Virus Nipah bùng phát: Nguy hiểm hơn "tử thần" SARS-CoV-2?

Virus Nipah bùng phát: Nguy hiểm hơn "tử thần" SARS-CoV-2?

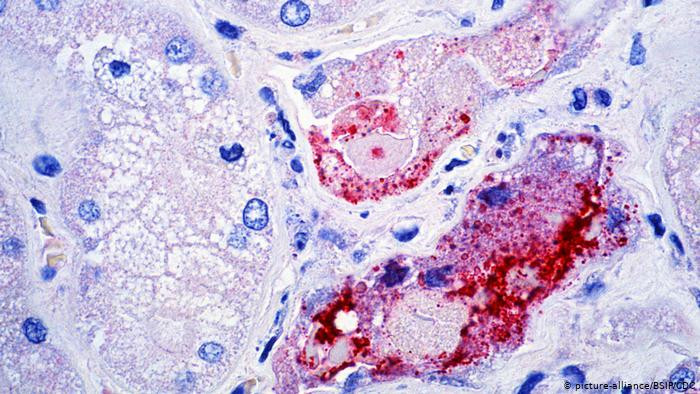
Trong bối cảnh đại dịch COVID-19 đang có diễn biến phức tạp, bang Kerala, Ấn Độ đang phải đối mặt với sự lây lan của virus Nipah. Người nhiễm virus Nipah có tỷ lệ tử vong đến 75% và được cho nguy hiểm hơn nhiều so với virus SARS-CoV-2.

