Đau lưỡi, loét miệng… cẩn thận ung thư

Đau lưỡi, loét miệng… cẩn thận ung thư

Nhiều người chủ quan với những vết loét nhẹ trong miệng hay đánh răng thấy đau lưỡi, cho rằng triệu chứng bình thường mà không biết đó có thể là dấu hiệu của ung thư khoang miệng.
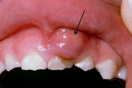
Tưởng sưng miệng do xương đâm nào ngờ ung thư

Tưởng sưng miệng do xương đâm nào ngờ ung thư

(khoahocdoisong.vn) - Hầu hết người bị bệnh ung thư khoang miệng không có cảm giác đau ở giai đoạn sớm. Biểu hiện ban đầu của bệnh chỉ là các điểm có màu trắng hoặc đỏ trong miệng hoặc trên môi, hay có một điểm sưng tấy hoặc nổi một u ở bất kỳ 1 điểm nào trong miệng...
Những lưu ý cơ bản phòng ngừa ung thư khoang miệng

Những lưu ý cơ bản phòng ngừa ung thư khoang miệng

Ung thư khoang miệng là bệnh lý ác tính có thể xuất hiện ở bất kỳ vị trí nào trong khoang miệng như lợi, lưỡi, môi, má, vòm việng, sàn miệng... Bệnh thường phát hiện khi đã ở giai đoạn muộn, nên việc điều trị trở nên khó khăn, tốn kém mà hiệu quả không cao.
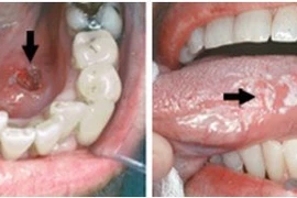
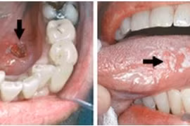
Vết loét cảnh báo ung thư khoang miệng

Vết loét cảnh báo ung thư khoang miệng

Ung thư khoang miệng là tổn thương ác tính xuất hiện tại vùng khoang miệng bao gồm lưỡi, lợi hàm dưới, niêm mạc má, sàn miệng, lợi hàm trên, khẩu cái và môi.
Ung thư khoang miệng di căn rất sớm

Ung thư khoang miệng di căn rất sớm

Trong ung thư khoang miệng việc phát hiện bệnh sớm và điều trị sớm thì khả năng chữa khỏi bệnh và thời gian sống sau điều trị càng cao. Tuy nhiên nếu phát hiện muộn, tiên lượng rất xấu do ung thư di căn sớm….