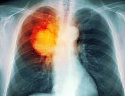
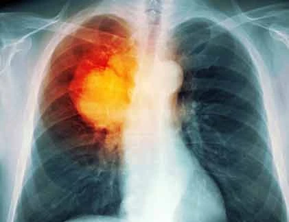
• Ho không dứt
• Đau ngực, đặc biệt là khi hơi thở sâu
• Thở khò khè hoặc khó thở
• Ho ra đờm có máu
• Mệt mỏi

Toyota đang chuẩn bị trình làng Fortuner mới vào cuối năm 2026 hoặc đầu 2027, điểm đáng chú ý nhất nằm ở việc mẫu SUV này có thể được trang bị động cơ hybrid.
Điều hòa không vệ sinh định kỳ có thể trở thành “ổ vi khuẩn” phát tán nấm mốc, bụi mịn và tác nhân gây bệnh trực tiếp vào không khí phòng ngủ.
Tharina Botes - bạn cùng phòng của Hương Giang ở MGI All Stars 2026 sở hữu nhan sắc quyến rũ cùng học vấn và sự nghiệp kinh doanh nổi bật.
Từ khoang trực thăng ở độ cao lớn, các chiến sĩ đặc công lần lượt lao mình xuống không trung, thực hành bài huấn luyện đổ bộ đường không.
Nhã Phương, Sĩ Thanh, Diệu Nhi cùng các thành viên khác trong nhóm thường xuyên du lịch, tập luyện và đồng hành trong cuộc sống lẫn công việc.
Mẫu siêu xe độc nhất vô nhị mới nhất của Ferrari là HC25, kết hợp các yếu tố thiết kế từ F80 và 12Cilindri trên nền tảng của chiếc F8 Spider đã bị khai tử.
Chỉ duy nhất 1 chiếc Triumph Speed Twin 1200 Cafe Racer có mặt tại Việt Nam với giá đắt đỏ tới hơn 700 triệu, xe chỉ được sản xuất 800 chiếc trên toàn cầu.
Startup Aheadform của Trung Quốc vừa tạo ra khuôn mặt robot siêu thực giống người đến mức gây rùng mình, khiến phim “Ex Machina” như bước ra đời thật.
Đăng quang ngôi vị cao nhất khi 16 tuổi, Hà Kiều Anh đến nay vẫn giữ kỷ lục là hoa hậu trẻ nhất lịch sử cuộc thi. Sau hơn 3 thập kỷ, cuộc sống của cô ra sao?
SVĐ Lincoln Financial Field với sức chứa gần 70.000 chỗ ngồi đã sẵn sàng biến thành sân khấu bùng nổ, đăng cai 6 trận đấu đỉnh cao tại World Cup 2026.
Một tiệm bánh tại Mỹ gây tranh cãi dữ dội khi dùng AI chỉnh ảnh quảng cáo quá mức, khiến khách hàng nổi giận và đồng loạt đánh giá 1 sao.
Volkswagen đã công bố ID. Era 5S, một mẫu sedan công nghệ cao mới tại Trung Quốc. Đây là mẫu sedan đầu tiên của hãng có khả năng lái bán tự động trong đô thị.
GGoogglebook sẽ là một lựa chọn thay thế Chromebook cao cấp với hệ điều hành hoàn toàn mới, kết hợp Android và ChromeOS với phần cứng cao cấp hơn.
Loại vũ khí không thuốc súng này ngày càng được các nước quan tâm trong tình hình các loại UAV càng được dùng nhiều trong chiến tranh hiện đại.
Mẫu xe máy số phổ thông Yamaha Finn 2026 mới có diện mạo cao cấp, trang bị hiện đại và nhiều tiện ích, dù giá xe rất dễ tiếp cận, thuộc phân khúc bình dân.
Audi Việt Nam đã chính thức giới thiệu mẫu xe sedan S6 Sportback e-tron mới. Xe được phân phối chính hãng từ tháng 5/2026 với giá khởi điểm từ 4,199 tỷ đồng.
Mẫu coupe ý tưởng Vision Alpina thừa hưởng những nét đặc trưng từ quá khứ của BMW kèm động cơ V8, hé lộ hình ảnh chiếc xe sản xuất hàng loạt vào năm 2027.
Nhiều người nghĩ bật chế độ quay khiến quạt “ngốn điện” hơn, nhưng sự thật lại nằm ở tốc độ gió và cách sử dụng trong mùa nóng.
Xem tử vi hàng ngày, tử vi 12 con giáp hôm nay cho thấy tuổi Thân có sự nghiệp nổi bật với thành tích vượt trội và dự án kinh doanh bắt đầu mang về lợi nhuận.
Lăng Bác, Bảo tàng Hồ Chí Minh, quảng trường Ba Đình... là những “địa chỉ đỏ” lưu dấu hình ảnh Chủ tịch Hồ Chí Minh được nhiều người ghé thăm trong tháng 5.
Dự án hồ điều hòa Mễ Trì đang ở giai đoạn thi công cao điểm. Công trình này được kỳ vọng sẽ giải quyết "rốn ngập" cho khu vực phía Tây Hà Nội mùa mưa 2026.