Chàng trai 20 năm không đánh răng và cái kết
(Kiến Thức) - Việc không đánh răng và tiêu thụ thực phẩm không tốt cho răng miệng suốt 2 thập kỷ, chàng trai người Anh đã phải nhận hậu quả cay đắng.
Xuất hiện trên chương trình Embarrassing Bodies của Channel 4, Jay thừa nhận: “Suốt những năm qua, tôi đã ăn uống sai lầm, tiêu thụ rất nhiều đồ uống có ga mà không chăm sóc răng miệng. Tôi còn không đánh răng, không loại bỏ thức ăn thừa ở răng, cũng như những việc tương tự như thế.”
 |
| Trông dáng vẻ bề ngoài, mọi người sẽ chỉ nghĩ đây là một chàng trai 21 tuổi bình thường như bao thanh niên khác cho đến khi cậu ấy mở miệng. (Ảnh: Channel 4) |
Lý giải cho chuyện này, Jay cho biết bản thân đã không được khuyến khích chăm sóc răng miệng kể từ khi còn nhỏ. Đến lúc sâu răng xuất hiện, chàng trai trở nên sợ hãi và không đến gặp nha sĩ, khiến tình hình trở nên tồi tệ hơn.
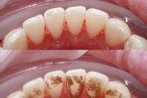
Bác sĩ James Russel cho biết cả hàm răng của Jay đã bị bao phủ trong lớp cao răng dày đặc. Sau khi chụp CT, Jay nhận ra mình phải nhổ 11 chiếc răng vì chúng đã bị hỏng hoàn toàn.  |
| Hàm răng sau hai thập kỷ không được chăm sóc của Jay. (Ảnh: Channel 4) |
May mắn thay, xương hàm của anh chàng vẫn đủ khoẻ để bác sĩ có thể tiến hành trồng răng giả. Quá trình này đã được thực hiện trong suốt 5 tháng ròng rã.
 |
| “Tôi sẵn sàng từ bỏ đồ uống có ga và bắt đầu tập thói quen đánh răng mỗi khi thức dậy.” - Jay chia sẻ. (Ảnh: Channel 4) |
 |
| Hàm răng trước và sau của Jay, một sự thay đổi kinh ngạc. (Ảnh: Channel 4) |
Jay giờ đây đã có thể nở nụ cười với một hàm răng hoàn toàn mới, thừa nhận bản thân cảm thấy tự tin hơn rất nhiều.