Cận cảnh sự tàn phá khủng khiếp của ung thư miệng

Cận cảnh sự tàn phá khủng khiếp của ung thư miệng

(Kiến Thức) - Ung thư miệng là loại u ác tính có thể xuất hiện ở bất kỳ vị trí nào như lợi, lưỡi, môi, má… Đặc biệt, người già thường có nguy cơ mắc bệnh cao hơn cả.

Cụ già trong ảnh được chẩn đoán mắc ung thư biểu mô tế bào vảy khu vực môi khiến việc ăn uống trở nên khó khăn hơn rất nhiều. Nguyên nhân gây bệnh là do bà thường xuyên tiếp xúc với ánh nắng mặt trời.
Cụ già trong ảnh được chẩn đoán mắc ung thư biểu mô tế bào vảy khu vực môi khiến việc ăn uống trở nên khó khăn hơn rất nhiều. Nguyên nhân gây bệnh là do bà thường xuyên tiếp xúc với ánh nắng mặt trời.
Khoang miệng của người đàn ông 64 tuổi cũng được chẩn đoán mắc ung thư biểu mô tế bào vảy. Song nguyên nhân chủ yếu là do thói quen thường xuyên hút thuốc lá.
Khoang miệng của người đàn ông 64 tuổi cũng được chẩn đoán mắc ung thư biểu mô tế bào vảy. Song nguyên nhân chủ yếu là do thói quen thường xuyên hút thuốc lá.
Hình ảnh cận cảnh ghi lại khối u ung thư Verrucous ở người phụ nữ 59 tuổi. Khối u không gây đau xuất hiện ngay cạnh một chiếc răng ở hàm dưới.
Hình ảnh cận cảnh ghi lại khối u ung thư Verrucous ở người phụ nữ 59 tuổi. Khối u không gây đau xuất hiện ngay cạnh một chiếc răng ở hàm dưới.
Còn đây là khoang miệng người phụ nữ 31 tuổi vừa được chẩn đoán mắc ung thư. Răng cùng một số mô xung quanh chuyển sang màu đen và có dấu hiệu di căn khá mạnh sang các tế bào khác.
Còn đây là khoang miệng người phụ nữ 31 tuổi vừa được chẩn đoán mắc ung thư. Răng cùng một số mô xung quanh chuyển sang màu đen và có dấu hiệu di căn khá mạnh sang các tế bào khác.
Bệnh nhân là một người 64 tuổi. Ông phải chịu đựng sự nhức nhối dai dẳng khi vết loét ở nướu ngày càng lan rộng.
Bệnh nhân là một người 64 tuổi. Ông phải chịu đựng sự nhức nhối dai dẳng khi vết loét ở nướu ngày càng lan rộng.
Người bệnh trong tấm hình được chẩn đoán bị nhiễm nấm (histoplasmosis), anh ta có một vết loét ở nướu và nó cũng có xu hướng ngày càng lan rộng.
Người bệnh trong tấm hình được chẩn đoán bị nhiễm nấm (histoplasmosis), anh ta có một vết loét ở nướu và nó cũng có xu hướng ngày càng lan rộng.
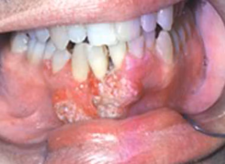
Còn đây là trường hợp của một bệnh nhân 55 tuổi, phần nướu bị tấn công bởi những khối u sần nhỏ, nó mở rộng phạm vi nhanh chóng, đặc biệt là khu vực môi dưới.
Còn đây là trường hợp của một bệnh nhân 55 tuổi, phần nướu bị tấn công bởi những khối u sần nhỏ, nó mở rộng phạm vi nhanh chóng, đặc biệt là khu vực môi dưới.
Nghiêm trọng hơn, người đàn ông này bị mắc ung thư biểu mô tế bào vảy dạng nhú. Khối u có màu trắng, gây lở loét. Nguyên nhân chính của căn bệnh cũng bắt nguồn từ thói quen hút thuốc lá.
Nghiêm trọng hơn, người đàn ông này bị mắc ung thư biểu mô tế bào vảy dạng nhú. Khối u có màu trắng, gây lở loét. Nguyên nhân chính của căn bệnh cũng bắt nguồn từ thói quen hút thuốc lá.
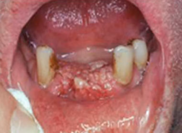
Răng chuyển màu và phần lợi bị lở loét là hậu quả của việc lạm dụng thuốc lá và rượu bia của một bệnh nhân ở tuổi 78. Bên cạnh việc chịu sự phiền toái từ khối u, hơi thở của bà cũng rất khó chịu khiến mọi người tỏ ra ngại ngần mỗi khi tiếp xúc.
Răng chuyển màu và phần lợi bị lở loét là hậu quả của việc lạm dụng thuốc lá và rượu bia của một bệnh nhân ở tuổi 78. Bên cạnh việc chịu sự phiền toái từ khối u, hơi thở của bà cũng rất khó chịu khiến mọi người tỏ ra ngại ngần mỗi khi tiếp xúc.
oralcancerfoundation.org

GALLERY MỚI NHẤT