Dấu hiệu nhận biết ung thư miệng

Dấu hiệu nhận biết ung thư miệng

(Kiến Thức) - Không giống các bộ phận khác của cơ thể, ung thư miệng thường có triệu chứng sớm mà bệnh nhân cảm nhận được khi ăn uống, nuốt ngay cả khi tổn thương còn rất nhỏ.

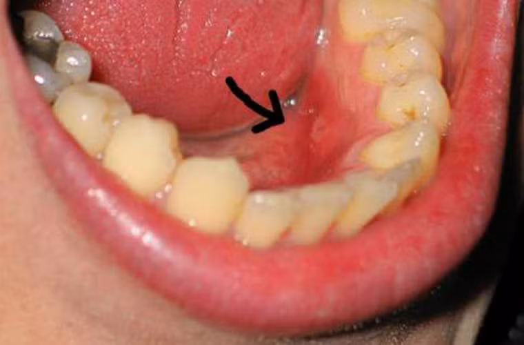
Đi tìm dấu vết khối u. Những khối u này đôi khi không hề mang lại cảm giác đau đớn cho khổ chủ. Chính vì vậy, bạn cần phải đặc biệt chú trọng đến các dấu hiệu như khối u lồi lên với màu nhạt hoặc trắng.
Đi tìm dấu vết khối u. Những khối u này đôi khi không hề mang lại cảm giác đau đớn cho khổ chủ. Chính vì vậy, bạn cần phải đặc biệt chú trọng đến các dấu hiệu như khối u lồi lên với màu nhạt hoặc trắng.
Khi dùng tay kiểm tra, khối u thường được bao quanh bởi một vành cứng. Ngoài ra, nó cũng dễ dàng được nhận diện bởi sự gia tăng về kích cỡ theo thời gian.
Khi dùng tay kiểm tra, khối u thường được bao quanh bởi một vành cứng. Ngoài ra, nó cũng dễ dàng được nhận diện bởi sự gia tăng về kích cỡ theo thời gian.
Tìm hiểu căn nguyên gây chảy máu miệng. Một số trường hợp, khối u phát triển về kích cỡ và có thể biến chứng thành vết loét mở, rỉ máu khiến miệng cảm thấy tanh nồng và khó chữa lành dù đã dùng thuốc.
Tìm hiểu căn nguyên gây chảy máu miệng. Một số trường hợp, khối u phát triển về kích cỡ và có thể biến chứng thành vết loét mở, rỉ máu khiến miệng cảm thấy tanh nồng và khó chữa lành dù đã dùng thuốc.
Kiểm tra răng và nướu. Người mắc ung thư miệng còn gặp triệu chứng răng, nướu răng sưng vù, đỏ, nổi cục trong thời gian dài. Đối với người sử dụng răng giả, các vấn đề về nướu sẽ khiến chiếc răng nhân tạo không còn đáp ứng được nhu cầu ăn nhai.
Kiểm tra răng và nướu. Người mắc ung thư miệng còn gặp triệu chứng răng, nướu răng sưng vù, đỏ, nổi cục trong thời gian dài. Đối với người sử dụng răng giả, các vấn đề về nướu sẽ khiến chiếc răng nhân tạo không còn đáp ứng được nhu cầu ăn nhai.
Cảnh giác với hiện tượng lưỡi cứng hoặc ngứa ran. Các vấn đề về lưỡi gây nên tình trạng khó kiểm soát khi nói chuyện hoặc ăn uống. Thậm chí, nó có thể gây khó khăn trong việc nuốt thức ăn dạng đặc, lỏng.
Cảnh giác với hiện tượng lưỡi cứng hoặc ngứa ran. Các vấn đề về lưỡi gây nên tình trạng khó kiểm soát khi nói chuyện hoặc ăn uống. Thậm chí, nó có thể gây khó khăn trong việc nuốt thức ăn dạng đặc, lỏng.
Để phòng ngừa ung thư miệng cần áp dụng các biện pháp sau: Bỏ thuốc lá để tránh cho các tế bào khoang miệng tiếp xúc hóa chất gây ung thư; Không uống rượu quá mức; Tăng cường ăn các loại rau quả giàu vitamin, đặc biệt là cà rốt.
Để phòng ngừa ung thư miệng cần áp dụng các biện pháp sau: Bỏ thuốc lá để tránh cho các tế bào khoang miệng tiếp xúc hóa chất gây ung thư; Không uống rượu quá mức; Tăng cường ăn các loại rau quả giàu vitamin, đặc biệt là cà rốt.
Riêng với ung thư môi, để phòng ngừa nên tránh tiếp xúc với ánh nắng mặt trời quá nhiều; dùng kem bảo vệ môi khi ra nắng; khám răng miệng định kỳ 6 tháng 1 lần ở các cơ sở chuyên khoa.
Riêng với ung thư môi, để phòng ngừa nên tránh tiếp xúc với ánh nắng mặt trời quá nhiều; dùng kem bảo vệ môi khi ra nắng; khám răng miệng định kỳ 6 tháng 1 lần ở các cơ sở chuyên khoa.

GALLERY MỚI NHẤT

4 iPhone cũ đáng mua nhất năm 2026

4 iPhone cũ đáng mua nhất năm 2026

Xu hướng săn iPhone đời cũ đang lên ngôi năm 2026, khi giá giảm sâu nhưng vẫn giữ hiệu năng mạnh mẽ, thiết kế sang trọng và nhiều tính năng hiện đại.