![]() |
![]() |
Ngày 15/4, BS.CK II Hoàng Bá Dũng, phó khoa Tai Mũi Họng, Bệnh viện Chợ Rẫy TP.HCM cho biết, bệnh viện đã tiếp nhận một trường hợp cấp cứu từ bệnh viện tỉnh Bà Rịa Vũng Tàu chuyển lên tối ngày 10/4 vừa qua, do tràn khí dưới da vùng cổ, ngực, trung thất do đi nhổ răng khôn.
_RWCV.jpg.ashx?width=500)
BS.CK II Hoàng Bá Dũng, phó khoa Tai Mũi Họng, Bệnh viện Chợ Rẫy TP.HCM đang khám cho bệnh nhân Mao Khánh Hòa.
![]() |
| Răng khôn là tên thường được gọi của răng số 8, hay răng cối lớn thứ ba. Răng thường xuất hiện trên khung hàm từ 16 - 25 tuổi, gây ra các cơn đau và biến chứng với các mức độ khác nhau. Theo nghiên cứu có khoảng 85% răng khôn sẽ bị nhổ đi thay vì để cho nó tồn tại đến hết quãng đời về sau. Ảnh: nhakhoahoanmy |
![]() |
| Lý do là răng khôn thường mọc vào vị trí không thuận lợi, hoặc do xương hàm đã chật. Hơn thế nữa răng khôn nằm ở vị trí quá sâu bên trong hàm sẽ khó vệ sinh, là môi trường tiềm năng cho vi khuẩn sinh sôi và làm tăng nguy cơ sâu răng, viêm lợi… cũng như hàng tá những rắc rối khác đối với sức khỏe. Ảnh: nhakhoaocare |
![]() |
| Nói đến nhổ răng hầu hết mọi người đều sợ đau. Ngày nay, dù đã sự hỗ trợ của máy móc và thuốc giảm đau, nhổ răng không còn đau như trước. Tuy nhiên, khi xem cận cảnh quy trình nhổ răng, chắc chắc không ít người phải rùng mình ghê sợ. Ảnh: nhakhoaninhkieu |
![]() |
| Viêm lợi trùm là một bệnh lý thường xảy ra đối với người đang trong giai đoạn mọc răng khôn. Người bệnh cảm thấy đau đớn, khó chịu, có khi phát sốt tới vài ngày. Trong trường hợp lợi trùm răng khôn mà răng khôn mọc ở vị trí thẳng hàng so với các răng khác thì chỉ chỉ cần cắt bỏ phần lợi trùm. Ảnh: phongkhamnhakhoa. |
![]() |
| Để cắt lợi trùm, bác sĩ phải bơm rửa, sát trùng, gây tê tại chỗ. Sau đó bóc tách toàn bộ mặt nhai răng 8. Dùng panh kẹp đúng điểm giữa bờ lợi trùm để cố định lợi trùm không di động khi cắt. Kết thúc bác sĩ khâu phục hồi bằng mũi khâu treo nhằm tạo bám dính mới ở mặt xa răng 8. Ảnh: nhakhoa |
![]() |
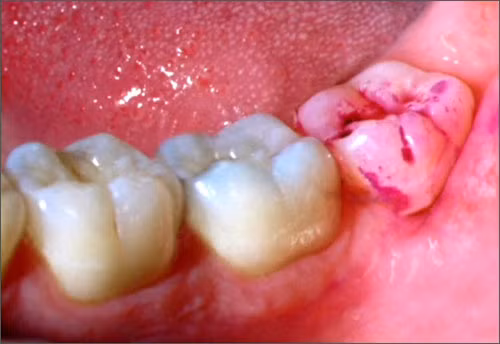
| Với những chiếc răng khôn mọc lệch má, lệch 45 độ hay 90 độ, bác sĩ sẽ chỉ định nhổ bỏ. Nhổ răng khôn mọc lệch là một cuộc tiểu phẫu đơn giản. Bệnh nhân chỉ cần gây tê tại chỗ mà không cần gây mê. Ảnh: nhakhoadangluu |
![]() |
| Sau đó, bác sĩ sẽ tiến hành tách nướu, nhổ hết chân răng đảm bảo không làm gãy hoặc sót lại. Vết rạch nướu được khâu lại bằng chỉ thẩm mỹ nha khoa tự tiêu. Sau khi quy trình nhổ răng hoàn tất và thuốc tê hết tác dụng sau 24 giờ có thể bạn sẽ còn cảm giác hơi nhức. Ảnh: youtube |
![]() |
| Với trường hợp răng khôn mọc ngầm trong xương hàm, bệnh nhân phải trải qua cuộc tiểu phẫu mở nướu để nhổ. Sau đó đóng vạt nướu lại là có thể hoàn tất điều trị. Tuy nhiên, nếu răng mọc sâu bên trong và lệch, chéo thì việc phẫu thuật khá phức tạp. Ảnh: media |
Dù chào giá thấp nhất tại gói thầu mua sắm xe ô tô, Công ty Ô tô Miền Nam vừa bị chủ đầu tư xử phạt, khóa tài khoản 06 tháng do vi phạm quy định về đối chiếu.
