![]() |
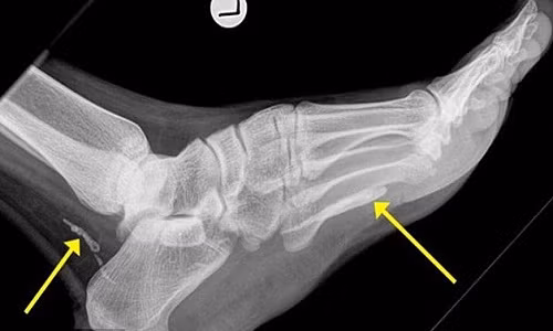
| Ảnh chụp X-quang cho thấy các mảnh giun phân hủy trong bàn chân bệnh nhân. |
![]() |
| Ảnh chụp X-quang cho thấy các mảnh giun phân hủy trong bàn chân bệnh nhân. |
![]() |
| Mẹ trang điểm. Nghiên cứu mới đây của các nhà khoa học Mỹ cho thấy mẹ trang điểm trong thời kỳ mang thai sẽ sinh ra trẻ có chỉ số IQ thấp hơn bình thường. Phthalate được tìm thấy trong rất nhiều thứ xung quanh chúng ta như thảm, son môi, gel xịt tóc, sơn móng tay...là một chất hóa học nhân tạo có thể gây ảnh hưởng nguy hiểm tới sức khỏe tổng thể. |
![]() |
| Gần đây, các loại tinh dầu công nghiệp đang bùng nổ. Hầu hết mọi người tin nó có những tác dụng chữa đau nửa đầu hay viêm dị ứng eczema... Tuy nhiên, không phải nó có nguồn gốc từ thực vật thì an toàn tuyệt đối. Nếu bạn dùng không đúng cách sẽ gây tác hại bất ngờ. |
![]() |
| 1. Đổi màu da. Một số loại tinh dầu có thể làm đen da dưới ánh nắng mặt trời. Vì vậy, trước khi đi ra ngoài, đừng nên dùng loại tinh dầu photosensitizing. Chờ tối thiểu là sáu giờ đồng hồ trước khi phơi bày da dưới tia UV. |
| Rau chùm ngây nấu thịt nạc. |
Cục Quản lý Dược đình chỉ lưu hành, thu hồi và tiêu hủy kem dưỡng Nivea Extra Bright Night Nourish do vi phạm thành phần và hồ sơ công bố.
Liên tục trúng thầu với tỷ lệ tiết kiệm thấp, đặc biệt qua hình thức chỉ định thầu tại Lâm Đồng, Công ty Xây lắp Nam Thịnh có năng lực ra sao.
Dù mới tham gia mạng đấu thầu quốc gia được hơn một tháng, Công ty TNHH XD GT DV Hà An đã được chỉ định trúng gói thầu xây lắp tiền tỷ tại xã Phú Sơn Lâm Hà.
Với tỉ lệ trúng thầu tuyệt đối 100%, Công ty TNHH XD Minh Đạt NH đang cho thấy vị thế "độc tôn" tại một số dự án do Phòng Kinh tế, Hạ tầng và Đô thị phường Ninh Hòa làm chủ đầu tư.
Tại gói thầu số 28 thuộc dự án đầu tư thiết bị dạy học huyện An Phú, Công ty Xây dựng Phương Quyên đã khẳng định năng lực khi trúng thầu sát nút, loại bỏ đối thủ nhờ hồ sơ kỹ thuật vượt trội.
Ba nhà thầu cùng tranh suất tại gói thầu xây lắp trụ sở phường Tam Bình với những con số dự thầu đầy kịch tính, mở ra nhiều dấu hỏi về tính cạnh tranh và hiệu quả kinh tế.
Dù đấu thầu rộng rãi qua mạng, gói thầu xây dựng đường cặp kênh 30/4 trị giá 16,5 tỷ đồng tại xã Đại Hải chỉ thu hút duy nhất một nhà thầu tham dự
Với việc cùng lúc thực hiện 3 dự án hạ tầng lớn tại phường Ninh Hòa, năng lực thực thi và máy móc nhân sự của Công ty TNHH Xây dựng Thương mại Nguyễn Lê Gia đang là tâm điểm chú ý.
Dù đấu thầu rộng rãi qua mạng, gói thầu xây dựng điểm trường ấp 6 Trường tiểu học Đồng Tiến chỉ ghi nhận một liên danh tham dự và trúng thầu, tiết kiệm cho ngân sách khoảng 35 triệu đồng.
Công ty TNHH Xây dựng Huy Thước là nhà thầu duy nhất nộp hồ sơ dự thầu gói xây lắp 29,5 tỷ đồng tại Trường Đại học Sài Gòn, ghi nhận mức giá dự thầu bằng đúng giá trị gói thầu
Hồ sơ trúng thầu sát giá của Liên danh Tiến Đạt - Long Hưng TV tại xã An Phú Tân gây chú ý khi hai "mã" còn lại trong cuộc đua bị loại sớm vì những thiếu sót về năng lực và pháp lý.
