Câu hỏi của bệnh nhân: Ai cũng có 2 chiếc răng khôn, nhưng tôi mọc 4 chiếc răng khôn, khi bị đau thì tôi rất đau, tôi muốn hỏi bác sĩ, tôi có thể nhổ cả 4 chiếc răng khôn một lúc được không?
(khoahocdoisong.vn) - Việc nhổ răng khôn cần tuân thủ một số tiêu chí để không gây ra những biến chứng không đáng có như: Chảy máu kéo dài, nhiễm trùng... sau nhổ răng.
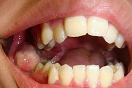
(Kiến Thức) - Vì ngại đến phòng khám nha khoa nhiều lần, đã quyết định "đau một lần rồi thôi", nhổ 4 chiếc răng khôn một lúc. Kết quả, mặt anh sưng phồng như quả đu đủ.
(Kiến Thức) - Cùng ngày nhổ răng khôn, cô Tiêu chảy máu không ngừng ở vết thương trong miệng. Sáng hôm sau, rời giường, máu thấm cả xuống gối, không thể cầm lại. Trước đó, cô Tiêu đã khỏi bệnh ung thư vú ngoạn mục.
(Kiến Thức) - Nhổ răng là biện pháp nhằm điều trị và khắc phục khi răng khôn mọc lệch. Chế độ dinh dưỡng, cách vệ sinh răng miệng, thể trạng của cơ thể có ảnh hưởng rất lớn tới khả năng hồi phục của vết thương sau khi nhổ răng khôn.
(Kiến Thức) - Hầu hết chúng ta sẽ trải qua cảm giác khó chịu khi mọc răng khôn. Đây là chiếc răng chức năng không rõ ràng nhưng lại mang khá nhiều phiền toái khi nó xuất hiện.
(khoahocdoisong.vn) - Nhổ răng khôn theo dân gian thì nguy hiểm, điều này tùy vào tay nghề bác sĩ. Nó có thể gây tê bì lưỡi, tê môi… Nhưng nói nhổ răng khôn gây ảnh hưởng thần kinh là sai.
Một phụ nữ tử vong sau khi nhổ răng trong bệnh viện ở Hải Phòng. Ít phút sau khi nhổ răng ở Bệnh viện 7 (Hải Phòng), nữ bệnh nhân bất ngờ lên cơn co giật, tím tái…
(Kiến Thức) - “Không đau, không sưng, không chảy máu, sau khi nhổ răng khôn bạn vẫn sẽ đi làm, đi học và sinh hoạt như bình thường” – Theo lời bác sỹ Nguyễn Văn Hòa. Đó cũng là mong muốn của tất cả các khách hàng khi lựa chọn đến với Shinbi Dental để tìm hiểu về dịch vụ nhổ răng số 8 hay còn gọi là răng khôn.