Yếu tố nguy cơ gây ung thư khoang miệng, cách phòng tránh

Triệu chứng sớm của bệnh ung thư khoang miệng thường dễ nhầm lẫn với các bệnh viêm nhiễm khoang miệng thông thường nên khiến người bệnh chủ quan.

Theo bác sĩ chuyên khoa, ung thư khoang miệng là một nhóm bệnh lý ác tính xuất hiện tại vùng khoang miệng bao gồm: Lưỡi, lợi hàm dưới, niêm mạc má, sàn miệng, lợi hàm trên, khẩu cái và môi. Trong đó ung thư lưỡi là nhóm phổ biến và nguy hiểm nhất.

Có nhiều yếu tố nguy cơ gây bệnh được xác định gồm: Hút thuốc lá, uống rượu, thói quen nhai trầu. Trong những năm gần đây, virus HPV (Human Papillomavirus) được xác định là nguyên nhân độc lập gây ra ung thư biểu mô tế bào vảy hầu họng.

2.jpg
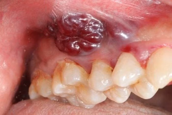
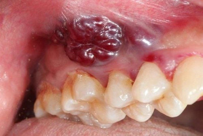
Vùng tổn thương nhô lên kèm loét và chảy máu là dấu hiệu của ung thư khoang miệng/ (Ảnh minh hoạ/Internet)

Phát hiện sớm ung thư khoang miệng có thể thực hiện qua việc thăm khám lâm sàng các tổn thương nghi ngờ. Vì vậy, việc tự theo dõi và nhận biết nguy cơ ung thư khoang miệng là vô cùng cần thiết. Chúng ta có thể nhận biết bản thân có nguy cơ mắc bệnh hay không bằng cách phát hiện các dấu hiệu sớm của ung thư khoang miệng qua các dấu hiệu cảnh báo theo các bác sĩ như sau:

U nhú màu trắng, thường xuất hiện tại lợi hàm hoặc niêm mạc má và hầu hết không có triệu chứng; Chấm trắng xuất hiện trên nền niêm mạc bình thường với bề mặt gồ ghề và bờ viền không đều; Tổn thương niêm mạc gây ra bởi răng giả hoặc bờ răng sắc nhọn, không lành sau 2 tuần; Tổn thương dạng cục cứng dưới niêm mạc với bờ viền không rõ, không đau và phát triển to ra từ từ.

Niêm mạc trên bề mặt bình thường; Tổn thương niêm mạc không rõ nguyên nhân và không lành sau 2 tuần; Tổn thương không lành sau nhổ răng, sưng đỏ, dễ chảy máu khi chạm vào tổn thương. Một vùng niêm mạc khoang miệng trở nên đỏ và gây đau rát, khó lành; Xuất hiện đau vùng khoang miệng không rõ nguyên nhân, đau ngày càng trầm trọng hơn.

Không phải tất cả các trường hợp ung thư khoang miệng đều có thể phòng ngừa nhưng nguy cơ ung thư khoang miệng có thể giảm đáng kể nếu bạn hạn chế các yếu tố nguy cơ như:

Tránh thuốc lá và rượu

Sử dụng thuốc lá và rượu là một trong những yếu tố nguy cơ quan trọng nhất với bệnh ung thư khoang miệng. Không sử dụng thuốc lá là cách tốt nhất để giảm nguy cơ mắc bệnh. Bên cạnh đó, uống rượu cũng là yếu tố nguy cơ gây ung thư khoang miệng. Yếu tố này cũng làm tăng đáng kể khả năng gây ung thư của thuốc lá.

Tránh nhiễm HPV

Nguy cơ nhiễm trùng papillomavirus (HPV) ở miệng và cổ họng tăng lên ở những người có quan hệ tình dục bằng miệng và quan hệ với nhiều người. HPV rất phổ biến và hiếm khi gây các triệu chứng. Bệnh nhiễm trùng này cũng phổ biến hơn ở người hút thuốc, có thể do khói thuốc ảnh hưởng đến hệ thống miễn dịch hoặc các tế bào lót miệng và cổ họng.

Tiêm vắc xin HPV giảm nguy cơ nhiễm một số loại HPV. Những vắc xin này giảm nguy cơ ung thư cổ tử cung và các bệnh ung thư khác liên quan đến HPV, bao gồm: Ung thư dương vật, hậu môn, âm hộ, âm đạo, miệng và cổ họng. Vắc xin HPV hiệu quả nhất khi tiêm lúc còn trẻ, trước khi quan hệ tình dục.

Hạn chế tiếp xúc với tia cực tím (UV)

Tia cực tím là một yếu tố nguy cơ quan trọng, tránh tiếp xúc với tác nhân này cũng góp phần ngừa ung thư môi và ung thư da. Hạn chế ra ngoài buổi trưa, khi tia UV có cường độ mạnh nhất, đội mũ rộng vành, sử dụng kem chống nắng và son dưỡng môi có chỉ số chống nắng (SPF) từ 30 để phòng ngừa ung thư khoang miệng.

Duy trì cân nặng và mô hình ăn uống hợp lý

Dinh dưỡng kém và khối lượng cơ thể dư thừa có liên quan đến ung thư khoang miệng và hầu họng. Ăn uống lành mạnh với nhiều thực phẩm có nguồn gốc thực vật như rau và trái cây đồng thời hạn chế hoặc tránh thịt đỏ và thịt chế biến sẵn, đồ uống có đường… giúp giảm nguy cơ mắc ung thư khoang miệng và nhiều loại ung thư khác.

Kiểm tra răng miệng định kỳ

Các khu vực của bạch sản niêm (mảng trắng bám chắc trên màng nhầy) hoặc hồng sản (những đốm đỏ tươi trong miệng) đều là những khu vực tăng trưởng tiền ung thư trong miệng, đôi khi trở thành ung thư. Bác sĩ thường loại bỏ các khu vực này, đặc biệt khi kết quả sinh thiết cho thấy các khu vực này chứa loạn sản (tăng trưởng bất thường).

Việc loại bỏ các khu vực trên không phải lúc nào cũng phòng ngừa được ung thư khoang miệng. Kể cả khi các khu vực này được loại bỏ hoàn toàn, bạn vẫn có nguy cơ mắc ung thư ở một số khu vực khác của miệng. Mỗi người nên đến bệnh viện để tầm soát thường xuyên, phát hiện sớm các nguy cơ.

Nếu răng giả, bạn nên chọn răng vừa với cung hàm, tránh lắp răng giả không vừa vặn, có thể tăng nguy cơ ung thư khoang miệng.

Đọc nhiều nhất

Tin mới

Công ty HĐCONS và chuỗi 11 gói thầu tại USSH [Kỳ 2]

Công ty HĐCONS và chuỗi 11 gói thầu tại USSH [Kỳ 2]

Chỉ tính riêng tại Trường Đại học Khoa học Xã hội và Nhân văn, ĐHQG-HCM (USSH), Công ty HĐCONS đã trúng thầu tuyệt đối 11 gói thầu với tổng giá trị hơn 4,3 tỷ đồng, đa số qua hình thức chỉ định thầu sát giá dự toán.