Nóng: Giải mã thành công xác ướp bé trai chôn cách đây 400 năm

Nóng: Giải mã thành công xác ướp bé trai chôn cách đây 400 năm

Những bí ẩn xung quanh xác ướp của một đứa bé đã được giải đáp sau 4 thế kỷ kể từ khi cậu qua đời nhờ vào phương pháp "khám nghiệm tử thi ảo" do các nhà khoa học vừa thực hiện gần đây.

 Xác ướp bé trai 1 tuổi này được tìm thấy ở thành phố Hellmonsödt (Áo) trong một chiếc quan tài bằng gỗ được chôn cất bên trong hầm mộ dành cho các Bá tước dòng họ Starhemberg - một trong những gia đình quý tộc lâu đời nhất ở Đức.
Xác ướp bé trai 1 tuổi này được tìm thấy ở thành phố Hellmonsödt (Áo) trong một chiếc quan tài bằng gỗ được chôn cất bên trong hầm mộ dành cho các Bá tước dòng họ Starhemberg - một trong những gia đình quý tộc lâu đời nhất ở Đức.
House of Starhemberg là tên của một gia đình quý tộc lâu đời và nổi tiếng có nguồn gốc từ Thượng Áo, cụ thể là Steyr và Steinbach. Họ là Bá tước của Đế chế từ năm 1643, và được nâng lên hàng hoàng tộc vào năm 1765. Các thành viên của gia đình đóng vai trò chính trị quan trọng trong Đế chế La Mã Thần thánh và sau đó là Đế chế Áo-Hung.
House of Starhemberg là tên của một gia đình quý tộc lâu đời và nổi tiếng có nguồn gốc từ Thượng Áo, cụ thể là Steyr và Steinbach. Họ là Bá tước của Đế chế từ năm 1643, và được nâng lên hàng hoàng tộc vào năm 1765. Các thành viên của gia đình đóng vai trò chính trị quan trọng trong Đế chế La Mã Thần thánh và sau đó là Đế chế Áo-Hung.
Các thành viên đáng chú ý bao gồm Bá tước Ernst Rüdiger von Starhemberg (1638-1701), người từng là chính trị gia, thống chế thực địa và chỉ huy phòng thủ thành phố Vienna chống lại người Thổ năm 1683. Erasmus of Starhemberg (1503-1560) là một quý tộc Áo và là ông nội vĩ đại, vĩ đại của Reichard Wilhelm.
Các thành viên đáng chú ý bao gồm Bá tước Ernst Rüdiger von Starhemberg (1638-1701), người từng là chính trị gia, thống chế thực địa và chỉ huy phòng thủ thành phố Vienna chống lại người Thổ năm 1683. Erasmus of Starhemberg (1503-1560) là một quý tộc Áo và là ông nội vĩ đại, vĩ đại của Reichard Wilhelm.
Bá tước Starhemberg là một trong những gia đình quý tộc lâu đời nhất ở Áo, và hầm mộ của họ nằm gần nơi ở của họ tại Lâu đài Wildberg ở làng Hellmonsödt. Hầm mộ chứa nhiều thành viên trong gia đình, tất cả đều được chôn cất trong quan tài kim loại được trang trí cầu kỳ, ngoại trừ một đứa trẻ sơ sinh duy nhất có quan tài bằng gỗ và không dấu.
Bá tước Starhemberg là một trong những gia đình quý tộc lâu đời nhất ở Áo, và hầm mộ của họ nằm gần nơi ở của họ tại Lâu đài Wildberg ở làng Hellmonsödt. Hầm mộ chứa nhiều thành viên trong gia đình, tất cả đều được chôn cất trong quan tài kim loại được trang trí cầu kỳ, ngoại trừ một đứa trẻ sơ sinh duy nhất có quan tài bằng gỗ và không dấu.
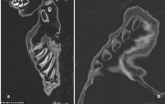
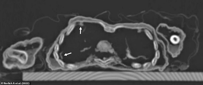
Các nhà nghiên cứu từ Phòng thí nghiệm Munich-Bogenhausen của Đức xác định rằng, cậu bé có khả năng mang tên là Reichard Wilhelm và đã chết vào năm 1625 hoặc 1626, cách đây khoảng 4 thế kỷ. Cơ thể của cậu bé được bảo quản khá tốt bằng phương pháp ướp xác. Điều này cho phép các nhà nghiên cứu có thể phân tích mô mềm của xác ướp bằng cách sử dụng máy quét CT.
Các nhà nghiên cứu từ Phòng thí nghiệm Munich-Bogenhausen của Đức xác định rằng, cậu bé có khả năng mang tên là Reichard Wilhelm và đã chết vào năm 1625 hoặc 1626, cách đây khoảng 4 thế kỷ. Cơ thể của cậu bé được bảo quản khá tốt bằng phương pháp ướp xác. Điều này cho phép các nhà nghiên cứu có thể phân tích mô mềm của xác ướp bằng cách sử dụng máy quét CT.
Bên cạnh đó, việc xác định niên đại bằng cacbon phóng xạ đã giúp nhóm các nhà khoa học xác định chính xác thời điểm em bé này khi còn sống.
Bên cạnh đó, việc xác định niên đại bằng cacbon phóng xạ đã giúp nhóm các nhà khoa học xác định chính xác thời điểm em bé này khi còn sống.
