Cận cảnh bệnh tật tàn phá cơ thể dữ dội

Cận cảnh bệnh tật tàn phá cơ thể dữ dội

(Kiến Thức) - Các bác sỹ và các nhà nghiên cứu đã ghi lại một số hình ảnh của các tai nạn và bệnh tật cho thấy nó tàn phá cơ thể thế nào.

 Khối u não hình chiếc răng trong não bộ trong não em bé 4 tháng tuổi. Khối u này đã phát triển thành chiếc răng hoàn chỉnh. Sau khi phân tích các mô khối u, các bác sĩ xác định đứa trẻ có khối u craniopharyngioma hiếm gặp mà có thể phát triển lớn hơn một quả bóng golf. Được biết, em bé đang phát triển tốt. Tuy nhiên, do Craniopharyngiomas là khối u của tuyến yên - tuyến trong não chịu trách nhiệm kích thích các hóc môn quan trọng nên chúng thường gây ra các vấn đề nội tiết tố.
Khối u não hình chiếc răng trong não bộ trong não em bé 4 tháng tuổi. Khối u này đã phát triển thành chiếc răng hoàn chỉnh. Sau khi phân tích các mô khối u, các bác sĩ xác định đứa trẻ có khối u craniopharyngioma hiếm gặp mà có thể phát triển lớn hơn một quả bóng golf. Được biết, em bé đang phát triển tốt. Tuy nhiên, do Craniopharyngiomas là khối u của tuyến yên - tuyến trong não chịu trách nhiệm kích thích các hóc môn quan trọng nên chúng thường gây ra các vấn đề nội tiết tố.
Ung thư da hắc tố. Một người đàn ông Trung Quốc (45 tuổi) đã mắc phải căn bệnh ung thư da hắc tố nhưng điều kỳ lạ là nó lại nằm ở lợi. Các bác sĩ chẩn đoán, đây là một khối u ác tính loại hiếm thường xảy ra ở da. Khối u màu đen có diện tích bao trùm hầu như toàn bộ phần lợi trên của người đàn ông này. Bệnh nhân không hề cảm thấy đau đớn khi lợi chuyển dần sang màu đen. Khi sức khỏe ngày càng trầm trọng, đi khám, ông mới biết mình loại ung thư hiếm gặp.
Ung thư da hắc tố. Một người đàn ông Trung Quốc (45 tuổi) đã mắc phải căn bệnh ung thư da hắc tố nhưng điều kỳ lạ là nó lại nằm ở lợi. Các bác sĩ chẩn đoán, đây là một khối u ác tính loại hiếm thường xảy ra ở da. Khối u màu đen có diện tích bao trùm hầu như toàn bộ phần lợi trên của người đàn ông này. Bệnh nhân không hề cảm thấy đau đớn khi lợi chuyển dần sang màu đen. Khi sức khỏe ngày càng trầm trọng, đi khám, ông mới biết mình loại ung thư hiếm gặp.
Hình ảnh này được chụp lại trên da của người đàn ông 66 tuổi tại Anh. Sau khi làm xét nghiệm sinh thiết, ông được chẩn đoán mắc tình trạng mụn mủ da liễu subcorneal. Tình trạng này gây ra do tác dụng phụ của thuốc.
Hình ảnh này được chụp lại trên da của người đàn ông 66 tuổi tại Anh. Sau khi làm xét nghiệm sinh thiết, ông được chẩn đoán mắc tình trạng mụn mủ da liễu subcorneal. Tình trạng này gây ra do tác dụng phụ của thuốc.
Mụn lông ở nhãn cầu. Bức ảnh cho thấy một chiếc mụn cóc trên giác mạc của nam thanh niên 19 tuổi. Khối u to lên dần dần trong nhãn cầu một bên mắt chàng trai trẻ cho tới khi đạt đường kính khoảng 5mm và bắt đầu mọc vài sợi lông đen. Khối u này ảnh hưởng nặng đến tầm nhìn của anh là 20/60. Tuy rằng đã phẫu thuật để loại bỏ mụn lông, nhưng tầm nhìn vẫn không được cải thiện.
Mụn lông ở nhãn cầu. Bức ảnh cho thấy một chiếc mụn cóc trên giác mạc của nam thanh niên 19 tuổi. Khối u to lên dần dần trong nhãn cầu một bên mắt chàng trai trẻ cho tới khi đạt đường kính khoảng 5mm và bắt đầu mọc vài sợi lông đen. Khối u này ảnh hưởng nặng đến tầm nhìn của anh là 20/60. Tuy rằng đã phẫu thuật để loại bỏ mụn lông, nhưng tầm nhìn vẫn không được cải thiện.
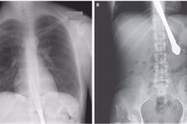
Anh Andrew Linn 28 tuổi tại Las Vegas Andrew, đã gặp phải vụ tai nạn có một không hai khi đang lái xe trong tình trạng buồn ngủ. Linn đã lao xe ra khỏi hướng đang lưu thông trước khi đâm phải hàng rào bằng kim loại. Các nhân viên cứu hộ đã phải cắt ống kim loại để đưa tài xế ra khỏi xe và chuyển khẩn cấp tới bệnh viện. Đội ngũ y tế tại đã có thể loại bỏ ống kim loại mà không gây hại đến động mạch cảnh và tĩnh mạch cổ.
