![]() |
| Phim chụp X-quang chân Thiện bị gãy. Ảnh: Khánh Trung. |
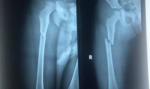
![]() |
| Phim chụp X-quang chân Thiện bị gãy. Ảnh: Khánh Trung. |
Công an huyện Yên Lập, tỉnh Phú Thọ đã khởi tố vụ án, khởi tố bị can và bắt tạm giam hai tháng đối với Lương Tiến Dũng (SN 1981, trú tại xã Hương Nha, huyện Tam Nông) sau khi Dũng hành hung tàn bạo với vợ cũ của mình.
Hà Nội vừa công khai đồ án Quy hoạch tổng thể Thủ đô Hà Nội tầm nhìn 100 năm để lấy ý kiến, đóng góp của nhân dân từ nay tới 12/4/2026.
Chiều 12/3, lãnh đạo Bệnh viện Đa khoa Gia Lai (P. Pleiku, tỉnh Gia Lai) xác nhận vừa xảy ra vụ một người đàn ông tử vong sau khi bị rơi từ trên cao xuống đất.
"Lương y" tự phong Hoàng Văn Toàn bị cáo buộc lập công ty, phòng chẩn trị Hoàng Minh Đường, bán thuốc “gia truyền 3 đời” giả, thu lợi bất chính 227 tỷ đồng.
Công an Nghệ An vừa bắt giữ Trần Hữu Giáp để điều tra hành vi dùng dao chém một người đàn ông bị thương tại quán cà phê do mâu thuẫn cá nhân.
Hơn 63 người bị ngộ độc sau khi ăn bánh kem, hiện còn 5 người chưa xuất viện, cơ quan chức năng đang điều tra nguyên nhân.
Công an Thanh Hóa thu giữ gần 2 tấn thực phẩm ruốc, đồ ăn vặt không rõ nguồn gốc, không nhãn mác, đe dọa sức khỏe cộng đồng, đặc biệt trẻ em và học sinh.
Ngọn lửa bùng phát tại khu vực tập kết phế liệu ở xã Bắc Bình, tỉnh Lâm Đồng. Hàng chục cán bộ, chiến sĩ PCCC được điều động đến hiện trường dập lửa.
Lịch thi vào lớp 10 THPT công lập năm học 2026-2027 tại Hà Nội được đẩy sớm lên 2 tuần so với các năm trước, kỳ thi sẽ diễn ra trong hai ngày 30 và 31/5/2026.
Nhiều tuyến đường tại TP.HCM được trang trí rực rỡ với cờ Tổ quốc, băng rôn, pano tạo nên không khí phấn khởi trước ngày bầu cử 15/3 sắp tới.
Tiếng máy đào, xe ủi vang dội trên công trường cao tốc Quy Nhơn - Pleiku khi hàng trăm công nhân cùng máy móc đang tất bật, hối hả thi công.
Từ giữa tháng 12/2025 đến nay, Đội CSGT số 3 Công an tỉnh Phú Thọ phát hiện 453 trường hợp xe vận tải hàng hóa vi phạm chở quá tải, cơi nới thành thùng.
Hà Nội vừa công khai đồ án Quy hoạch tổng thể Thủ đô Hà Nội tầm nhìn 100 năm để lấy ý kiến, đóng góp của nhân dân từ nay tới 12/4/2026.
Nhiều tuyến đường tại TP.HCM được trang trí rực rỡ với cờ Tổ quốc, băng rôn, pano tạo nên không khí phấn khởi trước ngày bầu cử 15/3 sắp tới.
Tiếng máy đào, xe ủi vang dội trên công trường cao tốc Quy Nhơn - Pleiku khi hàng trăm công nhân cùng máy móc đang tất bật, hối hả thi công.
Thí sinh nên lựa chọn môn thi tự chọn vừa phù hợp với năng lực vừa gắn với tổ hợp xét tuyển của ngành, trường đại học mà mình mong muốn
Danh sách sản phẩm cần thu hồi gồm 67 loại thực phẩm bảo vệ sức khỏe là hàng giả, 675 sản phẩm không đảm bảo tiêu chuẩn công bố.
Theo Trung tâm Dự báo Khí tượng Thủy văn Quốc gia, ngày 13/3, thời tiết nhiều khu vực trên cả nước có sự phân hóa rõ rệt.
Lịch thi vào lớp 10 THPT công lập năm học 2026-2027 tại Hà Nội được đẩy sớm lên 2 tuần so với các năm trước, kỳ thi sẽ diễn ra trong hai ngày 30 và 31/5/2026.
"Lương y" tự phong Hoàng Văn Toàn bị cáo buộc lập công ty, phòng chẩn trị Hoàng Minh Đường, bán thuốc “gia truyền 3 đời” giả, thu lợi bất chính 227 tỷ đồng.
Ngọn lửa bùng phát tại khu vực tập kết phế liệu ở xã Bắc Bình, tỉnh Lâm Đồng. Hàng chục cán bộ, chiến sĩ PCCC được điều động đến hiện trường dập lửa.
Hơn 63 người bị ngộ độc sau khi ăn bánh kem, hiện còn 5 người chưa xuất viện, cơ quan chức năng đang điều tra nguyên nhân.
Chiều 12/3, lãnh đạo Bệnh viện Đa khoa Gia Lai (P. Pleiku, tỉnh Gia Lai) xác nhận vừa xảy ra vụ một người đàn ông tử vong sau khi bị rơi từ trên cao xuống đất.
Công an Thanh Hóa thu giữ gần 2 tấn thực phẩm ruốc, đồ ăn vặt không rõ nguồn gốc, không nhãn mác, đe dọa sức khỏe cộng đồng, đặc biệt trẻ em và học sinh.
Công an Nghệ An vừa bắt giữ Trần Hữu Giáp để điều tra hành vi dùng dao chém một người đàn ông bị thương tại quán cà phê do mâu thuẫn cá nhân.
Xe tải chở tre tông vào đuôi xe đầu kéo đang dừng ở lề đường trên QL1, đoạn qua địa bàn phường Đức Phổ (tỉnh Quảng Ngãi) khiến một người tử vong.
Kiểm tra bãi giữ xe học sinh tại một trường ở Phú Thọ, lực lượng chức năng phát hiện xe đạp điện độ pin và nhiều phương tiện thiếu gương chiếu hậu.
Phạm Hồng Thắng cùng 2 thuộc cấp lập khống hồ sơ, chứng từ để thanh quyết toán khống nguồn kinh phí Nhà nước cấp, gây thiệt hại gần 490 triệu đồng.
Phát hiện con gái nhận tiền từ tài khoản lạ với số tiền 15 triệu đồng, một người mẹ ở Phú Thọ đã đến công an trình báo, nhờ xác minh.
Sau khi Công an Thanh Hóa khởi tố đường dây “thần y” dỏm lừa đảo hơn 227 tỷ đồng, phòng khám Hoàng Minh Đường tại Hà Nội hiện đóng cửa, không còn hoạt động.
Công an tỉnh Thanh Hóa triệt phá đường dây "Thảo dược đắp xương khớp Hoàng Minh Đường" dỏm, lừa đảo 87.000 người với số tiền hơn 227 tỷ đồng.