10 căn bệnh ung thư do virus gây ra

10 căn bệnh ung thư do virus gây ra

(Kiến Thức) - Ung thư gan, ung thư cổ tử cung, ung thư hạch bạch huyết...là những căn bệnh do virus gây ra.

Ung thư cổ họng và virus HPV. Đây là loại virus gây nhiễm trùng cấp vùng họng, miệng và có thể dẫn đến ung thư vòm họng. Epstein-Barr có mặt ở mọi nơi trên trái đất và trong cơ thể của 97% số người trưởng thành. Đường truyền chủ yếu của virus này là nước bọt. Nam diễn viên gạo cội Michael Douglas là một trong những người mắc bệnh này do oral sex.
Ung thư cổ họng và virus HPV. Đây là loại virus gây nhiễm trùng cấp vùng họng, miệng và có thể dẫn đến ung thư vòm họng. Epstein-Barr có mặt ở mọi nơi trên trái đất và trong cơ thể của 97% số người trưởng thành. Đường truyền chủ yếu của virus này là nước bọt. Nam diễn viên gạo cội Michael Douglas là một trong những người mắc bệnh này do oral sex.
Ung thư gan và virus viêm gan C. Ở Nhật Bản, virus viêm gan C gây ung thư gan ở 75% số người mắc bệnh. Phần lớn các bệnh nhân bị viêm gan siêu vi C sẽ phát triển thành xơ gan, sau đó là ung thư gan. Thời gian trung bình của người mắc viêm gan C phát triển thành ung thư gan là khoảng 28 năm. Sau 8 – 10 năm mắc xơ gan, bệnh cũng có nguy cơ chuyển thành ung thư gan.
Ung thư gan và virus viêm gan C. Ở Nhật Bản, virus viêm gan C gây ung thư gan ở 75% số người mắc bệnh. Phần lớn các bệnh nhân bị viêm gan siêu vi C sẽ phát triển thành xơ gan, sau đó là ung thư gan. Thời gian trung bình của người mắc viêm gan C phát triển thành ung thư gan là khoảng 28 năm. Sau 8 – 10 năm mắc xơ gan, bệnh cũng có nguy cơ chuyển thành ung thư gan.
Virus EBV VÀ ung thư lympho Burkitt (u lympho ác tính) xảy ra ở trẻ em Châu Phi cao gấp 40 lần trẻ em ở Mỹ.
Virus EBV VÀ ung thư lympho Burkitt (u lympho ác tính) xảy ra ở trẻ em Châu Phi cao gấp 40 lần trẻ em ở Mỹ.
Ung thư âm đạo do virus HPV gây ra. Virus gây mụn cóc sinh dục cũng có liên quan đến ung thư âm đạo, nhưng ở mức độ thấp hơn, bởi ung thư âm đạo là một trong những căn bệnh tương đối hiếm gặp.
Ung thư âm đạo do virus HPV gây ra. Virus gây mụn cóc sinh dục cũng có liên quan đến ung thư âm đạo, nhưng ở mức độ thấp hơn, bởi ung thư âm đạo là một trong những căn bệnh tương đối hiếm gặp.
Virus Epstein - Barr (EBV) liên quan đến ung thư biểu mô mũi họng. Đây là một trong những căn bệnh ung thư hiếm gặp, ung thư biểu mô mũi họng ảnh hưởng đến phẩn trên của cổ họng, sau mũi.
Virus Epstein - Barr (EBV) liên quan đến ung thư biểu mô mũi họng. Đây là một trong những căn bệnh ung thư hiếm gặp, ung thư biểu mô mũi họng ảnh hưởng đến phẩn trên của cổ họng, sau mũi.
