Xuất hiện đột ngột trong bệnh viện vẫn có thể tử vong
Thuyên tắc động mạch phổi là cấp cứu nội khoa tim mạch nguy hiểm với các bệnh cảnh lâm sàng đa dạng, tỷ lệ tử vong cao lên đến 30% nếu không phát hiện sớm và điều trị kịp thời.
Nhiều trường hợp đột ngột khó thở, đau ngực được chẩn đoán thuyên tắc động mạch phổi khi đang nằm viện điều trị bệnh lý khác. Trong tuần qua, Bệnh viện Đa khoa tỉnh Quảng Ninh liên tiếp cấp cứu các trường hợp như vậy.
Điển hình là bệnh nhân N.T.S (83 tuổi) ở phường Hồng Gai, TP. Hạ Long có tiền sử bệnh tăng huyết áp, phổi tắc nghẽn mạn tính (COPD), đái tháo đường. Điều trị đợt cấp COPD ngày thứ 4 tại khoa Hô hấp và Bệnh nghề nghiệp, người bệnh đột ngột sốc, suy hô hấp.
Các bác sĩ siêu âm tim đánh giá tại chỗ nghi ngờ thuyên tắc động mạch phổi cấp, bệnh nhân tiếp tục được chụp cắt lớp vi tính dựng hình mạch phổi phát hiện tình trạng tắc động mạch phổi. Bệnh nhân lập tức được chuyên khoa Hồi sức tích cực để hồi sức hô hấp thở máy, dùng thuốc vận mạch và chỉ định tái tưới máu bằng thuốc tiêu sợi huyết. Sau hồi sức và dùng thuốc, tình trạng sốc cải thiện dần, rút nội khí quản sau 3 ngày, huyết áp ổn định và được dừng các thuốc vận mạch.
Đến nay, sức khỏe bệnh nhân tiến triển tích cực, hết đau tức ngực, các chỉ số ổn định, tiếp tục theo dõi tại khoa Hô hấp và phối hợp sử dụng thuốc chống đông duy trì.
Ngồi trên giường bệnh, người bệnh S. chia sẻ: “Gia đình cứ nghĩ lúc đấy khó thở được là do bệnh COPD của tôi, chẳng ai ngờ đâu phổi lại bị tình trạng tắc mạch nặng nề như vậy. Bác sĩ trao đổi là bệnh này có thể bị bất cứ khi nào, may mắn tôi được phát hiện khi nằm viện và được cấp cứu kịp thời. Thật cảm ơn các y bác sĩ đã cứu chữa cho tôi hồi phục như bây giờ”.
![]() |
| Bác sĩ khoa Hồi sức tích cực thăm khám cho bệnh nhân S. bị thuyên tắc động mạch phổi. - Ảnh BVCC |
Một trường hợp khác phát hiện tình trạng thuyên tắc động mạch phổi cấp khi đang điều trị phục hồi chức năng liệt hai chi dưới do viêm tủy cắt ngang tại Bệnh viện Lão khoa – Phục hồi chức năng là ông L.V.Đ (69 tuổi). Trong quá trình điều trị, bệnh nhân đột ngột tức ngực, khó thở.
Nghi ngờ tình trạng thuyên tắc phổi cấp, bệnh nhân được chụp cắt lớp vi tính chẩn đoán huyết khối động mạch phổi hai bên và lập tức chuyển Bệnh viện Đa khoa tỉnh Quảng Ninh.
Người bệnh được điều trị tích cực theo phác đồ, sức khỏe sau đó cải thiện dần, tri giác phục hồi tốt. Bệnh nhân đã được chuyển khoa Tim mạch để tiếp tục theo dõi điều trị.
Thuyên tắc phổi cấp là tình trạng tắc mạch máu trong phổi do huyết khối. Các triệu chứng lâm sàng của thuyên tắc phổi rất đa dạng và hầu hết đều không đặc hiệu, dễ bỏ sót, có thể xuất hiện ở rất nhiều bệnh cảnh khác nhau như ở bệnh nhân phẫu thuật, có tình trạng hạn chế vận động (gãy xương chi dưới, nằm điều trị hồi sức, cao tuổi…), bệnh lý ác tính, người bệnh có tiền sử huyết khối tĩnh mạch, bệnh nhân có bệnh lý tim mạch,…
Đây là cấp cứu nội khoa nặng nề, khởi phát đột ngột, tỷ lệ tử vong có thể lên đến 30%, vì vậy công tác chẩn đoán ban đầu đòi hỏi sự nhanh nhạy và chính xác để đưa ra hướng điều trị đúng đắn, kịp thời nhất.