"Theo dữ liệu phân tích mà chúng tôi thu thập được, đây có thể là đứa con trai đầu lòng của cặp vợ chồng quý tộc, vì vậy mà bé đã được áp dụng chế độ chôn cất đặc biệt như thế này", Tiến sĩ Andreas Nerlich, tác giả chính của nghiên cứu cho biết.
"Theo dữ liệu phân tích mà chúng tôi thu thập được, đây có thể là đứa con trai đầu lòng của cặp vợ chồng quý tộc, vì vậy mà bé đã được áp dụng chế độ chôn cất đặc biệt như thế này", Tiến sĩ Andreas Nerlich, tác giả chính của nghiên cứu cho biết.
Các nhà khoa học cũng đã nghiên cứu răng cũng như đo xương của đứa trẻ. Kết quả cho thấy em bé này từ 12 - 18 tháng tuổi khi qua đời. Cậu bé có mái tóc đen và thừa cân so với tuổi của mình, cho thấy cậu đã được ăn uống và chăm sóc đầy đủ.
Các nhà khoa học cũng đã nghiên cứu răng cũng như đo xương của đứa trẻ. Kết quả cho thấy em bé này từ 12 - 18 tháng tuổi khi qua đời. Cậu bé có mái tóc đen và thừa cân so với tuổi của mình, cho thấy cậu đã được ăn uống và chăm sóc đầy đủ.
Tuy nhiên, kết quả chụp CT thể hiện xương sườn của cậu bị biến dạng, dấu hiệu của căn bệnh chuyển hóa xương (Metabolic Bone Disease - MBD) thường được thấy trong các trường hợp mắc bệnh còi xương nghiêm trọng. Hình ảnh chụp cắt lớp cũng cho thấy tình trạng đặc trưng của bệnh viêm phổi.
Tuy nhiên, kết quả chụp CT thể hiện xương sườn của cậu bị biến dạng, dấu hiệu của căn bệnh chuyển hóa xương (Metabolic Bone Disease - MBD) thường được thấy trong các trường hợp mắc bệnh còi xương nghiêm trọng. Hình ảnh chụp cắt lớp cũng cho thấy tình trạng đặc trưng của bệnh viêm phổi.
Đối với các nhà nghiên cứu, điều này cho thấy rằng mặc dù đứa trẻ mới biết đi đã được cho ăn đủ để tăng cân nhưng vẫn bị suy dinh dưỡng, hậu quả của việc bị giữ trong nhà không cho tiếp xúc với ánh nắng mặt trời khiến cơ thể cậu bé bị thiếu vitamin D.
Đối với các nhà nghiên cứu, điều này cho thấy rằng mặc dù đứa trẻ mới biết đi đã được cho ăn đủ để tăng cân nhưng vẫn bị suy dinh dưỡng, hậu quả của việc bị giữ trong nhà không cho tiếp xúc với ánh nắng mặt trời khiến cơ thể cậu bé bị thiếu vitamin D.
Với những bằng chứng thu thập được, nhóm nghiên cứu kết luận rằng, cậu bé đã chết vì bệnh viêm phổi cũng như cơ thể thiếu hụt những nguồn dinh dưỡng cần thiết.
Với những bằng chứng thu thập được, nhóm nghiên cứu kết luận rằng, cậu bé đã chết vì bệnh viêm phổi cũng như cơ thể thiếu hụt những nguồn dinh dưỡng cần thiết.
Điều này là có cơ sở bởi vào thế kỷ 17, các gia đình thuộc tầng lớp thượng lưu thường tránh ánh sáng mặt trời bởi họ cho rằng, sở hữu làn da xanh xao được xem là điều đáng mơ ước, và là dấu hiệu của sự giàu có. Chỉ những người dân lao động mới có làn da săn chắc rám nắng do phải làm lụng vất vả dưới ánh nắng mặt trời.
Điều này là có cơ sở bởi vào thế kỷ 17, các gia đình thuộc tầng lớp thượng lưu thường tránh ánh sáng mặt trời bởi họ cho rằng, sở hữu làn da xanh xao được xem là điều đáng mơ ước, và là dấu hiệu của sự giàu có. Chỉ những người dân lao động mới có làn da săn chắc rám nắng do phải làm lụng vất vả dưới ánh nắng mặt trời.
>>>Xem thêm video: Ai Cập phát hiện thêm kho báu cổ đại với hơn 100 quan tài chứa xác ướp 2.500 năm (Nguồn: VTV24).

GALLERY MỚI NHẤT

Hàng nghìn người hưởng ứng “Hành động Xanh - Chọn tương lai Xanh”

Hàng nghìn người hưởng ứng “Hành động Xanh - Chọn tương lai Xanh”

Sáng 4/4, hàng nghìn người dân và thanh niên trên khắp cả nước cùng tham gia hoạt động dọn dẹp vệ sinh khu phố và thu gom đồ dùng cũ, hưởng ứng lời kêu gọi “Hành động Xanh - Chọn tương lai Xanh” do Quỹ Vì Tương lai xanh do Tập đoàn Vingroup phát động. Đây là một trong những hoạt động tiêu biểu mở màn cho chuỗi chiến dịch “Thứ 4 Ngày Xanh” được Quỹ triển khai xuyên suốt năm 2026 với thông điệp “Hành động Xanh - Chọn tương lai Xanh”.