Theo tìm hiểu của Báo Tri thức và Cuộc sống, mức giá của Công ty Thái Hải thấp hơn đơn vị trúng thầu gần 315 triệu đồng vẫn bị loại bởi các tiêu chí kỹ thuật.
Tại gói thầu xây lắp dự án nâng cấp đường liên xã Ninh Phụng – Ninh Trung, Công ty TNHH Phúc Minh Đạt đã xuất sắc vượt qua các đối thủ nhờ sự chuẩn bị kỹ lưỡng về giải pháp kỹ thuật và biện pháp thi công.
Công ty TNHH Bảo Tín Minh Châu sử dụng hai hệ thống sổ sách để trốn thuế, nghi giấu doanh thu lên đến 9.700 tỷ đồng; gây thiệt hại ngân sách khoảng 150 tỷ đồng.
Phòng khám tai mũi họng bị phạt hành chính, nhân viên bị tước chứng chỉ 2 tháng do vi phạm quy trình đăng ký hành nghề.
Từ ngày 28/10/2024, ông Vũ Minh Châu không còn là người đại diện pháp luật của Bảo Tín Minh Châu, thay vào đó là bà Phạm Lan Anh.
Gói thầu xây dựng Trường TH thị trấn Vĩnh Hưng vừa công khai biên bản mở thầu với sự tham gia của 02 nhà thầu, ghi nhận mức giá dự thầu sát với giá dự toán được phê duyệt
Công ty TNHH Đầu tư Xây dựng Thương mại Loan Khải liên tiếp trúng thầu tại phường Dương Kinh với tỷ lệ tiết kiệm cho ngân sách ở mức "rất thấp", chỉ từ 0,4%.
Gói thầu số 05 tại Phòng Kinh tế xã Tân Hộ Cơ ghi nhận Công ty TNHH Xây dựng Thương mại Dịch vụ Hoà Thái dự thầu đơn độc với mức giá sát nút giá dự toán công trình.
Cơ quan công an khởi tố 8 bị can liên quan đường dây tiêu thụ gần 300 tấn lợn bệnh, đưa ra thị trường và trường học, thu lợi bất chính khoảng 2,5 tỷ đồng.
Bên cạnh những gói thầu thiết bị mạng và máy tính, Công ty Cổ phần Hệ thống Công nghệ Hoàng Hải còn trúng thầu cung cấp máy chủ vận hành phần mềm quản lý tài chính. Sự xuất hiện dày của nhà thầu này trong "hệ sinh thái" thiết bị CNTT của trường đặt ra nhiều nghi vấn.
Trong mạng lưới trúng thầu của Công ty TNHH Thương mại Gia Bảo A.B, có những gói thầu mà số tiền tiết kiệm cho ngân sách chỉ ở mức "tượng trưng", cùng sự xuất hiện lặp lại của các đối thủ.
Liên tiếp trúng các gói thầu cung cấp thiết bị mạng, máy tính với giá trị hàng tỷ đồng tại Trường Đại học Tôn Đức Thắng, Công ty Cổ phần Hệ thống Công nghệ Hoàng Hải đang cho thấy một "vị thế" đáng nể.
Với tổng giá trị trúng thầu cán mốc hơn 190,9 tỷ đồng, Công ty TNHH Xây dựng Hồng Hậu đang thể hiện vị thế áp đảo tại địa bàn thành phố Cần Thơ mới sau sáp nhập địa giới hành chính.
