Phương pháp hữu hiệu giúp chẩn đoán ung thư miệng

Phương pháp hữu hiệu giúp chẩn đoán ung thư miệng

(Kiến Thức) - Chỉ mất vài phút chụp X - quang, nội soi hay chụp cắt lớp vi tính, bạn có thể chẩn đoán ung thư miệng một cách dễ dàng.

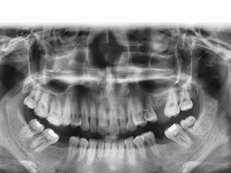
Chụp X- quang là phương pháp cho phép tạo ra các hình ảnh cấu trúc bên trong cơ thể khi sử dụng lượng nhỏ chất phóng xạ. Nếu người bệnh xuất hiện khối u bất thường, hình ảnh X – quang sẽ cho phép xác định vị trí, kích thước khối u. Một trong những lợi thế nữa của chụp X – quang là nó cho phép bạn mở rộng phạm vi kiểm tra ra các vùng như ngực, phổi, tuyến giáp… Rất nhiều trường hợp tình cờ phát hiện khối u khi chụp X – quang.
Chụp X- quang là phương pháp cho phép tạo ra các hình ảnh cấu trúc bên trong cơ thể khi sử dụng lượng nhỏ chất phóng xạ. Nếu người bệnh xuất hiện khối u bất thường, hình ảnh X – quang sẽ cho phép xác định vị trí, kích thước khối u. Một trong những lợi thế nữa của chụp X – quang là nó cho phép bạn mở rộng phạm vi kiểm tra ra các vùng như ngực, phổi, tuyến giáp… Rất nhiều trường hợp tình cờ phát hiện khối u khi chụp X – quang.
Chụp cắt lớp vi tính (CT scan): Về cơ bản, chụp cắt lớp vi tính cũng là một dạng chụp X - quang. Máy chụp được thiết kế chạy vòng quanh cơ thể bệnh nhân, phát tia X và đo độ dội lại chúng từ các tế bào. Máy được kết nối với một hệ thống máy tính và cho ra những hình ảnh hai hoặc ba chiều. Từ đó, bác sĩ sẽ phát hiện dấu hiệu bất thường ở miệng và toàn bộ cơ thể.
Chụp cắt lớp vi tính (CT scan): Về cơ bản, chụp cắt lớp vi tính cũng là một dạng chụp X - quang. Máy chụp được thiết kế chạy vòng quanh cơ thể bệnh nhân, phát tia X và đo độ dội lại chúng từ các tế bào. Máy được kết nối với một hệ thống máy tính và cho ra những hình ảnh hai hoặc ba chiều. Từ đó, bác sĩ sẽ phát hiện dấu hiệu bất thường ở miệng và toàn bộ cơ thể.
Chụp cộng hưởng từ (MRI) là cách sử dụng từ trường để tạo ra hình ảnh ba chiều ở khu vực miệng. Những hình ảnh này được hiển thị trên giao diện máy tính, giúp người xem có thể nhìn được mặt cắt ngang ở dấu hiệu bất thường hoặc các khối u. Sự khác nhau cơ bản giữa chụp cộng hưởng từ và chụp X – quang là năng lượng dùng trong chụp X - quang là năng lượng phóng xạ tia X còn trong chụp cộng hưởng từ là năng lượng vô tuyến điện.
Chụp cộng hưởng từ (MRI) là cách sử dụng từ trường để tạo ra hình ảnh ba chiều ở khu vực miệng. Những hình ảnh này được hiển thị trên giao diện máy tính, giúp người xem có thể nhìn được mặt cắt ngang ở dấu hiệu bất thường hoặc các khối u. Sự khác nhau cơ bản giữa chụp cộng hưởng từ và chụp X – quang là năng lượng dùng trong chụp X - quang là năng lượng phóng xạ tia X còn trong chụp cộng hưởng từ là năng lượng vô tuyến điện.
Nội soi. Khi lựa chọn phương pháp này, bác sĩ sẽ đưa ống nội soi qua đường mũi hoặc miệng của bệnh nhân. Quá trình thực hiện có thể khiến bệnh nhân có cảm giác đau đớn nên ở một số trường hợp bác sĩ buộc phải gây tê, gây mê hoặc sử dụng thuốc an thần để giúp họ dễ dàng vượt qua. Quy trình nội soi không quá phức tạp nên bạn có thể thực hiện ở phòng khám răng tư nhân hay một bệnh viện nhỏ.
Nội soi. Khi lựa chọn phương pháp này, bác sĩ sẽ đưa ống nội soi qua đường mũi hoặc miệng của bệnh nhân. Quá trình thực hiện có thể khiến bệnh nhân có cảm giác đau đớn nên ở một số trường hợp bác sĩ buộc phải gây tê, gây mê hoặc sử dụng thuốc an thần để giúp họ dễ dàng vượt qua. Quy trình nội soi không quá phức tạp nên bạn có thể thực hiện ở phòng khám răng tư nhân hay một bệnh viện nhỏ.
Quét PET là một cách tạo ra hình ảnh ở miệng và các mô trong cơ thể. Một lượng nhỏ chất phóng xạ sẽ được tiêm cho bệnh nhân. Những chất này dễ dàng được hấp thu bởi các tế bào ung thư và làm chúng trở nên sáng hơn so với những tế bào bình thường (nghiên cứu cho thấy, tế bào ung thư có xu hướng sử dụng nhiều năng lượng hơn các tế bào thông thường. Điều này lý giải tại sao nó lại “ăn” nhiều chất phóng xạ như vậy). Ưu điểm của quét PET là nó giúp bác sĩ có thể xác định ung thư đã di căn đến những bộ phận nào để tiến hành điều trị kịp thời, không để sót.
Quét PET là một cách tạo ra hình ảnh ở miệng và các mô trong cơ thể. Một lượng nhỏ chất phóng xạ sẽ được tiêm cho bệnh nhân. Những chất này dễ dàng được hấp thu bởi các tế bào ung thư và làm chúng trở nên sáng hơn so với những tế bào bình thường (nghiên cứu cho thấy, tế bào ung thư có xu hướng sử dụng nhiều năng lượng hơn các tế bào thông thường. Điều này lý giải tại sao nó lại “ăn” nhiều chất phóng xạ như vậy). Ưu điểm của quét PET là nó giúp bác sĩ có thể xác định ung thư đã di căn đến những bộ phận nào để tiến hành điều trị kịp thời, không để sót.
cancer.gov

GALLERY MỚI NHẤT