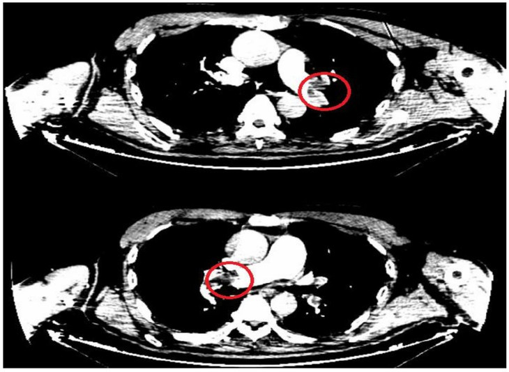
![]() |
| Hình ảnh huyết khối động mạch phổi cả 2 bên của bệnh nhân. - Ảnh BVCC |
Chẩn đoán sớm có ý nghĩa cải thiện tiên lượng bệnh
BSCKI Lê Quang Khương, Phó khoa Hồi sức tích cực, Bệnh viện Đa khoa tỉnh Quảng Ninh, cho biết: “Khoa Hồi sức tích cực gần đây liên tục tiếp nhận các trường hợp cấp cứu thuyên tắc động mạch phổi cấp khi người bệnh điều trị tại bệnh viện ở các bệnh cảnh khác nhau.
Hai trường hợp chúng tôi điều trị vừa qua xảy ra rất đột ngột, nặng nề với tình trạng huyết khối mạch phổi một hoặc hai bên trên nền bệnh nhân có yếu tố nguy cơ. Các trường hợp này đều được nơi điều trị ban đầu phát hiện sớm, chính xác và chuyển khoa Hồi sức tích cực điều trị tiêu sợi huyết kịp thời, vì vậy người bệnh hồi phục tốt, di chứng tối thiểu.
Chẩn đoán sớm thuyên tắc động mạch phổi có ý nghĩa lớn trong cải thiện tiên lượng bệnh, dù đây là việc không hề dễ dàng do triệu chứng có thể nhầm lẫn với các tình trạng bệnh lý khác”.
Để điều trị hiệu quả và tránh tái phát thuyên tắc phổi, người bệnh cần đạt được chẩn đoán đúng bệnh, điều trị đúng thuốc, sử dụng thuốc đúng liều và đủ thời gian.
Tại Bệnh viện Đa khoa tỉnh Quảng Ninh đã xử trí thành công nhiều ca thuyên tắc động mạch phổi cấp nguy kịch, khẳng định năng lực nhận diện và xử trí một căn bệnh đầy thách thức. Khả năng nhận diện sớm các dấu hiệu lâm sàng và ứng dụng các kỹ thuật chẩn đoán hiện đại đã giúp các bác sĩ có đánh giá đúng, từ đó đưa ra phương án điều trị tối ưu cho người bệnh.
Ngoài cấp cứu điều trị, dự phòng thuyên tắc động mạch phổi cũng là một điều quan trọng. Điều này đòi hỏi sự kết hợp giữa y tế và nâng cao nhận thức cộng đồng. Hiện nhận thức về căn bệnh này còn hạn chế, nhiều người vẫn chủ quan trì hoãn thăm khám khi gặp các triệu chứng như: đau ngực, khó thở, hoặc mệt mỏi kéo dài… Điều này khiến việc phát hiện bệnh càng trở nên khó khăn, gây áp lực lớn cho đội ngũ y bác sĩ khi phải xử lý các ca bệnh nặng hơn.
Các bác sĩ khuyến cáo, mỗi người cần cảnh giác với các dấu hiệu bất thường của cơ thể, đặc biệt là nhóm có nguy cơ cao như người cao tuổi, người vừa trải qua phẫu thuật lớn, hoặc mắc bệnh lý mãn tính. Việc tuân thủ lối sống lành mạnh, tăng cường vận động thể chất và thường xuyên kiểm tra sức khỏe định kỳ sẽ giúp giảm nguy cơ mắc bệnh.