Phân tích dữ liệu lịch sử đấu thầu của Công ty TNHH DVS Việt Nam cho thấy tỉ lệ tiết kiệm trung bình của doanh nghiệp này chỉ ở mức 0,21%. Một con số rất khiêm tốn.
Với tỷ lệ trúng thầu áp đảo tại các đơn vị thành viên Tập đoàn Xăng dầu Việt Nam (Petrolimex), Công ty TNHH Kỹ thuật Sao Việt đang cho thấy một "vị thế" đặc biệt trong lĩnh vực cung cấp thiết bị hóa nghiệm và đo lường.
Công ty TNHH Bảo Tín Minh Châu sử dụng hai hệ thống sổ sách để trốn thuế, nghi giấu doanh thu lên đến 9.700 tỷ đồng; gây thiệt hại ngân sách khoảng 150 tỷ đồng.
Công ty TNHH Đầu tư Xây dựng Thương mại Loan Khải liên tiếp trúng thầu tại phường Dương Kinh với tỷ lệ tiết kiệm cho ngân sách ở mức "rất thấp", chỉ từ 0,4%.
Cơ quan công an khởi tố 8 bị can liên quan đường dây tiêu thụ gần 300 tấn lợn bệnh, đưa ra thị trường và trường học, thu lợi bất chính khoảng 2,5 tỷ đồng.
Từ ngày 28/10/2024, ông Vũ Minh Châu không còn là người đại diện pháp luật của Bảo Tín Minh Châu, thay vào đó là bà Phạm Lan Anh.
Gói thầu xây lắp dự án láng nhựa đường KT3 vừa hoàn thành mở thầu qua mạng với sự tham gia của 02 nhà thầu địa phương, ghi nhận tỷ lệ giảm giá cạnh tranh nhằm tiết kiệm ngân sách nhà nước
Sau khi sáp nhập các đơn vị hành chính cấp xã theo Nghị quyết 1682 tại Tây Ninh, việc giám sát chặt chẽ công tác lựa chọn nhà thầu là yếu tố then chốt để đảm bảo minh bạch ngân sách.
Tại gói thầu xây lắp dự án nâng cấp đường liên xã Ninh Phụng – Ninh Trung, Công ty TNHH Phúc Minh Đạt đã xuất sắc vượt qua các đối thủ nhờ sự chuẩn bị kỹ lưỡng về giải pháp kỹ thuật và biện pháp thi công.
Công ty Tuệ Minh được xã Long Khánh phê duyệt trúng thầu hơn 1,7 tỷ đồng vào ngày 24/03, dù đến 27/03 đơn vị này mới có tên trên hệ thống đấu thầu quốc gia.
Dù chào giá thấp nhất tại gói thầu mua sắm xe ô tô, Công ty Ô tô Miền Nam vừa bị chủ đầu tư xử phạt, khóa tài khoản 06 tháng do vi phạm quy định về đối chiếu.
Gói thầu số 8 tại Than Vàng Danh ghi nhận diễn biến bất ngờ khi chủ đầu tư quyết định chấm dứt hợp đồng với liên danh trúng thầu do vi phạm nghiêm trọng tiến độ
Theo tìm hiểu của Báo Tri thức và Cuộc sống, mức giá của Công ty Thái Hải thấp hơn đơn vị trúng thầu gần 315 triệu đồng vẫn bị loại bởi các tiêu chí kỹ thuật.
Gói thầu mua sắm thiết bị công nghệ thông tin tại phường Minh Phụng, TP HCM ghi nhận sự cạnh tranh sát sao giữa hai nhà thầu có lịch sử "đối đầu" dày dạn với mức giá dự thầu chênh lệch cực thấp.
Gói thầu xây dựng Trường TH thị trấn Vĩnh Hưng vừa công khai biên bản mở thầu với sự tham gia của 02 nhà thầu, ghi nhận mức giá dự thầu sát với giá dự toán được phê duyệt
Gói thầu số 05 tại Phòng Kinh tế xã Tân Hộ Cơ ghi nhận Công ty TNHH Xây dựng Thương mại Dịch vụ Hoà Thái dự thầu đơn độc với mức giá sát nút giá dự toán công trình.