Bốn bệnh ung thư thường gặp ở tuổi 20

Bốn bệnh ung thư thường gặp ở tuổi 20

(Kiến Thức) - Bệnh ung thư máu, ung thư vú và ung thư đại trực tràng là 3 bệnh ung thư thường gặp nhất ở độ tuổi 20.

 Bệnh ung thư máu là một trong những bệnh ung thư thường gặp ở độ tuổi 20.
Bệnh ung thư máu là một trong những bệnh ung thư thường gặp ở độ tuổi 20.
Đây là một căn bệnh được xảy ra do sự tăng đột biến của các tế bào bạch cầu mà cơ thể không kiểm soát được.
Đây là một căn bệnh được xảy ra do sự tăng đột biến của các tế bào bạch cầu mà cơ thể không kiểm soát được.
Bệnh có tính chất cấp tính, mức độ diễn biến rất nhanh kèm theo các dấu hiệu như: mệt mỏi, da nhợt nhạt, dễ bị bầm tím, khó cầm máu khi bị thương, xuất hiện các hạch bất thường ở cổ, dưới cánh tay , dễ bị sốt, viêm nhiễn do các vi khuẩn…
Bệnh có tính chất cấp tính, mức độ diễn biến rất nhanh kèm theo các dấu hiệu như: mệt mỏi, da nhợt nhạt, dễ bị bầm tím, khó cầm máu khi bị thương, xuất hiện các hạch bất thường ở cổ, dưới cánh tay , dễ bị sốt, viêm nhiễn do các vi khuẩn…
Nguyên nhân phát sinh bệnh ung thư máu có thể là do các yếu tố như: ô nhiễm hóa học, chất phóng xạ hay là do các yếu tố di truyền.
Nguyên nhân phát sinh bệnh ung thư máu có thể là do các yếu tố như: ô nhiễm hóa học, chất phóng xạ hay là do các yếu tố di truyền.
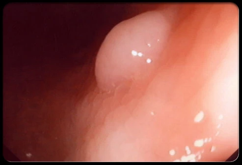
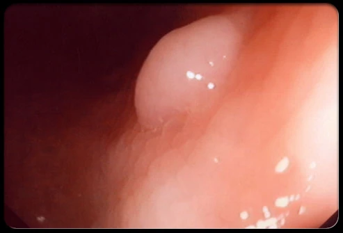
Bệnh ung thư đại trực tràng cũng rất hay gặp ở những người trẻ trong độ tuổi 20. Đây là bệnh gây tử vong đứng hàng thứ 4 sau các loại ung thư phổi, ung thư gan và ung thư dạ dày.
Bệnh ung thư đại trực tràng cũng rất hay gặp ở những người trẻ trong độ tuổi 20. Đây là bệnh gây tử vong đứng hàng thứ 4 sau các loại ung thư phổi, ung thư gan và ung thư dạ dày.
Hầu hết những người trẻ bị ung thư đại trực tràng thường do các polyp ung thư hóa hoặc gia đình có người có tiền sử mắc ung thư đại trực tràng.
Hầu hết những người trẻ bị ung thư đại trực tràng thường do các polyp ung thư hóa hoặc gia đình có người có tiền sử mắc ung thư đại trực tràng.
Triệu chứng điển hình của bệnh là: đi ngoài ra máu, phân lỏng, phân nhầy như máu cá, đau bụng… kèm theo đó là cảm giác chán ăn, buồn nôn, giảm cân khi bệnh đã ở giai đoạn muộn.
Triệu chứng điển hình của bệnh là: đi ngoài ra máu, phân lỏng, phân nhầy như máu cá, đau bụng… kèm theo đó là cảm giác chán ăn, buồn nôn, giảm cân khi bệnh đã ở giai đoạn muộn.
Vì bệnh ung thư đại trực tràng dễ gặp ở những người tuổi đôi mươi, chính vì vậy mà đừng nên chủ quan với các triệu chứng bất thường trên cơ thể, hãy đến gặp bác sĩ để có được sự tư vấn và kiểm tra kịp thời.
Vì bệnh ung thư đại trực tràng dễ gặp ở những người tuổi đôi mươi, chính vì vậy mà đừng nên chủ quan với các triệu chứng bất thường trên cơ thể, hãy đến gặp bác sĩ để có được sự tư vấn và kiểm tra kịp thời.
Hầu hết những bạn gái trẻ xuất hiện các khối u ở vú đều là những khối u lành tính, chỉ có một tỷ lệ rất nhỏ là ung thư vú.
Hầu hết những bạn gái trẻ xuất hiện các khối u ở vú đều là những khối u lành tính, chỉ có một tỷ lệ rất nhỏ là ung thư vú.
Khi các khối u xuất hiện người bệnh thường có những dấu hiệu như: đau tức vùng ngực, ngực to lên một cách bất thường, vùng da quanh vú biến đổi thành da đỏ, da màu cam, co rút da vùng vú…
Khi các khối u xuất hiện người bệnh thường có những dấu hiệu như: đau tức vùng ngực, ngực to lên một cách bất thường, vùng da quanh vú biến đổi thành da đỏ, da màu cam, co rút da vùng vú…
Để phòng ngừa và phát hiện sớm bệnh ung thư vú thì bạn gái nên thường xuyên kiểm tra vùng ngực. Nếu thấy vùng ngực của mình có những dấu hiệu bất thường như trên, bạn nên tới gặp các bác sĩ chuyên khoa để được khám và tư vấn kịp thời.
Để phòng ngừa và phát hiện sớm bệnh ung thư vú thì bạn gái nên thường xuyên kiểm tra vùng ngực. Nếu thấy vùng ngực của mình có những dấu hiệu bất thường như trên, bạn nên tới gặp các bác sĩ chuyên khoa để được khám và tư vấn kịp thời.

GALLERY MỚI NHẤT

Diễn viên Thương Tín qua đời ở tuổi 69

Diễn viên Thương Tín qua đời ở tuổi 69

Diễn viên Thương Tín qua đời vào ngày 8/12 tại nhà riêng ở Khánh Hòa. Ông ra đi ở tuổi 69. Ông để lại dấu ấn sâu đậm qua hàng trăm vai diễn trong lịch sử điện ảnh Việt Nam.