Anh Andrew Linn 28 tuổi tại Las Vegas Andrew, đã gặp phải vụ tai nạn có một không hai khi đang lái xe trong tình trạng buồn ngủ. Linn đã lao xe ra khỏi hướng đang lưu thông trước khi đâm phải hàng rào bằng kim loại. Các nhân viên cứu hộ đã phải cắt ống kim loại để đưa tài xế ra khỏi xe và chuyển khẩn cấp tới bệnh viện. Đội ngũ y tế tại đã có thể loại bỏ ống kim loại mà không gây hại đến động mạch cảnh và tĩnh mạch cổ.
Đục thủy tinh thể hình ngôi sao. Một người đàn ông ở Áo đã bị đục thủy tinh thể có hình dạng giống như một ngôi 5 cánh sau khi tai nạn va chạm. Khi nhãn cầu hứng chịu tác động, năng lượng của cú va chạm sẽ gây nên xung chấn và tạo nên vết đục trong thủy tinh thể. Trong phần lớn trường hợp, vết đục nhân mắt có hình dạng vô định, với màu trắng hoặc vàng tuy nhiên, tạo hóa đã tạo ra một vết đục nhân đẹp trong nhãn cầu của ông ấy.
Đục thủy tinh thể hình ngôi sao. Một người đàn ông ở Áo đã bị đục thủy tinh thể có hình dạng giống như một ngôi 5 cánh sau khi tai nạn va chạm. Khi nhãn cầu hứng chịu tác động, năng lượng của cú va chạm sẽ gây nên xung chấn và tạo nên vết đục trong thủy tinh thể. Trong phần lớn trường hợp, vết đục nhân mắt có hình dạng vô định, với màu trắng hoặc vàng tuy nhiên, tạo hóa đã tạo ra một vết đục nhân đẹp trong nhãn cầu của ông ấy.
Khi các bác sĩ kiểm tra phim chụp X-quang hai đầu gối của một cụ bà 65 tuổi người Hàn Quốc do bị đau khớp nghiêm trọng, họ phát hiện một "mỏ vàng” là hàng trăm chiếc kim châm cứu tí hon bằng vàng, bị bỏ lại trong mô của bà. Trong quá trình châm cứu cho cụ, các thầy thuốc y học cổ truyền đã cố tình để lại những chiếc kim làm bằng vàng găm trong mô của bà để tiếp tục tạo ra sự kích thích. Tuy nhiên, bác sỹ cho biết, các vật thể lạ bị bỏ lại bên trong cơ thể có thể dẫn tới tình trạng viêm, áp xe và nhiễm trùng. Chúng cũng có thể gây khó khăn cho bác sĩ đọc phim X-quang.
Khi các bác sĩ kiểm tra phim chụp X-quang hai đầu gối của một cụ bà 65 tuổi người Hàn Quốc do bị đau khớp nghiêm trọng, họ phát hiện một "mỏ vàng” là hàng trăm chiếc kim châm cứu tí hon bằng vàng, bị bỏ lại trong mô của bà. Trong quá trình châm cứu cho cụ, các thầy thuốc y học cổ truyền đã cố tình để lại những chiếc kim làm bằng vàng găm trong mô của bà để tiếp tục tạo ra sự kích thích. Tuy nhiên, bác sỹ cho biết, các vật thể lạ bị bỏ lại bên trong cơ thể có thể dẫn tới tình trạng viêm, áp xe và nhiễm trùng. Chúng cũng có thể gây khó khăn cho bác sĩ đọc phim X-quang.
Cậu bé 12 tuổi Chia Jun sống tại Trung Quốc, tranh thủ giờ ra chơi đã chạy ra căng tin của trường mua 1 hộp mỳ ăn liền. Không may, chiếc xe máy điện của 1 phụ huynh trong lớp đi trên sân trường đã lao đến đâm ngã cậu bé làm đôi đũa chọc thẳng vào họng của Chia. các ảnh chụp X-quang cho thấy, đôi đũa tuy xuyên thủng sâu vào cổ họng cậu bé nhưng lại không gây ra nguy hiểm gì đến tính mạng của Chia Jun.
Cậu bé 12 tuổi Chia Jun sống tại Trung Quốc, tranh thủ giờ ra chơi đã chạy ra căng tin của trường mua 1 hộp mỳ ăn liền. Không may, chiếc xe máy điện của 1 phụ huynh trong lớp đi trên sân trường đã lao đến đâm ngã cậu bé làm đôi đũa chọc thẳng vào họng của Chia. các ảnh chụp X-quang cho thấy, đôi đũa tuy xuyên thủng sâu vào cổ họng cậu bé nhưng lại không gây ra nguy hiểm gì đến tính mạng của Chia Jun.
Anh Ou, đến từ Vũ Hán thuộc tỉnh Hồ Bắc của nước này đã tự làm rách toạc một lỗ ở phổi khi đang ngáp. Được đưa vào cấp cứu tại Bệnh viện trung ương Vũ Hán khi cơn đau trở nên mãnh liệt tới mức anh không thể thở nổi. Các bác sĩ phát hiện, anh Ou đã bị tràn khí màng phổi tự phát, hiện tượng xảy ra khi không khí bị mắc kẹt gần một lá phổi.
Anh Ou, đến từ Vũ Hán thuộc tỉnh Hồ Bắc của nước này đã tự làm rách toạc một lỗ ở phổi khi đang ngáp. Được đưa vào cấp cứu tại Bệnh viện trung ương Vũ Hán khi cơn đau trở nên mãnh liệt tới mức anh không thể thở nổi. Các bác sĩ phát hiện, anh Ou đã bị tràn khí màng phổi tự phát, hiện tượng xảy ra khi không khí bị mắc kẹt gần một lá phổi.
http://www.livescience.com/36881-amazing-medical-images-xrays.html

GALLERY MỚI NHẤT