Việt Nam: Điểm sáng mới trên thị trường AI thế giới

“Hành trình mang trí tuệ nhân tạo vào Y Tế của DrAid” là nội dung được VinBrain – 1 trong 3 đại diện của Việt Nam

mang tới hội nghị ảo AI toàn cầu (GTC) do NVIDIA - tập đoàn công nghệ đa quốc gia của Mỹ tổ chức từ ngày 8/11 – 11/11/2021. Hội nghị GTC 2021 thu hút sự tham gia của hơn 200.000 nhà nghiên cứu và nhà lãnh đạo AI thế giới.
Anh tài AI thế giới quy tụ tại GTC 2021
Hội nghị GTC 2021 do Nvidia tổ chức tập trung vào AI, một trong những công nghệ mũi nhọn trong các thiết bị hiện đại ngày nay. Các diễn giả chính tại sự kiện bao gồm các gương mặt nổi tiếng trong lĩnh vực AI toàn cầu như: Anima Anandkumar, Giám đốc nghiên cứu tứu NVIDIA; Alan Aspuru-Guzik, Giáo sư hóa học và khoa học máy tính của Đại học Toronto (Canada); Kay Firth-Butterfield, Diễn đàn Kinh tế Thế giới; Samy Bengio, Giám đốc cấp cao về nghiên cứu AI và ML đến từ Apple… Các nhà lãnh đạo từ hàng trăm tổ chức khác cũng sẽ có mặt, bao gồm Amazon, AstraZeneca, Baidu, BMW, Facebook, Ford, Google, Microsoft, MIT, Oak Ridge National Laboratory, Red Hat, Rolls-Royce, Salesforce, Samsung, ServiceNow, Snap, Volvo, Walmart và WPP…
GTC 2021 là cơ hội lớn các nhà phát triển và các nhà lãnh đạo doanh nghiệp có thể học hỏi được những tiến bộ mới nhất trong lĩnh vực AI, tăng tốc tính toán và đồ họa máy tính từ các nhà đổi mới, nhà khoa học và nhà nghiên cứu hàng đầu thế giới.
Trong 3 đại diện Việt Nam vinh dự góp mặt tại sự kiện, ông Trương Quốc Hùng – Tổng giám đốc công ty VinBrain sẽ chia sẻ về hành trình mang AI vào Y Tế của DrAid - sản phẩm “Make-in-Vietnam” đã tạo được tiếng vang trên thị trường AI quốc tế trong năm vừa qua. Giữa hàng trăm các nội dung chia sẻ của các diễn giả trên toàn thế giới, chủ đề của VinBrain mang tới hội nghị hiện đang là nội dung được quan tâm nhất trong nhóm các nội dung của khu vực châu Á – Thái Bình Dương.
Viet Nam: Diem sang moi tren thi truong AI the gioi
 Ông Trương Quốc Hùng – Tổng giám đốc công ty VinBrain là 1 trong 3 đại diện Việt Nam góp mặt tại hội nghị GTC 2021.
Công cụ AI sàng lọc và tiên lượng Covid-19 hàng đầu Việt Nam
Khi AI vẫn đa số chỉ dừng lại ở mức đề tài nghiên cứu hoặc được thử nghiệm trên qui mô nhỏ, DrAid của Việt Nam đã tạo được dấu ấn với tính ứng dụng thực tiễn của mình với hơn 600 bác sĩ của gần 100 bệnh viện trên toàn quốc sử dụng.
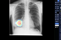
Ra mắt tháng 6/2020, DrAid là sản phẩm AI trợ lý bác sĩ cho chẩn đoán hình ảnh y tế hoàn chỉnh đầu tiên của y tế Việt Nam. Sản phẩm có khả năng phát hiện, sàng lọc trên 21 dấu hiệu bất thường và bệnh lý về Tim Phổi– Xương trong vòng 5 giây với độ chính xác trên 90,2%. DrAid cũng giành chiến thắng Giải thưởng Quốc tế ACM SIGAI 2021 cho sản phẩm ứng dụng trí tuê nhân tạo xuất sắc nhất.
Đặc biệt, tính năng cảnh báo và tiên lượng điều trị COVID-19 của DrAid đã được Hội đồng Khoa học Bộ Y tế Việt Nam nghiệm thu. Đây được coi là một công cụ hỗ trợ sàng lọc và tiên lượng điều trị COVID-19 mới hữu hiệu, góp phần chủ động dự phòng và kiểm soát dịch hiệu quả, nhất là trong giai đoạn COVID-19 đang tiếp tục lây lan như hiện nay.
Tại Việt Nam, chụp X-quang hiện vẫn là phương pháp chẩn đoán hình ảnh dễ tiếp cận nhất và được ứng dụng rộng rãi ở Y tế các cấp thuộc mọi vùng miền. Mô hình AI của DrAid cho COVID-19 lại được đào tạo trên bộ dữ liệu lớn các ảnh X-quang ngực thẳng. Bởi vậy, việc ứng dụng DrAid cho COVID-19 vào sàng lọc, chẩn đoán và tiên lượng điều trị bệnh nhân COVID-19 tại các cơ sở y tế rất thuận lợi và dễ dàng nhân rộng trên toàn quốc.
Viet Nam: Diem sang moi tren thi truong AI the gioi-Hinh-2
Bác sĩ tại bệnh viện Trung Ương Huế sử dụng ứng dụng DrAid của VinBrain. 
Hiện DrAid cho COVID-19 đang được được Sở Y Tế thành phố Hồ Chí Minh chính thức đưa vào sử dụng tại các bệnh viện và trung tâm y tế bước đầu mang lại kết quả khả quan, có ý nghĩa trong hỗ trợ tiên lượng tình hình nhiễm SARS-CoV-2 và các bệnh nhân mắc COVID-19. Như vậy, với sự hỗ trợ đắc lực của DrAid cho COVID-19, các chuyên gia tiên đoán việc dự phòng và kiểm soát COVID-19 sẽ được diễn ra hoàn toàn chủ động, mọi lúc mọi nơi, tối ưu các nguồn nhân lực và ngân sách Y tế.
Có thể thấy, AI Việt Nam đang từng bước vươn lên trở thành điểm sáng, được sự ghi nhận của cộng đồng AI thế giới. Minh chứng là việc các đại diện AI Việt Nam liên tục được mời chia sẻ về các nghiên cứu, sản phẩm của mình tại các hội nghị, sự kiện AI toàn cầu. Thống kê của WIPO cho thấy, tính đến năm 2018, trong 6 nước khu vực ASEAN có phát minh, sáng chế về trí tuệ nhân tạo, Việt Nam đứng thứ 2 với tổng cộng 372 hồ sơ. Từ năm 2016-2020, tại Việt Nam có 96 dự án quốc gia liên quan đến trí tuệ nhân tạo được đầu tư, với tổng số vốn là 169,2 tỷ đồng.

