Nhận diện dấu hiệu u xương ác tính ở trẻ

Nhận diện dấu hiệu u xương ác tính ở trẻ

(Kiến Thức) - Đau nhức, xương dễ gãy, mệt mỏi… là dấu hiệu ung thư xương ác tính thường gặp ở những bệnh nhân nhí. 

 Sarcoma xương còn được biết đến với tên gọi ung thư xương ác tính là loại phổ biến nhất của ung thư xương, đứng thứ 6 trong số các loại ung thư thường tấn công trẻ em.
Sarcoma xương còn được biết đến với tên gọi ung thư xương ác tính là loại phổ biến nhất của ung thư xương, đứng thứ 6 trong số các loại ung thư thường tấn công trẻ em.


 Nhìn chung, bệnh thường được chẩn đoán ở trẻ em trong tuổi dậy thì; bé trai có nguy cơ mắc bệnh cao hơn so với bé gái.
Nhìn chung, bệnh thường được chẩn đoán ở trẻ em trong tuổi dậy thì; bé trai có nguy cơ mắc bệnh cao hơn so với bé gái.


 Một trong những dấu hiệu thường gặp nhất ở bệnh nhân là tình trạng đau, sưng ở chân, cánh tay. Cảm giác đau thường xuất hiện ở các vị trí xương dài như trên hoặc dưới đầu gối, cánh tay hoặc trên vai.
Một trong những dấu hiệu thường gặp nhất ở bệnh nhân là tình trạng đau, sưng ở chân, cánh tay. Cảm giác đau thường xuất hiện ở các vị trí xương dài như trên hoặc dưới đầu gối, cánh tay hoặc trên vai.


 Thông thường, những cơn đau này kéo dài và đau nhức hơn vào ban đêm khi cơ bắp thư giãn. Đáng tiếc, chúng dễ nhầm lẫn với chứng bong gân lúc dậy thì.
Thông thường, những cơn đau này kéo dài và đau nhức hơn vào ban đêm khi cơ bắp thư giãn. Đáng tiếc, chúng dễ nhầm lẫn với chứng bong gân lúc dậy thì.

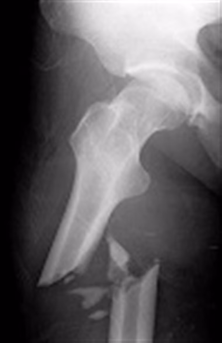
 Gãy xương. Khi các tế bào ung thư phát triển trong khu vực này, nó tác động làm suy yếu xương. Ngay cả những tác động nhỏ, bất ngờ cũng khiến bệnh nhân đối diện với tình trạng gãy xương. Thậm chí, một số trường hợp khi nhập viện, các bác sĩ vẫn có thể nhầm lẫn bệnh với nguyên nhân gãy xương thông thường, tiến hành bó bột hoặc đóng đinh nội tủy.
Gãy xương. Khi các tế bào ung thư phát triển trong khu vực này, nó tác động làm suy yếu xương. Ngay cả những tác động nhỏ, bất ngờ cũng khiến bệnh nhân đối diện với tình trạng gãy xương. Thậm chí, một số trường hợp khi nhập viện, các bác sĩ vẫn có thể nhầm lẫn bệnh với nguyên nhân gãy xương thông thường, tiến hành bó bột hoặc đóng đinh nội tủy.

 Xuất hiện khối u. Ban đầu, khối u có thể là một đám chắc, đẩy gồ mặt da, bờ không rõ, sờ nắn không đau. Về sau to nhanh, làm biến dạng vùng có u. U thâm nhiễm tổ chức phần mềm, nổi rõ các mạch máu dưới da và tân tạo các mạch máu nhỏ, đau khi thăm khám, màu sắc da trở nên hồng, ấm hơn nơi khác, mật độ nơi mềm, nơi chắc, nơi căng do máu tụ.
Xuất hiện khối u. Ban đầu, khối u có thể là một đám chắc, đẩy gồ mặt da, bờ không rõ, sờ nắn không đau. Về sau to nhanh, làm biến dạng vùng có u. U thâm nhiễm tổ chức phần mềm, nổi rõ các mạch máu dưới da và tân tạo các mạch máu nhỏ, đau khi thăm khám, màu sắc da trở nên hồng, ấm hơn nơi khác, mật độ nơi mềm, nơi chắc, nơi căng do máu tụ.


 Mệt mỏi. Mệt mỏi kéo dài bắt nguồn từ nhiều nguyên nhân song nó có thể là một triệu chứng của ung thư xương. Tình trạng càng đáng báo động nếu thời gian này bạn vẫn duy trì ăn uống lành mạnh.
Mệt mỏi. Mệt mỏi kéo dài bắt nguồn từ nhiều nguyên nhân song nó có thể là một triệu chứng của ung thư xương. Tình trạng càng đáng báo động nếu thời gian này bạn vẫn duy trì ăn uống lành mạnh.


 Giảm cân. Giảm cân không đồng nghĩa với việc chắc chắn bạn mắc ung thư xương ác tính. Tuy nhiên, không ít trường hợp mắc bệnh này khẳng định họ đối diện với tình trạng giảm cân không giải thích được nguyên nhân. Chính vì vậy, nếu không theo đuổi chế độ luyện tập, ăn uống kiêng khem đặc biệt mà xuất hiện tình trạng này, bạn nên sớm đưa con mình đi khám sức khỏe để phát hiện căn nguyên vấn đề.
Giảm cân. Giảm cân không đồng nghĩa với việc chắc chắn bạn mắc ung thư xương ác tính. Tuy nhiên, không ít trường hợp mắc bệnh này khẳng định họ đối diện với tình trạng giảm cân không giải thích được nguyên nhân. Chính vì vậy, nếu không theo đuổi chế độ luyện tập, ăn uống kiêng khem đặc biệt mà xuất hiện tình trạng này, bạn nên sớm đưa con mình đi khám sức khỏe để phát hiện căn nguyên vấn đề.


 Bên cạnh những dấu hiệu thường gặp trên, bệnh nhân mắc ung thư xương ác tính còn có thể xuất hiện tình trạng sốt, chán ăn…
Bên cạnh những dấu hiệu thường gặp trên, bệnh nhân mắc ung thư xương ác tính còn có thể xuất hiện tình trạng sốt, chán ăn…

GALLERY MỚI NHẤT

Cận cảnh công trình hồ điều hòa Cự Khối gần 1.000 tỷ ở Long Biên

Cận cảnh công trình hồ điều hòa Cự Khối gần 1.000 tỷ ở Long Biên

Dự án mương Việt Hưng - Cầu Bây và hồ điều hòa Cự Khối tại phường Long Biên đang được tăng tốc thi công với nhiều hạng mục đạt tiến độ tích cực. Khi hoàn thành, công trình sẽ góp phần giảm úng ngập, nâng cao năng lực tiêu thoát nước và cải thiện cảnh quan khu vực phía Đông Hà Nội.