Rùng mình xem quy trình nhổ răng khôn hiểm hóc

Rùng mình xem quy trình nhổ răng khôn hiểm hóc

(Kiến Thức) - Những hình ảnh của quy trình nhổ răng luôn khiến người xem phải rùng mình ghê sợ.

 Răng khôn là tên thường được gọi của răng số 8, hay răng cối lớn thứ ba. Răng thường xuất hiện trên khung hàm từ 16 - 25 tuổi, gây ra các cơn đau và biến chứng với các mức độ khác nhau. Theo nghiên cứu có khoảng 85% răng khôn sẽ bị nhổ đi thay vì để cho nó tồn tại đến hết quãng đời về sau. Ảnh: nhakhoahoanmy
Răng khôn là tên thường được gọi của răng số 8, hay răng cối lớn thứ ba. Răng thường xuất hiện trên khung hàm từ 16 - 25 tuổi, gây ra các cơn đau và biến chứng với các mức độ khác nhau. Theo nghiên cứu có khoảng 85% răng khôn sẽ bị nhổ đi thay vì để cho nó tồn tại đến hết quãng đời về sau. Ảnh: nhakhoahoanmy
Lý do là răng khôn thường mọc vào vị trí không thuận lợi, hoặc do xương hàm đã chật. Hơn thế nữa răng khôn nằm ở vị trí quá sâu bên trong hàm sẽ khó vệ sinh, là môi trường tiềm năng cho vi khuẩn sinh sôi và làm tăng nguy cơ sâu răng, viêm lợi… cũng như hàng tá những rắc rối khác đối với sức khỏe. Ảnh: nhakhoaocare
Lý do là răng khôn thường mọc vào vị trí không thuận lợi, hoặc do xương hàm đã chật. Hơn thế nữa răng khôn nằm ở vị trí quá sâu bên trong hàm sẽ khó vệ sinh, là môi trường tiềm năng cho vi khuẩn sinh sôi và làm tăng nguy cơ sâu răng, viêm lợi… cũng như hàng tá những rắc rối khác đối với sức khỏe. Ảnh: nhakhoaocare
Nói đến nhổ răng hầu hết mọi người đều sợ đau. Ngày nay, dù đã sự hỗ trợ của máy móc và thuốc giảm đau, nhổ răng không còn đau như trước. Tuy nhiên, khi xem cận cảnh quy trình nhổ răng, chắc chắc không ít người phải rùng mình ghê sợ. Ảnh: nhakhoaninhkieu
Nói đến nhổ răng hầu hết mọi người đều sợ đau. Ngày nay, dù đã sự hỗ trợ của máy móc và thuốc giảm đau, nhổ răng không còn đau như trước. Tuy nhiên, khi xem cận cảnh quy trình nhổ răng, chắc chắc không ít người phải rùng mình ghê sợ. Ảnh: nhakhoaninhkieu
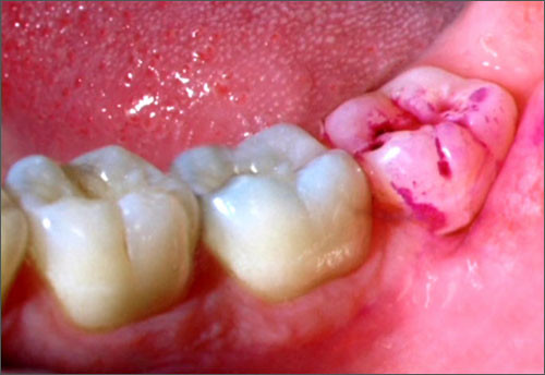
Viêm lợi trùm là một bệnh lý thường xảy ra đối với người đang trong giai đoạn mọc răng khôn. Người bệnh cảm thấy đau đớn, khó chịu, có khi phát sốt tới vài ngày. Trong trường hợp lợi trùm răng khôn mà răng khôn mọc ở vị trí thẳng hàng so với các răng khác thì chỉ chỉ cần cắt bỏ phần lợi trùm. Ảnh: phongkhamnhakhoa.