DrAid – Công cụ sàng lọc và tiên lượng điều trị COVID-19 ứng dụng AI đầu tiên tại Việt Nam

DrAid cho COVID-19 - sản phẩm ứng dụng Trí tuệ nhân tạo (AI) của Công ty Cổ phần VinBrain (thuộc Tập đoàn Vingroup) – vừa được Hội đồng Khoa học Bộ Y tế nghiệm thu và đặc biệt kiến nghị nên sớm đưa vào sử dụng hàng ngày tại các bệnh viện trong giai đoạn COVID-19 đang tiếp tục lây lan như hiện nay.

Ứng dụng AI chẩn đoán và tiên lượng điều trị COVID-19 đầu tiên tại Việt Nam
Sau hơn 1 năm nghiên cứu và phát triển, mới đây, VinBrain đã chính thức hoàn thiện sản phẩm DrAid cho COVID-19 với khả năng giải toàn diện bài toán COVID-19 từ hỗ trợ chẩn đoán tới tiên lượng điều trị dựa trên ảnh X-quang ngực thẳng

VinBrain sử dụng “siêu máy tính” cho các giải pháp ứng dụng AI

(Kiến Thức) - VinBrain (thuộc Tập đoàn Vingroup) là một trong những công ty tiên phong trong việc sử dụng thế hệ siêu máy tính NVIDIA DGX A100 trong việc phát triển một cách hiệu quả và đột phá các sản phẩm AI. 

Ứng dụng AI cho các giải pháp chăm sóc sức khỏe

VinBrain lọt vòng chung kết cuộc thi toàn cầu “Thử thách ứng phó với đại dịch”

Đội ngũ VinBrain tại Hoa Kỳ đã xuất sắc lọt vào vòng chung kết của cuộc thi toàn cầu “Thử thách ứng phó với đại dịch” với giải thưởng trị giá tới 500.000 USD do XPRIZE và Cognizant tổ chức. Cuộc thi “Thử thách Ứng phó với Đại dịch” nhằm khai thác sức mạnh của dữ liệu và trí tuệ nhân tạo để dự đoán tỷ lệ lây nhiễm COVID-19, đồng thời đề xuất các Kế hoạch can thiệp dành cho các chính phủ, cộng đồng và tổ chức khu vực với mục tiêu khống chế dịch khi mở cửa lại nền kinh tế.

Được phát động vào Tháng 11/2020, cuộc thi “Thử thách ứng phó với đại dịch” do XPRIZE và Cognizant đồng tổ chức. Các đội tham gia cuộc thi sẽ phát triển các mô hình dựa trên trí tuệ nhân tạo để đưa ra các khuyến nghị nhằm đạt mục tiêu “kép”: mở cửa lại xã hội một cách an toàn, hạn chế tác động tiêu cực đến kinh tế; đồng thời giảm thiểu khả năng bùng phát của virus SARS-CoV-2.

48 đội đến từ 17 quốc gia đã được chọn vào chung kết trong tổng số 104 đội đến từ 28 quốc gia ở vòng bán kết dựa trên đánh giá của Ban Giám Khảo độc lập về mô hình AI dự đoán tốc độ và mô hình lây nhiễm COVID-19 của các đội.

Đọc nhiều nhất

Tin mới