Điểm mặt những ca mọc răng "quái đản" nhất thế giới

Điểm mặt những ca mọc răng "quái đản" nhất thế giới

(Kiến Thức) - Mọc răng vốn là việc rất bình thường, nhưng đôi khi có những chiếc răng oái oăm không chịu mọc đúng chỗ khiến nhiều người dở khóc dở cười.

Bé gái 4 tuổi mọc răng trong mũi: Ca mọc răng kỳ lạ và hy hữu này xảy ra ở Hà Đông, Hà Nội. Nạn nhân của chiếc răng kỳ quặc là một bé gái 4 tuổi.
Bé gái 4 tuổi mọc răng trong mũi: Ca mọc răng kỳ lạ và hy hữu này xảy ra ở Hà Đông, Hà Nội. Nạn nhân của chiếc răng kỳ quặc là một bé gái 4 tuổi.
Trước khi phát hiện ra chiếc răng mọc trong mũi thì bệnh nhi này thường xuyên có biểu hiện hay khịt mũi. Gia đình đã đưa đến bệnh nhi đi khám thì phát hiện một khối bất thường nghi là răng trong vùng mũi.
Trước khi phát hiện ra chiếc răng mọc trong mũi thì bệnh nhi này thường xuyên có biểu hiện hay khịt mũi. Gia đình đã đưa đến bệnh nhi đi khám thì phát hiện một khối bất thường nghi là răng trong vùng mũi.
Tiếp đó bé gái trên được đưa đi hành chụp X-quang, kết quả chẩn đoán chính xác là có một chiếc răng mọc lạc lên vùng mũi bệnh nhân. Hiện tại, các bác sĩ đã nhổ được một chiếc răng trong mũi của trẻ. Ảnh: Vietnamnet.
Tiếp đó bé gái trên được đưa đi hành chụp X-quang, kết quả chẩn đoán chính xác là có một chiếc răng mọc lạc lên vùng mũi bệnh nhân. Hiện tại, các bác sĩ đã nhổ được một chiếc răng trong mũi của trẻ. Ảnh: Vietnamnet.
Cô bé có răng mọc chờm ra ngoài như răng sói: Thông tin về bệnh nhi này được một số tạp chí y khoa nước ngoài đăng tải. Cô bé người châu Phi này bị biến dạng vùng miệng khiến răng mọc chờm ra ngoài như người sói là nạn nhân của bị viêm miệng hoại tử do vi khuẩn ăn thịt người gặm nhấm. Ảnh: Noma.
Cô bé có răng mọc chờm ra ngoài như răng sói: Thông tin về bệnh nhi này được một số tạp chí y khoa nước ngoài đăng tải. Cô bé người châu Phi này bị biến dạng vùng miệng khiến răng mọc chờm ra ngoài như người sói là nạn nhân của bị viêm miệng hoại tử do vi khuẩn ăn thịt người gặm nhấm. Ảnh: Noma.
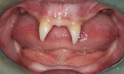
Một cậu bé người Trung Quốc mọc duy nhất 2 chiếc răng năng nhọn hoắt giống hệt ma cà rồng. Ảnh; Sina.
Một cậu bé người Trung Quốc mọc duy nhất 2 chiếc răng năng nhọn hoắt giống hệt ma cà rồng. Ảnh; Sina.
Nguyên nhân chiếc răng ma cà rồng mọc trong miệng cậu bé này chính là do mắc phải một căn bệnh lạ hiếm gặp.
Nguyên nhân chiếc răng ma cà rồng mọc trong miệng cậu bé này chính là do mắc phải một căn bệnh lạ hiếm gặp.
Cậu bé 8 tuổi người Anh mọc 2 hàm răng dị thường như răng cá mập vì những chiếc răng sữa mọc lên không hề rụng đi mà tồn tại song song với những chiếc răng vĩnh viễn mới mọc lên. Ảnh: Dailymail.
Cậu bé 8 tuổi người Anh mọc 2 hàm răng dị thường như răng cá mập vì những chiếc răng sữa mọc lên không hề rụng đi mà tồn tại song song với những chiếc răng vĩnh viễn mới mọc lên. Ảnh: Dailymail.
Ca mọc răng kỳ lạ có 1-0-2 này là trường hợp cậu bé Johncris Carl Quirante sống tại Cebu, Philippines. Ảnh: Borepanda.
Ca mọc răng kỳ lạ có 1-0-2 này là trường hợp cậu bé Johncris Carl Quirante sống tại Cebu, Philippines. Ảnh: Borepanda.
Bé trai này mọc tớ 300 cái răng chi chít trong miệng và vòm miệng. Ảnh: Borepanda.
Bé trai này mọc tớ 300 cái răng chi chít trong miệng và vòm miệng. Ảnh: Borepanda.
Các bác sĩ đã phải tiến hành rất nhiều cuộc phẫu thuật để nhổ hàng trăm chiếc răng trong miệng cho cậu bé. Ảnh: Borepanda.
Các bác sĩ đã phải tiến hành rất nhiều cuộc phẫu thuật để nhổ hàng trăm chiếc răng trong miệng cho cậu bé. Ảnh: Borepanda.

GALLERY MỚI NHẤT