![]() |
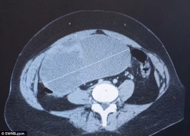
| Khối u to như quả bóng bầu dục trong tử cung. |
![]() |
| Khối u to như quả bóng bầu dục trong tử cung. |
Suốt hai tháng, bé M.A không có dấu hiệu gì quá rõ rệt ngoài phần bụng lớn hơn bình thường, cha mẹ bé vì thế chủ quan không đưa con đi khám sớm. Đến tận ngày 20/10, bé M.A được đưa đến bệnh viện Nhi T.Ư, các bác sĩ phát hiện bé có khối u lớn ở buồng trứng, đồng thời chỉ định phẫu thuật nội soi mổ bóc tách khối u. Tuy nhiên, do phát hiện quá muộn, khối u đã quá lớn nên các bác sĩ buộc phải cắt bỏ một bên buồng trứng của bé M.A.
Trước đó, ngày 18/10, bệnh viện Nhi T.Ư đã tiếp nhận cho bé L.P.L 11 tuổi ở Hà Nội có khối u buồng trứng bên trái đã bị xoắn. Do được phát hiện sớm, bé L. đã được cắt bỏ khối u bảo tồn buồng trứng, đồng thời được cố định buồng trứng bên phải.
![]() |
| Chẳm chéo. Là loại nước chấm đặc trưng của người Thái vùng núi Tây Bắc. Chẳm chéo có mặt trong bữa ăn hàng ngày của người Thái. Họ dùng nước chấm đặc biệt này ăn cùng các món như xôi, măng, thịt cá. Hương vị đặc trưng không loại nước chấm nào có được, nhất là cái sự đậm đà, cay cay, tê tê cứ ngấm dần vào cơ thể, xua tan cái giá rét của núi rừng miền Bắc những ngày đông giá rét. |
![]() |
| Làm nước chấm chẳm chéo có vẻ như rất đơn giản, nguyên liệu bình dân như tỏi, ớt tươi, tỏi tươi, rau mùi, mắm, đường... rửa sạch băm nhỏ. Rắc thêm ít bột mắc khén là đã có bát nước chấm đặm đà rồi. |
![]() |
| Quá trình trao đổi chất của cơ thể diễn ra mạnh nhất vào buổi sáng, cũng là thời gian hấp thụ dinh dưỡng tốt nhất. Theo thống kê của các nhà dinh dưỡng thì có đến 50% chất dinh dưỡng trong ngày được hấp thụ từ bữa sáng vì thế ăn sáng là vô cùn quan trọng đối với sức khỏe của con người. Dưới đây là thực đơn lý tưởng dành cho bà bầu trong bữa sáng. |
![]() |
| Các sản phẩm từ lúa mì. Các bà mẹ nên lựa chọn các sản phẩm làm từ bột yến mạch tự nhiên, không chứa đường và các thành phần khác , cũng có thể ăn thêm chút lạc nhân, nho khô hoặc mật ong. |
![]() |
| Bánh mỳ nguyên hạt có thể đảm bảo được từ 20-35 gram chất xơ mỗi ngày. Đồng thời, có thể cung cấp một lượng sắt và kẽm phong phú. |
Sự gia tăng của mỹ phẩm giả mạo, chứa độc tố, đang đe dọa sức khỏe cộng đồng, khiến các cơ quan siết chặt kiểm tra và xử lý.
Ông Vũ Minh Châu, nhà sáng lập vàng Bảo Tín Minh Châu cùng con trai và hai nhân viên bị điều tra Vi phạm quy định về kế toán gây hậu quả nghiêm trọng.
Công ty TNHH TM-DV-XD Quân Hào vừa được lựa chọn thực hiện gói thầu xây lắp tại xã Tân Hòa, tuy nhiên điều mà dư luận quan tâm là năng lực của nhà thầu
Công ty Vinaly vừa được chỉ định thầu dự án kè suối Thái Tri với giá hơn 1,74 tỷ đồng, tiết kiệm cho ngân sách nhà nước hơn 26 triệu đồng.
Sau khi tỉnh Cà Mau hoàn tất việc sắp xếp đơn vị hành chính cấp xã, Công ty TNHH một thành viên Xây dựng Lê Vy liên tiếp ghi danh tại các gói thầu xây lắp giá trị cao, khởi đầu cho một vệt trúng thầu dày đặc trong năm 2026.
Dù đấu thầu rộng rãi, gói thầu nhà văn hóa xã Cát Tiên 3 chỉ có Liên danh Trí Khôi - Bá Trí dự thầu và trúng sát giá, tiết kiệm vỏn vẹn 0,2%
Gói thầu xây dựng tại xã Đạ Huoai (Lâm Đồng) có tỷ lệ tiết kiệm ngân sách xấp xỉ 1%, đặt ra bài toán về tính cạnh tranh và hiệu quả kinh tế trong đầu tư công.
Đại biểu Nguyễn Thị Việt Nga đã chỉ ra những kẽ hở lớn trong hệ thống kiểm soát an toàn thực phẩm từ vụ 300 tấn thịt lợn dịch tuồn vào bếp ăn trường học.
Phân tích lịch sử đấu thầu của Công ty TNHH Kỹ thuật Sao Việt cho thấy sự xuất hiện dày đặc của doanh nghiệp này tại Trung tâm Kỹ thuật Tiêu chuẩn Đo lường Chất lượng 3 với tỷ lệ tiết kiệm thường ở mức thấp.