Viêm lợi trùm là một bệnh lý thường xảy ra đối với người đang trong giai đoạn mọc răng khôn. Người bệnh cảm thấy đau đớn, khó chịu, có khi phát sốt tới vài ngày. Trong trường hợp lợi trùm răng khôn mà răng khôn mọc ở vị trí thẳng hàng so với các răng khác thì chỉ chỉ cần cắt bỏ phần lợi trùm. Ảnh: phongkhamnhakhoa.
Để cắt lợi trùm, bác sĩ phải bơm rửa, sát trùng, gây tê tại chỗ. Sau đó bóc tách toàn bộ mặt nhai răng 8. Dùng panh kẹp đúng điểm giữa bờ lợi trùm để cố định lợi trùm không di động khi cắt. Kết thúc bác sĩ khâu phục hồi bằng mũi khâu treo nhằm tạo bám dính mới ở mặt xa răng 8. Ảnh: nhakhoa
Để cắt lợi trùm, bác sĩ phải bơm rửa, sát trùng, gây tê tại chỗ. Sau đó bóc tách toàn bộ mặt nhai răng 8. Dùng panh kẹp đúng điểm giữa bờ lợi trùm để cố định lợi trùm không di động khi cắt. Kết thúc bác sĩ khâu phục hồi bằng mũi khâu treo nhằm tạo bám dính mới ở mặt xa răng 8. Ảnh: nhakhoa
Với những chiếc răng khôn mọc lệch má, lệch 45 độ hay 90 độ, bác sĩ sẽ chỉ định nhổ bỏ. Nhổ răng khôn mọc lệch là một cuộc tiểu phẫu đơn giản. Bệnh nhân chỉ cần gây tê tại chỗ mà không cần gây mê. Ảnh: nhakhoadangluu
Với những chiếc răng khôn mọc lệch má, lệch 45 độ hay 90 độ, bác sĩ sẽ chỉ định nhổ bỏ. Nhổ răng khôn mọc lệch là một cuộc tiểu phẫu đơn giản. Bệnh nhân chỉ cần gây tê tại chỗ mà không cần gây mê. Ảnh: nhakhoadangluu
Sau đó, bác sĩ sẽ tiến hành tách nướu, nhổ hết chân răng đảm bảo không làm gãy hoặc sót lại. Vết rạch nướu được khâu lại bằng chỉ thẩm mỹ nha khoa tự tiêu. Sau khi quy trình nhổ răng hoàn tất và thuốc tê hết tác dụng sau 24 giờ có thể bạn sẽ còn cảm giác hơi nhức. Ảnh: youtube
Sau đó, bác sĩ sẽ tiến hành tách nướu, nhổ hết chân răng đảm bảo không làm gãy hoặc sót lại. Vết rạch nướu được khâu lại bằng chỉ thẩm mỹ nha khoa tự tiêu. Sau khi quy trình nhổ răng hoàn tất và thuốc tê hết tác dụng sau 24 giờ có thể bạn sẽ còn cảm giác hơi nhức. Ảnh: youtube
Với trường hợp răng khôn mọc ngầm trong xương hàm, bệnh nhân phải trải qua cuộc tiểu phẫu mở nướu để nhổ. Sau đó đóng vạt nướu lại là có thể hoàn tất điều trị. Tuy nhiên, nếu răng mọc sâu bên trong và lệch, chéo thì việc phẫu thuật khá phức tạp. Ảnh: media
Với trường hợp răng khôn mọc ngầm trong xương hàm, bệnh nhân phải trải qua cuộc tiểu phẫu mở nướu để nhổ. Sau đó đóng vạt nướu lại là có thể hoàn tất điều trị. Tuy nhiên, nếu răng mọc sâu bên trong và lệch, chéo thì việc phẫu thuật khá phức tạp. Ảnh: media

GALLERY MỚI NHẤT