Công ty Cổ phần Sách – Thiết bị Trường học Kiên Giang được phê duyệt trúng thầu với giá 1,024 tỷ đồng, hợp đồng trọn gói, thời gian thực hiện 75 ngày.
Công an TP Hà Nội vừa phát hiện nhiều sai phạm trong hoạt động kinh doanh thực phẩm chức năng tại Công ty TNHH ONNURI VINA.
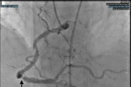
Người phụ nữ ở Quảng Trị bị xuất huyết não, nguy cơ tử vong cao, nhưng may mắn được các bác sĩ cấp cứu kịp thời nên đã vượt qua lằn ranh sinh tử.
Thời điểm cận Tết, nhu cầu làm đẹp tăng cao khiến tỷ lệ biến chứng cũng có xu hướng gia tăng theo.
Nhờ phản ứng nhanh và kỹ thuật cao, đội ngũ y bác sĩ đã cứu sống bệnh nhân hôn mê sâu, mở ra hy vọng cho các ca chấn thương nghiêm trọng.
Các bác sĩ đã cứu sống thai nhi mắc dị tật tim nặng bằng kỹ thuật phức tạp, thể hiện bước tiến lớn trong chăm sóc y tế sớm cho trẻ sơ sinh.
Trong ngày đầu năm, Hà Nội phát hiện và tiêu hủy 831 kg chân gà bẩn, xử phạt và buộc tiêu hủy toàn bộ hàng hóa vi phạm, đảm bảo an toàn thực phẩm.
Hà Nội vừa ban hành Kế hoạch kiểm soát mất cân bằng giới tính khi sinh trên địa bàn thành phố giai đoạn năm 2026-2030.
Một vụ nghi ngộ độc thực phẩm xảy ra ở Sơn La khiến 1 người tử vong, 5 người đau bụng, tiêu chảy... phải nhập viện cấp cứu.
Việc sơn móng quá thường xuyên có thể gây tổn thương móng, ảnh hưởng thần kinh, hô hấp và tiềm ẩn nguy cơ ung thư do hóa chất độc hại.
Sau khi bị chó hoang cắn, không tiêm phòng, bé trai 14 tuổi mắc bệnh dại, không còn cơ hội sống, nhấn mạnh tầm quan trọng của tiêm phòng ngừa dại.
Bệnh viện Nhi đồng Thành phố vừa cứu sống một bé trai 24 tháng tuổi, trú tại xã Bình Chánh, thành phố Hồ Chí Minh mắc bệnh tay chân miệng nguy kịch.
Bệnh nhân 32 tuổi bị ngừng tim khi đang chơi thể thao do viêm cơ tim cấp đã thoát khỏi cửa tử nhờ cấp cứu kịp thời.
Thiếu vitamin D gây nhiều vấn đề sức khỏe nghiêm trọng. Các nguồn thực phẩm giàu vitamin D như cá hồi, trứng, hàu giúp duy trì sức khỏe tốt.
Khoai lang không chỉ để luộc hay hấp. Với vài cách chế biến nhanh gọn, loại củ quen thuộc này có thể dùng cho bữa sáng, trưa nhẹ hoặc bữa xế tiện lợi.
Năm 2025 chứng kiến hàng loạt vụ án thực phẩm chức năng giả gây sốc, từ kẹo Kera đến yến giả, gây thiệt hại lớn cho người tiêu dùng và ngành y tế.
Những thói quen sinh hoạt hằng ngày tưởng như vô hại lại có thể âm thầm làm sắc đẹp xuống cấp, từ làn da đến vóc dáng và thần thái.
Vụ mỹ phẩm nhập lậu của Mailisa là một trong những vụ án kinh tế lớn năm 2025 gây rúng động dư luận.
Hộ kinh doanh Pascell Beauty Clinic, Công ty TNHH Đông y Kyunghee, Công ty TNHH Đầu tư Thương mại DV MQV, Da liễu Skinone... bị xử phạt vì dính vi phạm.
Rau càng cua giàu vitamin, khoáng chất và chất xơ, tốt cho tiêu hóa, xương khớp. Tuy nhiên, 4 nhóm người nên hạn chế ăn để tránh tác dụng phụ.
Phòng khám chuyên khoa Phẫu thuật thẩm mỹ Curie cùng nhiều cơ sở y tế ở TP HCM bị phạt vì vi phạm, buộc tháo gỡ quảng cáo, thu hồi hàng hóa không đúng quy định.