Bụng phình to, mổ cấp cứu trong đêm cắt hơn 0,5 m ruột do xoắn

Xoắn đại tràng sigma là tình trạng một quai của đại tràng sigma bị xoắn quanh trục mạc treo, gây tắc ruột, hoại tử và thủng ruột.

Minh, 18 tuổi, đau bụng, bí trung đại tiện, bụng phình to, phát hiện xoắn đại tràng sigma gây tắc ruột hoàn toàn, phải mổ cấp cứu trong đêm, cắt hơn nửa mét ruột.

Cắt ruột do xoắn đại tràng sigma

Minh bị táo bón từ nhỏ, tình trạng nặng lên khoảng 3 tháng nay. Người bệnh nhiều lần nhập viện điều trị bằng thuốc và đặt ống thông hơi. Tuy nhiên, lần điều trị mới đây vô hiệu, bụng ngày càng phình to, gây khó thở, đau bụng dữ dội, không ăn uống được, phải truyền dinh dưỡng.

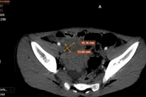
xoan-dai-trang.png
Hình chụp cắt lớp vi tính cho thấy đoạn đại tràng căng to (mũi tên vàng) - Ảnh: Bệnh viện Đa khoa Tâm Anh

Thạc sĩ bác sĩ Nguyễn Thanh Biên, Trung tâm Nội soi và Phẫu thuật Nội soi Tiêu hóa, Bệnh viện Đa khoa Tâm Anh cho biết, kết quả chụp CT 1975 lát cắt ghi nhận đại tràng sigma (đoạn cuối của đại tràng) bị xoắn, cuộn tròn mạch máu mạc treo và quai ruột đại tràng sigma, đường kính 20 cm, to hơn gần 7 lần bình thường, lòng ruột chứa đầy khí và cặn bã, thành ruột mỏng.

Xoắn đại tràng sigma là tình trạng một quai của đại tràng sigma (phần cuối của đại tràng, trước trực tràng) bị xoắn quanh trục mạc treo, làm tắc nghẽn lưu thông ruột và nguồn cung cấp máu, gây ra các triệu chứng tắc ruột.

“Nếu không điều trị kịp thời sẽ dẫn đến thiếu máu cục bộ, hoại tử và thủng ruột”, bác sĩ Biên nói, thêm rằng khi phân và dịch từ ruột rò rỉ vào khoang bụng sẽ gây biến chứng nhiễm trùng khoang bụng, sốc nhiễm trùng, suy đa cơ quan. Người bệnh buộc phải lọc máu, nguy cơ tử vong cao.

xoan-dai-trang-1.png
Đoạn đại tràng căng phình được đưa ra ngoài. Ảnh: Bệnh viện Đa khoa Tâm Anh

Minh được các bác sĩ chỉ định mổ khẩn cấp ngay trong đêm. Ca phẫu thuật khó khăn, ổ bụng người bệnh chướng căng, đại tràng sigma giãn khổng lồ, các quai đại tràng phía trên giãn liên tục đến tận manh tràng – dấu hiệu điển hình của tắc ruột hoàn toàn kéo dài.

Thành ruột phù nề, xung huyết, gần như mất hoàn toàn nhu động, không thể phẫu thuật nội soi do không bơm được CO2 vào khoang bụng để tạo phẫu trường, ê-kíp phải chuyển sang mổ mở.

Bác sĩ cắt bỏ đoạn đại tràng sigma bị xoắn giãn to, thiếu máu, hoại tử, dài hơn 60 cm. Tiếp đến, bác sĩ đưa đầu trên đại tràng ra da làm hậu môn nhân tạo ở vùng hông trái và đóng đầu dưới. Do ruột giãn lớn, phù nề, nguy cơ rò xì rất cao, không thích hợp thực hiện nối lại ngay.

Sau phẫu thuật, Minh được sử dụng thuốc giảm đau và kháng sinh phổ rộng nhằm giảm nguy cơ nhiễm trùng sau mổ. Tình trạng hồi phục tiến triển tốt, sau khoảng 48 giờ, người bệnh đã có thể vận động, đi lại và ăn uống nhẹ nhàng. Vết mổ khô, không ghi nhận dấu hiệu nhiễm trùng, người bệnh được xuất viện sau 5 ngày.

Người bệnh được hẹn tái khám định kỳ hàng tháng để theo dõi tiến trình hồi phục, đánh giá chức năng tiêu hóa và tình trạng miệng nối. Sau khoảng 3 tháng, khi tổng trạng ổn định, bệnh nhân sẽ được lên kế hoạch phẫu thuật đóng hậu môn nhân tạo.