Giới chức bang Kerala, miền nam Ấn Độ hiện chạy đua với thời gian để kiểm soát ổ dịch do virus Nipah gây ra. Ổ dịch này bùng phát sau khi cơ quan chức năng ghi nhận một bé trai 12 tuổi tử vong ngày 5/9 - chỉ vài ngày sau khi được phát hiện nhiễm virus Nipah.
Giới chức bang Kerala, miền nam Ấn Độ hiện chạy đua với thời gian để kiểm soát ổ dịch do virus Nipah gây ra. Ổ dịch này bùng phát sau khi cơ quan chức năng ghi nhận một bé trai 12 tuổi tử vong ngày 5/9 - chỉ vài ngày sau khi được phát hiện nhiễm virus Nipah.
Ngày hôm sau, giới chức bang Kerala xác nhận 11 người khác cũng có triệu chứng nhiễm virus Nipah, bao gồm cả mẹ của bé trai trên. Chính vì vây, nhà chức trách tăng cường truy vết, xác định, cách ly và xét nghiệm những người đã tiếp xúc với nạn nhân. Tính đến ngày 6/9, các quan chức năng xác định được 188 người tiếp xúc với bé trai.
Ngày hôm sau, giới chức bang Kerala xác nhận 11 người khác cũng có triệu chứng nhiễm virus Nipah, bao gồm cả mẹ của bé trai trên. Chính vì vây, nhà chức trách tăng cường truy vết, xác định, cách ly và xét nghiệm những người đã tiếp xúc với nạn nhân. Tính đến ngày 6/9, các quan chức năng xác định được 188 người tiếp xúc với bé trai.
20 người trong số này chủ yếu là thành viên trong gia đình bé trai tử vong thuộc diện nguy cơ cao nên được cách ly nghiêm ngặt hoặc phải nhập viện.
20 người trong số này chủ yếu là thành viên trong gia đình bé trai tử vong thuộc diện nguy cơ cao nên được cách ly nghiêm ngặt hoặc phải nhập viện.
Theo các chuyên gia, virus Nipah không liên quan đến SARS-CoV-2. Thế nhưng, Nipah có thời gian ủ bệnh lâu và chưa có thuốc đặc trị. Cụ thể, virus Nipah được phát hiện lần đầu tiên ở Malaysia vào năm 1990. Ở Ấn Độ, những người đầu tiên nhiễm virus Nipah được ghi nhân ở Siliguri, Tây Bengal vào năm 2001. Khi ấy, 45 người tử vong sau khi nhiễm virus Nipah.
Theo các chuyên gia, virus Nipah không liên quan đến SARS-CoV-2. Thế nhưng, Nipah có thời gian ủ bệnh lâu và chưa có thuốc đặc trị. Cụ thể, virus Nipah được phát hiện lần đầu tiên ở Malaysia vào năm 1990. Ở Ấn Độ, những người đầu tiên nhiễm virus Nipah được ghi nhân ở Siliguri, Tây Bengal vào năm 2001. Khi ấy, 45 người tử vong sau khi nhiễm virus Nipah.
Đây là lần thứ hai trong vòng ba năm qua bang Kerala ghi nhận có người nhiễm virus Nipah. Đây là một loại virus lây truyền từ động vật sang người. Người bệnh bị nhiễm virus khi tiếp xúc trực tiếp với động vật hoặc tiêu thụ thực phẩm bị nhiễm virus. Tuy vậy, nhiều trường hợp virus Nipah lây từ người sang người cũng đã được ghi nhận.
Đây là lần thứ hai trong vòng ba năm qua bang Kerala ghi nhận có người nhiễm virus Nipah. Đây là một loại virus lây truyền từ động vật sang người. Người bệnh bị nhiễm virus khi tiếp xúc trực tiếp với động vật hoặc tiêu thụ thực phẩm bị nhiễm virus. Tuy vậy, nhiều trường hợp virus Nipah lây từ người sang người cũng đã được ghi nhận.
Loài dơi ăn quả thuộc họ Pteropodidae (thường được gọi là dơi quạ) là loài mang virus Nipah. Chúng có thể truyền virus cho các động vật khác như lợn, chó, mèo, dê, ngựa và cừu.
Loài dơi ăn quả thuộc họ Pteropodidae (thường được gọi là dơi quạ) là loài mang virus Nipah. Chúng có thể truyền virus cho các động vật khác như lợn, chó, mèo, dê, ngựa và cừu.
Người nhiễm virus Nipah thường có các triệu chứng như: sốt và đau đầu trong khoảng từ 3 ngày đến 2 tuần. Sau đó, bệnh nhân có thể bị ho, đau họng và gặp các vấn đề về hô hấp.
Người nhiễm virus Nipah thường có các triệu chứng như: sốt và đau đầu trong khoảng từ 3 ngày đến 2 tuần. Sau đó, bệnh nhân có thể bị ho, đau họng và gặp các vấn đề về hô hấp.
Sau đó, bệnh nhân có thể xuất hiện những triệu chứng nặng như: phù não, gây buồn ngủ, lú lẫn, hôn mê và tử vong. Hiện vẫn chưa có thuốc chữa hay vắc xin điều trị cho người nhiễm virus Nipah.
Sau đó, bệnh nhân có thể xuất hiện những triệu chứng nặng như: phù não, gây buồn ngủ, lú lẫn, hôn mê và tử vong. Hiện vẫn chưa có thuốc chữa hay vắc xin điều trị cho người nhiễm virus Nipah.
Theo nghiên cứu của Tổ chức Y tế Thế giới (WHO), virus Nipah gây tử vong đến 75%. Trong khi đó, tỷ lệ tử vong của người nhiễm virus SARS-CoV-2 được cho là khoảng 2%.
Theo nghiên cứu của Tổ chức Y tế Thế giới (WHO), virus Nipah gây tử vong đến 75%. Trong khi đó, tỷ lệ tử vong của người nhiễm virus SARS-CoV-2 được cho là khoảng 2%.
Dù có tỷ lệ tử vong cao nhưng virus Nipah có tốc độ lây lan thấp hơn virus SARS-CoV-2. Khoảng 20% những người sống sót sau khi nhiễm virus Nipah có các triệu chứng thần kinh kéo dài như co giật và thay đổi tính cách. Vì vậy, cơ quan chức năng khuyến cáo người dân không nên ăn trái cây rơi trên mặt đất và tránh tiếp xúc với dơi ăn quả, động vật đi lạc hay người bị nhiễm virus Nipah.
Dù có tỷ lệ tử vong cao nhưng virus Nipah có tốc độ lây lan thấp hơn virus SARS-CoV-2. Khoảng 20% những người sống sót sau khi nhiễm virus Nipah có các triệu chứng thần kinh kéo dài như co giật và thay đổi tính cách. Vì vậy, cơ quan chức năng khuyến cáo người dân không nên ăn trái cây rơi trên mặt đất và tránh tiếp xúc với dơi ăn quả, động vật đi lạc hay người bị nhiễm virus Nipah.
Mời độc giả xem video: Đảm bảo an toàn khi tiêm vắc xin phòng COVID-19. Nguồn: VTV4.

GALLERY MỚI NHẤT

MacBook Air M2 16GB 2026, món hời khó tin

MacBook Air M2 16GB 2026, món hời khó tin

Trong kỷ nguyên AI bùng nổ, MacBook Air M2 RAM 16GB nổi lên như lựa chọn “đáng tiền” nhờ hiệu năng ổn định, thiết kế mỏng nhẹ và giá bán ngày càng dễ tiếp cận.