Công an Thanh Hóa phát hiện 22 loại thực phẩm chức năng nghi giả, có thể gây nguy hại cho người tiêu dùng, khuyến cáo kiểm tra kỹ trước khi sử dụng.
Với đội ngũ nhân sự khiêm tốn và điểm năng lực tài chính thấp, Công ty Kỹ thuật Sài Gòn Triển Vọng vẫn liên tiếp ghi danh tại các gói thầu thiết bị của các trường đại học, cao đẳng
Dù bỏ giá thấp hơn đối thủ gần 174 triệu đồng, Liên danh đường Cơ Nhì vẫn bị loại khỏi gói thầu xây lắp tại phường Vĩnh Phước do sai sót nghiêm trọng về biện pháp kỹ thuật.
Chỉ trong vòng 3 tháng đầu năm 2026, Công ty TNHH Xây dựng Thương mại Tân Thành Đạt đã liên tiếp trúng thầu hàng loạt dự án xây lắp và tư vấn tại khu vực Ninh Hòa, tỉnh Khánh Hòa với tỷ lệ trúng thầu tổng thể gây ngỡ ngàng.
Dù đưa ra các bản cam kết "nặng ký" về nguồn gốc thực phẩm, nhưng khả năng kiểm soát chất lượng của nhà thầu Ban Mai với nhân sự mỏng vẫn là dấu hỏi lớn
Với 149 gói thầu tham gia và trúng thầu tuyệt đối 149 gói, đạt tỷ lệ 100%, Công ty Cổ phần Dịch vụ Suất ăn công nghiệp Hà Nội đang xác lập một kỷ lục khó tin trong lĩnh vực suất ăn học đường.
Với tỷ lệ trúng thầu lên tới hơn 81%, Công ty TNHH Xây dựng Nguyễn Phúc Cần Đước đang cho thấy một năng lực tham gia thầu đáng nể tại khu vực phía Nam.
Công an Thanh Hóa phát hiện 22 loại thực phẩm chức năng nghi giả, có thể gây nguy hại cho người tiêu dùng, khuyến cáo kiểm tra kỹ trước khi sử dụng.
Việc Công ty TNHH Thương mại Gia Bảo A.B trúng thầu liên tiếp đặt ra bài toán về việc huy động nhân sự thực hiện gói thầu đúng cam kết theo quy định pháp luật.
Nhằm siết chặt quản lý và bảo vệ sức khỏe học sinh, TP HCM ban hành kế hoạch kiểm tra 317 cơ sở cung cấp suất ăn, nguyên liệu, thực phẩm cho trường học.
Thông qua đấu thầu rộng rãi qua mạng, gói thầu nâng cấp các tuyến hẻm tại phường Long Đức (Vĩnh Long) đã chọn được nhà thầu với giá tiết kiệm ngân sách gần 9%.
Qua vệt bài phân tích 5 kỳ, bức tranh đa dạng về nhà thầu Hồng Hậu đã lộ diện những mâu thuẫn giữa con số tiết kiệm và sai sót kỹ thuật, đòi hỏi sự giám sát quyết liệt của các cơ quan.
Đại biểu Nguyễn Thị Việt Nga đã chỉ ra những kẽ hở lớn trong hệ thống kiểm soát an toàn thực phẩm từ vụ 300 tấn thịt lợn dịch tuồn vào bếp ăn trường học.
Với giá trúng thầu hơn 1,8 tỷ đồng, Công ty TNHH xây dựng Đông Bắc vừa được chỉ định thực hiện gói thầu xây dựng cầu tại xã Lương Thế Trân, tỉnh Cà Mau.
Công ty TNHH TM-DV-XD Quân Hào vừa được lựa chọn thực hiện gói thầu xây lắp tại xã Tân Hòa, tuy nhiên điều mà dư luận quan tâm là năng lực của nhà thầu
Việc áp dụng cơ chế lựa chọn nhà thầu trong trường hợp đặc biệt theo Nghị định 214/2025/NĐ-CP đang đặt ra dấu hỏi lớn về tính minh bạch và an toàn thực phẩm học đường năm 2026.
Sau khi tỉnh Cà Mau hoàn tất việc sắp xếp đơn vị hành chính cấp xã, Công ty TNHH một thành viên Xây dựng Lê Vy liên tiếp ghi danh tại các gói thầu xây lắp giá trị cao, khởi đầu cho một vệt trúng thầu dày đặc trong năm 2026.
Dù đấu thầu rộng rãi, gói thầu nhà văn hóa xã Cát Tiên 3 chỉ có Liên danh Trí Khôi - Bá Trí dự thầu và trúng sát giá, tiết kiệm vỏn vẹn 0,2%
Gói thầu xây dựng tại xã Đạ Huoai (Lâm Đồng) có tỷ lệ tiết kiệm ngân sách xấp xỉ 1%, đặt ra bài toán về tính cạnh tranh và hiệu quả kinh tế trong đầu tư công.
Công ty Vinaly vừa được chỉ định thầu dự án kè suối Thái Tri với giá hơn 1,74 tỷ đồng, tiết kiệm cho ngân sách nhà nước hơn 26 triệu đồng.
Phân tích lịch sử đấu thầu của Công ty TNHH Kỹ thuật Sao Việt cho thấy sự xuất hiện dày đặc của doanh nghiệp này tại Trung tâm Kỹ thuật Tiêu chuẩn Đo lường Chất lượng 3 với tỷ lệ tiết kiệm thường ở mức thấp.