Bác sĩ Biên cho biết, ca phẫu thuật cấp cứu thành công, giúp ngăn ngừa các biến chứng nguy hiểm. Nếu được can thiệp sớm hơn, người bệnh có thể thực hiện phẫu thuật nội soi, sẽ ít đau, phục hồi nhanh và đặc biệt không phải mở hậu môn nhân tạo.

xoan-dai-trang2.png
Các bác sĩ đang cắt đoạn đại tràng cho Minh. Ảnh: Bệnh viện Đa khoa Tâm Anh

Đau bụng, chướng bụng cần đến viện ngay

Xoắn đại tràng sigma là một tình trạng y tế cấp cứu ngoại khoa cần điều trị kịp thời để tránh gây nguy hiểm đến tính mạng. Bệnh xảy ra ở mọi lứa tuổi, nguyên nhân chính là do đại tràng sigma có mạc treo dài và lỏng lẻo (đại tràng dài), cho phép quai ruột di động quá mức và dễ bị xoắn.

Các yếu tố nguy cơ bao gồm: người cao tuổi (trên 50 tuổi), đặc biệt là người nằm liệt giường giảm nhu động ruột, hoặc có tiền sử táo bón mãn tính (phân ứ đọng làm đại tràng sigma giãn to, tăng nguy cơ xoắn), người mắc bệnh tâm thần; người có tiền sử phẫu thuật bụng, có thể tạo dải dính gây chèn ép, tạo điều kiện cho xoắn.

Trường hợp phát hiện sớm, ruột ít phù nề, chướng và xoắn ít, bác sĩ có thể tiến hành nội soi ống mềm để tháo xoắn bằng thủ thuật nhẹ nhàng, ít nguy cơ rủi ro cho người bệnh. Tuy nhiên, đây cũng chỉ là biện pháp tạm thời vì nguy cơ tái phát. Cần thực hiện phẫu thuật cấp cứu ngay nếu tình trạng thiếu máu hoặc hoại tử, thủng ruột, viêm phúc mạc đã xảy ra.

“Người dân khi có các dấu hiệu đau bụng, chướng bụng, buồn nôn và nôn, bí trung và đại tiện… cần đến bệnh viện ngay để được thăm khám và điều trị kịp thời.

Chế độ ăn uống cần bổ sung nhiều chất xơ, uống đủ nước để ngăn ngừa táo bón, từ đó giảm nguy cơ xoắn đại tràng sigma”, bác sĩ Biên khuyến nghị.

Trẻ 7 tháng tuổi quấy khóc, nôn trớ không ngờ nguy kịch vì lồng ruột

Việc phát hiện sớm, xử trí kịp thời lồng ruột ở trẻ nhỏ giúp tránh những biến chứng nguy hiểm, mang lại cơ hội hồi phục tốt nhất cho bệnh nhi.

Bệnh viện Hữu nghị Lạc Việt (Vĩnh Phúc) vừa kịp thời phẫu thuật cấp cứu giành lại sự sống cho bệnh nhi 7 tháng tuổi bị lồng ruột.

Con quấy khóc, nôn trớ không ngờ lồng ruột đe dọa tính mạng

Nang ruột đôi cần phát hiện sớm tránh biến chứng cho trẻ

Nang ruột đôi là một dị tật bẩm sinh hiếm gặp (1/4500), túi hình ống hoặc hình cầu phát triển thừa ra và dính vào đường tiêu hóa.

nang-ruot.jpg
Siêu âm phát hiện chính xác trẻ bị vỡ nang ruột đôi - Ảnh BVCC

Bệnh viện Nhi Thanh Hóa vừa thực hiện phẫu thuật thành công ca bệnh viêm phúc mạc ruột thừa do nang ruột đôi vỡ. Thành công của ca bệnh là nhờ sự phối hợp nhịp nhàng, thuần thục của các bác sĩ chẩn đoán, điều trị và ê- kíp phẫu thuật.

Đau bụng, nôn về đêm, cụ bà 95 tuổi bị tắc ruột do ăn cơm với trám

Tắc ruột do bã thức ăn hình thành trong dạ dày không tiêu hóa hết và tích tụ tại ruột non, là nguyên nhân hiếm gặp, chỉ chiếm 0,4-4% tổng số ca tắc ruột.

Bệnh viện Đa khoa Tâm Anh cho biết, đơn vị vừa phẫu thuật nội soi lấy u bã thức ăn thành công cho cụ bà 95 tuổi ở Thái Nguyên bị tắc ruột non do ăn cơm với trám.

Điều trị viêm ruột không khỏi phải phẫu thuật lấy u bã thức ăn

Đọc nhiều nhất

Tin mới