Cô gái ho ra máu, xẹp phổi vì tập thói quen xấu cùng bạn

Đi chơi cùng bạn, cô gái được rủ hút thuốc lá điện tử. Sau vài tuần, cô gái đột ngột ho ra đàm kèm máu tươi, phổi xẹp.

Co gai ho ra mau, xep phoi vi tap thoi quen xau cung ban
Thuốc lá điện tử có chứa nhiều loại hương liệu độc. Ảnh: Thetimes. 
Ngày 20/1, bác sĩ khoa Nội tổng hợp, Bệnh viện đa khoa khu vực Thủ Đức (TP.HCM), cho biết vừa tiếp nhận một nữ bệnh nhân 22 tuổi, nhập viện trong tình trạng ho có đàm kèm máu tươi, khó thở.
Qua khai thác bệnh sử, cô gái cho hay mình được bạn bè rủ sử dụng thuốc lá điện tử trong nhiều lần đi chơi. Nghĩ rằng thuốc lá điện tử không nguy hiểm, gây hại như thuốc lá truyền thống, cô gái hút liên tục trong vài tuần. Thời gian gần đây, nữ bệnh nhân thường bị sốt về chiều, sụt cân và ho nhiều.
Các bác sĩ chỉ định làm xét nghiệm, người bệnh được chẩn đoán viêm phổi nặng, phổi trái xẹp, nguyên nhân là hút thuốc lá điện tử.
"Cô gái còn trẻ nhưng tổn thương ở phổi lại rất nặng nề, không khác gì ở người cao tuổi. Tình trạng bệnh diễn biến phức tạp, chúng tôi phải điều trị bảo tồn tối đa chức năng phổi của người bệnh”, bác sĩ điều trị cho bệnh nhân thông tin.
Co gai ho ra mau, xep phoi vi tap thoi quen xau cung ban-Hinh-2
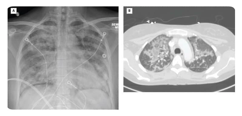
Hình ảnh chụp X-quang phổi của nữ bệnh nhân cho thấy bên phổi trái bị xẹp. Ảnh: BVCC. 
 
Sau thời gian điều trị tích cực, các triệu chứng và tổn thương phổi của cô gái được cải thiện. Bệnh nhân được xuất viện, tiếp tục theo dõi sức khỏe tại nhà.
Bác sĩ khoa Nội tổng hợp cho hay thời gian gần đây, bệnh viện tiếp nhận, điều trị nhiều trường hợp người trẻ tuổi vào viện vì tình trạng viêm phổi. Trong đó, có nhiều người liên quan đến sử dụng thuốc lá điện tử.
Thuốc lá điện tử là sản phẩm mô phỏng hình dáng và chức năng của thuốc lá truyền thống nhưng có hình dáng bắt mắt, dễ sử dụng. Trong khói thuốc lá điện tử cũng chứa nicotin, các chất gây nghiện, chất tạo mùi và hàng trăm các hóa chất độc hại.
Nguy hiểm hơn, thuốc lá điện tử có thể được lợi dụng để hút cần sa và các chất gây nghiện khác. Trong khói thuốc lá điện tử có rất nhiều chất độc, tác động lâu dài và ảnh hưởng trực tiếp đến sức khỏe của người sử dụng.
Các bác sĩ khoa Nội tổng hợp, Bệnh viện đa khoa khu vực Thủ Đức, khuyến cáo mọi người, đặc biệt là những người trẻ, vị thành niên, học sinh, sinh viên nên tránh xa các loại thuốc lá. Người hít phải khói thuốc thụ động hay chủ động, sức khỏe đều bị ảnh hưởng nặng nề.

Cuộc sống đảo lộn khi vợ bỗng trở thành... hot girl

Mạng xã hội nhiều khi làm thay đổi vận mệnh con người ta nhanh hơn cả số phận. Vợ tôi từ một y tá bỗng trở thành “Hot girl” và cuộc sống gia đình cũng bị đảo lộn từ đó.

Vợ tôi làm y tá cho bệnh viện tuyến huyện. Trong một lần ở trên về tập huấn, ai đó đã chụp ảnh vợ tôi lúc cô ấy đang chăm sóc bệnh nhân và tung lên mạng với chú thích: “Y tá xinh đẹp đốn tim bệnh nhân”. Khi thấy hình ảnh của mình lan truyền, vợ tôi như sống trên mây suốt cả tháng trời. Cô ấy quên cả việc chăm sóc gia đình, chồng con, chỉ lăm lăm cái điện thoại để trả lời tin nhắn của người hâm mộ. Mà người hâm mộ cô ấy đa số là những gã đàn ông không có vẻ gì là đứng đắn lắm, và một lũ choai choai sống ảo.

Loại thực phẩm quen thuộc là “khắc tinh” ung thư dạ dày

Một số loại thực phẩm dưới đây được xem là "khắc tinh" của ung thư dạ dày, giúp giảm nguy cơ mắc căn bệnh này.

Theo Hisdustan Times, những người có chế độ ăn nhiều muối, chất béo bão hòa và ít trái cây, rau củ có nguy cơ cao mắc ung thư dạ dày
"Ung thư dạ dày là loại ung thư phổ biến trên thế giới. Là một phần của chiến lược giảm thiểu rủi ro, nhóm nghiên cứu cố gắng tìm hiểu những yếu tố có thể làm giảm nguy cơ mắc căn bệnh này. Đáng chú ý, các chất chống oxy hóa được xem xét, chúng là những chất giúp làm giảm hoặc ngăn chặn tác động của các gốc tự do. Một trong những lĩnh vực nghiên cứu tập trung vào vitamin C và carotenoids", Tiến sĩ Pritam Kataria đến từ Bệnh viện Sir HN Reliance Foundation (Ấn Độ) cho biết. 

Đọc nhiều nhất

Tin mới