tu bac si nha khoa den tan Tong thong Pakistan-Hinh-8
 Sau khi tốt nghiệp và trở về Pakistan, ông Alvi làm việc đúng chuyên ngành của mình và thành lập Bệnh viên Nha khoa Alvi. Ảnh: bexpress.

Hanh trinh tu bac si nha khoa den tan Tong thong Pakistan-Hinh-9
Ông Arif Alvi bắt đầu hoạt động chính trị tích cực sau khi cựu Tổng thống Zulfikar Ali Bhutto thông báo về cuộc tổng tuyển cử của Pakistan năm 1977. Ảnh: UrduPoint. 

Hanh trinh tu bac si nha khoa den tan Tong thong Pakistan-Hinh-10
Ông Alvi gia nhập Đảng PTI năm 1996 và trở thành một trong những thành viên sáng lập đảng này. Ông trở thành Phó Chủ tịch của Đảng PTI vào năm 2001. Ảnh: Gulf News.  

Hanh trinh tu bac si nha khoa den tan Tong thong Pakistan-Hinh-11
 Trong khoảng thời gian 2006-2013, ông giữ chức Tổng thư ký PTI. Ông được bầu vào Quốc hội Pakistan vào năm 2013 và tái đắc cử vào năm 2018.  Ảnh: Oneindia.

Hanh trinh tu bac si nha khoa den tan Tong thong Pakistan-Hinh-12
 Ngày 18/8/2018, ông Alvi được PTI đề cử làm đại diện của đảng này tham gia tranh cử Tổng thống Pakistan và trong cuộc tổng tuyển cử hôm 4/9, ông đã giành chiến thắng.  Ảnh: PTI.

Thêm ưu đãi cho chủ thẻ Vpoint khi đến với Nha khoa Phương Anh

(Kiến Thức) - Bên cạnh việc hưởng dịch vụ ưu việt từ Nha Khoa Phương Anh, khách hàng còn nhận thêm ưu đãi đặc biệt từ cộng đồng liên minh Vpoint.

Nha khoa Phương Anh, trực thuộc Công ty Cổ phần Tập đoàn Y Dược Phương Anh, là đơn vị có uy tín chuyên về lĩnh vực nha khoa với chất lượng dịch vụ tốt, đội ngũ bác sĩ chuyên nghiệp và tận tâm.
Ngày 5/10 vừa qua, Nha khoa Phương Anh chính thức tham gia vào hệ thống thẻ tích điểm đa năng Vpoint. Như vậy bên cạnh việc hưởng dịch vụ ưu việt từ Nha Khoa Phương Anh, khách hàng còn nhận thêm ưu đãi đặc biệt từ cộng đồng liên minh Vpoint.

Trồng răng giả cố định với giá ưu đãi tại Nha Khoa Đông Nam

(Kiến Thức) - Chi phí trồng răng giả cố định đã không còn đáng lo ngại với chương trình ưu đãi của Nha khoa Đông Nam. Hơn hết, đây lại là một dòng răng toàn sứ cao cấp khắc phục được nhược điểm của răng sứ thông thường.

Trong rang gia co dinh voi gia uu dai tai Nha Khoa Dong Nam
 
Khi được hỏi về các dòng răng sứ ưu việt hiện nay, Bác sĩ Thanh, chuyên gia răng sứ thẩm mỹ tại Nha Khoa Đông Nam cho biết:

Đọc nhiều nhất

Tin mới