Tình trạng trúng thầu sát giá dự toán diễn ra thường xuyên tại các xã thuộc tỉnh Quảng Ngãi đòi hỏi sự vào cuộc quyết liệt hơn từ các cơ quan chức năng, giám sát đầu tư.
Dù chỉ có quy mô 9 nhân viên, Công ty TNHH SX-TM Tư vấn Xây dựng - Điện Hoàng Quân liên tục được chỉ định thầu thực hiện các dự án hạ tầng giao thông trọng điểm tại phường Ninh Hòa, tỉnh Khánh Hòa.
Cục Quản lý Dược đình chỉ lưu hành, thu hồi và tiêu hủy kem dưỡng Nivea Extra Bright Night Nourish do vi phạm thành phần và hồ sơ công bố.
Dù đấu thầu rộng rãi qua mạng, gói thầu xây dựng điểm trường ấp 6 Trường tiểu học Đồng Tiến chỉ ghi nhận một liên danh tham dự và trúng thầu, tiết kiệm cho ngân sách khoảng 35 triệu đồng.
Ba nhà thầu cùng tranh suất tại gói thầu xây lắp trụ sở phường Tam Bình với những con số dự thầu đầy kịch tính, mở ra nhiều dấu hỏi về tính cạnh tranh và hiệu quả kinh tế.
Dù mới tham gia mạng đấu thầu quốc gia được hơn một tháng, Công ty TNHH XD GT DV Hà An đã được chỉ định trúng gói thầu xây lắp tiền tỷ tại xã Phú Sơn Lâm Hà.
Dù đấu thầu rộng rãi qua mạng, gói thầu xây dựng đường cặp kênh 30/4 trị giá 16,5 tỷ đồng tại xã Đại Hải chỉ thu hút duy nhất một nhà thầu tham dự
Liên tục trúng thầu với tỷ lệ tiết kiệm thấp, đặc biệt qua hình thức chỉ định thầu tại Lâm Đồng, Công ty Xây lắp Nam Thịnh có năng lực ra sao.
Công ty TNHH Xây dựng Huy Thước là nhà thầu duy nhất nộp hồ sơ dự thầu gói xây lắp 29,5 tỷ đồng tại Trường Đại học Sài Gòn, ghi nhận mức giá dự thầu bằng đúng giá trị gói thầu
Với tỉ lệ trúng thầu tuyệt đối 100%, Công ty TNHH XD Minh Đạt NH đang cho thấy vị thế "độc tôn" tại một số dự án do Phòng Kinh tế, Hạ tầng và Đô thị phường Ninh Hòa làm chủ đầu tư.
Với việc cùng lúc thực hiện 3 dự án hạ tầng lớn tại phường Ninh Hòa, năng lực thực thi và máy móc nhân sự của Công ty TNHH Xây dựng Thương mại Nguyễn Lê Gia đang là tâm điểm chú ý.
Tại gói thầu số 28 thuộc dự án đầu tư thiết bị dạy học huyện An Phú, Công ty Xây dựng Phương Quyên đã khẳng định năng lực khi trúng thầu sát nút, loại bỏ đối thủ nhờ hồ sơ kỹ thuật vượt trội.
Xã Hàm Thuận Bắc vừa phê duyệt chỉ định thầu cho Công ty Nguyên Luân thực hiện gói thầu xây lắp hệ thống chiếu sáng với giá trị hơn 1,3 tỷ đồng.
Vượt qua giá dự toán của Ban Quản lý dự án đầu tư xây dựng khu vực Cần Giuộc, một liên danh "quen mặt" tại địa phương đã trúng thầu sát nút, giúp ngân sách tiết kiệm hơn 1,6 tỷ đồng.
Ban Quản lý dự án xã Trí Phải vừa chỉ định Công ty TNHH Xây dựng Gia Thịnh Phát thực hiện gói thầu hơn 1,8 tỷ đồng với tỷ lệ tiết kiệm 5,07%.
Thông qua hình thức chỉ định thầu, Công ty TNHH Khâm Đức vừa được giao thi công gói thầu hơn 1,73 tỷ đồng tại xã Đạ Tẻh 2 với tỷ lệ tiết kiệm ngân sách thấp.
Cục Đăng kiểm VN cho biết không có cơ sở kỹ thuật để chấp thuận kiến nghị chỉ đạp ga khoảng 1/2 hành trình khi kiểm định khí thải đối với ô tô diesl thế hệ cũ.
Gói thầu xây dựng trạm quan trắc tại KCN Giao Long vừa ghi nhận kết quả trúng thầu của Liên danh Thành Thiên – Tùng Phát với tỷ lệ tiết kiệm 1,6%
Với mức giảm giá sâu hơn 22%, nhà thầu đến từ Cần Thơ đã vượt qua hàng loạt doanh nghiệp "tên tuổi" để đảm nhận gói thầu xây dựng quan trọng thuộc dự án Trung tâm y tế huyện Châu Thành