Bụng to bất thường, phát hiện ung thư tinh hoàn kích thước lớn trong ổ bụng

Nam giới khi có các dấu hiệu như đau bụng kéo dài, bụng to lên không rõ nguyên nhân hoặc sờ thấy khối bất thường trong ổ bụng cần được thăm khám đầy đủ.

Bệnh viện Trung ương Quân đội 108 (Bệnh viện TWQĐ 108) vừa phẫu thuật cho một người đàn ông có khối ung thư tinh hoàn “khổng lồ” trong ổ bụng.

Ung thư tinh hoàn là bệnh lý ác tính không hiếm gặp ở nam giới trẻ tuổi. Tuy nhiên, trong những trường hợp tinh hoàn không xuống bìu (tinh hoàn lạc chỗ), khối u có thể âm thầm phát triển trong ổ bụng và chỉ được phát hiện khi đã đạt kích thước rất lớn, thậm chí kèm theo di căn hạch.

Mới đây, Khoa Nam học, Bệnh viện TWQĐ 108 đã tiếp nhận và điều trị một ca bệnh đặc biệt: Người bệnh nam, sinh năm 1991, nhập viện trong tình trạng bụng to lên nhanh chóng trong thời gian ngắn, kèm theo cảm giác sờ thấy một khối cứng trong ổ bụng, khu trú vùng hạ vị - vị trí dễ gây nhầm lẫn với các khối u ổ bụng khác. Đáng chú ý, người bệnh không có biểu hiện đau dữ dội, không sốt, khiến việc phát hiện ban đầu gặp nhiều khó khăn.

tinh-hoan-lac1.jpg
Các bác sĩ phẫu thuật loại bỏ khối u lớn - Ảnh BVCC

Qua khai thác tiền sử và thăm khám toàn diện, các bác sĩ nhận thấy bìu người bệnh không có tinh hoàn tương ứng, từ đó đặt ra nghi ngờ tinh hoàn lạc chỗ trong ổ bụng.

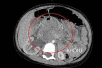
Kết hợp các phương tiện chẩn đoán hình ảnh hiện đại và xét nghiệm chuyên sâu, xác định trường hợp này là ung thư tinh hoàn lạc chỗ trong ổ bụng, kích thước rất lớn, đã có di căn hạch.

Sau nhiều lần hội chẩn liên chuyên khoa, người bệnh được chỉ định phẫu thuật cắt bỏ toàn bộ khối u tinh hoàn và vét hạch vùng, sau đó tiếp tục điều trị hóa chất theo phác đồ.

BS Phan Lê Nhật Long - Khoa Nam học cho biết: “Đây là một ca phẫu thuật khó. Khối u có kích thước rất lớn, nguy cơ dính vào các cơ quan lân cận trong ổ bụng. Đặc biệt, kỹ thuật vét hạch quanh động mạch chủ bụng rất phức tạp, tiềm ẩn nhiều rủi ro”.

Ca mổ được chuẩn bị kỹ lưỡng thông qua nhiều lần hội chẩn với sự tham gia của các chuyên khoa: Nam học, Tiết niệu, Phẫu thuật bụng, Phẫu thuật tim mạch, Gây mê hồi sức, Truyền máu… nhằm xây dựng phương án tối ưu và đảm bảo an toàn cho người bệnh.

“May mắn, ca phẫu thuật đã diễn ra thuận lợi, khối u được lấy trọn vẹn. Hiện người bệnh tiếp tục được điều trị hóa chất theo đúng phác đồ”, BS Long chia sẻ.

tinh-hoan-lac.jpg
Khối u tinh hoàn lạc chỗ kích thước lớn được lấy ra từ ổ bụng (hình ảnh đã được xử lý màu) - Ảnh BVCC

Theo các chuyên gia, tinh hoàn không xuống bìu là một bất thường bẩm sinh. Nếu không được phát hiện và xử trí sớm, tinh hoàn nằm trong ổ bụng có nguy cơ cao gặp nhiều biến chứng như: thoái hóa, giảm chức năng sinh tinh và đặc biệt là nguy cơ ung thư tinh hoàn cao hơn nhiều lần so với tinh hoàn nằm đúng vị trí trong bìu.

Khi ung thư xảy ra, bệnh thường được phát hiện muộn, khối u lớn và dễ di căn. Đáng lo ngại, ở người trưởng thành, tình trạng này có thể bị bỏ quên trong nhiều năm, cho đến khi xuất hiện các triệu chứng bất thường ở ổ bụng.

“Nam giới khi có các dấu hiệu như đau bụng kéo dài, bụng to lên không rõ nguyên nhân hoặc sờ thấy khối bất thường trong ổ bụng cần được thăm khám đầy đủ, trong đó không nên bỏ qua việc kiểm tra bìu và tinh hoàn, nhằm loại trừ các bệnh lý tinh hoàn không xuống bìu”, BS Phan Lê Nhật Long khuyến cáo.

Bé 3 tuổi đã ung thư tinh hoàn, cha mẹ cần chú ý kiểm tra khi trẻ mới sinh

Phát hiện sớm, can thiệp kịp thời tinh hoàn ẩn, có thể giúp trẻ tránh được những biến cố lớn trong tương lai.

Ung thư di căn vì không biết có tinh hoàn ẩn

Một bé trai 3 tuổi, người dân tộc Mông (từ tỉnh Hà Giang cũ nay là tỉnh Tuyên Quang), được gia đình đưa đến Bệnh viện Đa khoa Hùng Vương vì những cơn đau bụng quanh rốn.

2 năm chịu đựng đau đớn, chàng trai 19 tuổi không ngờ bị ung thư tinh hoàn

Ung thư tinh hoàn là bệnh lý có khả năng chữa trị thành công rất cao. Tuy nhiên, bệnh vẫn có khả năng lây sang những bộ phận khác trong cơ thể.

Nghĩ bệnh tự khỏi và ngại chia sẻ, nam bệnh nhân 19 tuổi đã âm thầm chịu đựng khối u tại tinh hoàn suốt 2 năm. Khi nhập viện, bệnh nhân được chẩn đoán ung thư tinh hoàn giai đoạn muộn với khối u kích thước "khủng".

Tưởng bệnh tự khỏi để lâu khiến ung thư biến chuyển giai đoạn nặng

Đọc nhiều nhất

Lợi ích sức khỏe của táo đỏ

Lợi ích sức khỏe của táo đỏ

Đông y cho rằng táo đỏ có tác dụng bổ khí huyết, kiện tỳ vị, an thần nên thường cho vào các bài thuốc có tác dụng bồi bổ cơ thể.
Vì sao càng mệt càng khó ngủ?

Vì sao càng mệt càng khó ngủ?

Mệt mỏi không đồng nghĩa với buồn ngủ. Khi não bộ còn căng thẳng và hormone stress tăng cao, giấc ngủ dễ bị chập chờn, thậm chí biến mất hoàn toàn.

Tin mới

Vì sao càng mệt càng khó ngủ?

Vì sao càng mệt càng khó ngủ?

Mệt mỏi không đồng nghĩa với buồn ngủ. Khi não bộ còn căng thẳng và hormone stress tăng cao, giấc ngủ dễ bị chập chờn, thậm chí biến mất hoàn toàn.

Lợi ích sức khỏe của táo đỏ

Lợi ích sức khỏe của táo đỏ

Đông y cho rằng táo đỏ có tác dụng bổ khí huyết, kiện tỳ vị, an thần nên thường cho vào các bài thuốc có tác dụng bồi bổ cơ thể.