Sau quá trình ăn khoảng 15 phút, trên bề mặt răng sẽ hình thành một lớp màng vô khuẩn.
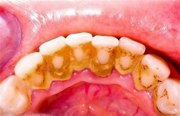
Qua thời gian ngắn, vi khuẩn tích tụ ngày càng dày lên và hình thành mảng bám. Bàn chải hoặc chỉ nha khoa có thể giúp loại bỏ những mảng bám này. Nhưng khi tồn tại lâu, mảng bám vôi hoá bởi hợp chất muối vô cơ trong nước bọt và nhiều yếu tố khác khiến chúng trở nên cứng hơn, bám chặt vào bề mặt răng hoặc dưới lợi.
Lúc này, mảng bám đã tiến triển thành cao răng (vôi răng) và chúng rất khó để loại bỏ.
Qua thời gian ngắn, vi khuẩn tích tụ ngày càng dày lên và hình thành mảng bám. Bàn chải hoặc chỉ nha khoa có thể giúp loại bỏ những mảng bám này. Nhưng khi tồn tại lâu, mảng bám vôi hoá bởi hợp chất muối vô cơ trong nước bọt và nhiều yếu tố khác khiến chúng trở nên cứng hơn, bám chặt vào bề mặt răng hoặc dưới lợi.
Lúc này, mảng bám đã tiến triển thành cao răng (vôi răng) và chúng rất khó để loại bỏ.
![]() |
| Ảnh minh họa. Nguồn ảnh: Internet |
Cao răng đa phần hình thành bởi các thói quen chăm sóc răng miệng sai cách:
Không biết cách chải răng đúng cách, không chải răng sau khi ăn và trước khi đi ngủ hoặc không làm sạch được hoàn toàn bề mặt răng, để sót mảng bám.
Không dùng chỉ nha khoa hoặc tăm làm sạch răng, tạo điều kiện cho vi khuẩn phát triển trong các kẽ răng.
Thường xuyên sử dụng các loại đường hóa học có trong thành phần của các sản phẩm như nước ngọt có gas, bánh kẹo.. .
Mẹo làm sạch cao răng
Mùi tây
Chuẩn bị:
Một nắm lá mùi tây (20 g)
Một thìa nước (10ml)
Thực hiện:
Rửa sạch và thái nhỏ lá mùi tây.
Trộn mùi tây với nước để tạo thành hỗn hợp sệt.
Thoa hỗn hợp lên răng và để yên trong khoảng 5 phút.
Rửa sạch miệng với nước ấm.
Hạt mè
Ít ai nghĩ rằng hạt mè có thể giúp loại sạch cao răng. rất lý tưởng để loại bỏ bụi bẩn tích tụ trên răng. Trên thực tế, loại hạt này có thể hoạt động như một chất tẩy rửa răng cơ học.
Bạn chỉ cần nhai một nắm hạt mè, sau đó đánh răng mà không cần dùng kem đánh răng, với hạt vẫn còn lưu trong miệng. Sau 5 phút, súc miệng và loại bỏ hạt khỏi miệng.
Tẩy cao răng bằng muối
Muối có thể phá vỡ liên kết của mảng bám răng. Đồng thời, nó còn giúp gia tăng độ PH trong khoang miệng để từ đó ức chế sự phát triển của vi khuẩn trong khoang miệng.
Cách thực hiện:
Cho 1 thìa cafe muối trắng vào 500ml nước sạch
Khuấy đến khi muối tan hoàn toàn
Ngậm và súc miệng hỗn hợp trên trong 5 phút
Vệ sinh lại với nước sạch và kem đánh răng
Tẩy cao răng bằng bột nở (baking Soda)
Baking soda hay còn còn gọi là bột nở có tính kiềm yếu có thể phản ứng trực tiếp với các chất trên mảng bám có răng, khiến chúng mềm và lòng lẻo hơn, từ đó dễ tẩy đi khỏi thân răng.
Bạn có thể sử dụng kết hợp với một số thành phần khác như muối, giấm, chanh.. để đạt hiệu quả tối đa. Hoặc, bạn có thể làm theo cách đơn giản sau:
Làm ướt bàn chải
Sử dụng một chút baking soda để đánh răng
Tráng miệng và dùng kem đánh răng