Ung thư Kaposi sarcoma và virus HIV. Ung thư Kaposi sarcoma là một khối u ác tính, thường xuất hiện trên da. Nó phát triển trong các mạch bạch huyết mạng lưới vận chuyển của hệ miễn dịch. Bệnh thường thấy ở những người nhiễm HIV hoặc được cấy ghép cơ quan nội tạng. Do đó, nó làm hệ miễn dịch suy yếu.
Ung thư Kaposi sarcoma và virus HIV. Ung thư Kaposi sarcoma là một khối u ác tính, thường xuất hiện trên da. Nó phát triển trong các mạch bạch huyết mạng lưới vận chuyển của hệ miễn dịch. Bệnh thường thấy ở những người nhiễm HIV hoặc được cấy ghép cơ quan nội tạng. Do đó, nó làm hệ miễn dịch suy yếu.
Ung thư hạch bạch huyết và virus EBV. Người bị ung thư hạch bạch huyết, các virus sẽ phá vỡ khả năng hoạt động của tế bào bạch huyết. Khoảng ½ số người mắc căn bệnh này là do virus EBV.
Ung thư hạch bạch huyết và virus EBV. Người bị ung thư hạch bạch huyết, các virus sẽ phá vỡ khả năng hoạt động của tế bào bạch huyết. Khoảng ½ số người mắc căn bệnh này là do virus EBV.
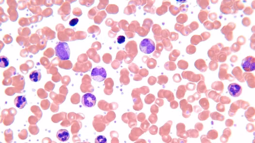
Virus HTLV-1 gây ung thư bạch cầu lympho ác tính. Đây là một loại ung thư máu có ảnh hưởng đến các tế bào bạch cầu chưa trưởng thành từ tủy xương. Nhiều chứng cứ cho rằng HTLV-1 có thể gây bệnh bạch cầu cấp.
Virus HTLV-1 gây ung thư bạch cầu lympho ác tính. Đây là một loại ung thư máu có ảnh hưởng đến các tế bào bạch cầu chưa trưởng thành từ tủy xương. Nhiều chứng cứ cho rằng HTLV-1 có thể gây bệnh bạch cầu cấp.
Virus HPV gây ung thư hậu môn. Cho tới nay thì nguyên nhân chính xác gây ra ung thu hậu môn vẫn chưa được xác định. Ngoài yếu tố nguy cơ ung thư nói chung, như hút thuốc và tiêu thụ rượu, thì còn có một số yếu tố khác làm tăng nguy cơ phát triển ung thư hậu môn. HPV và mụn rộp là những yếu tố nguy cơ quan trọng. Hầu hết nam giới phát triển ung thư hậu môn ở độ tuổi ngoài 50, tuy nhiên nếu đồng thời mắc cả HIV thì sẽ làm tăng cơ hội cho ung thư phát triển sớm hơn.
Virus HPV gây ung thư hậu môn. Cho tới nay thì nguyên nhân chính xác gây ra ung thu hậu môn vẫn chưa được xác định. Ngoài yếu tố nguy cơ ung thư nói chung, như hút thuốc và tiêu thụ rượu, thì còn có một số yếu tố khác làm tăng nguy cơ phát triển ung thư hậu môn. HPV và mụn rộp là những yếu tố nguy cơ quan trọng. Hầu hết nam giới phát triển ung thư hậu môn ở độ tuổi ngoài 50, tuy nhiên nếu đồng thời mắc cả HIV thì sẽ làm tăng cơ hội cho ung thư phát triển sớm hơn.
Virus HPV gây ung thư cổ tử cung. Nhiều người nghĩ ung thư chẳng liên quan gì đến bệnh truyền nhiễm; điều đó không đúng với ung thư cổ tử cung. Virus gây u nhú vùng sinh dục - HPV - có thể dẫn đến bệnh này. Vì vậy, quan hệ tình dục không an toàn đồng nghĩa với việc truyền nguy cơ ung thư cho người khác.
Virus HPV gây ung thư cổ tử cung. Nhiều người nghĩ ung thư chẳng liên quan gì đến bệnh truyền nhiễm; điều đó không đúng với ung thư cổ tử cung. Virus gây u nhú vùng sinh dục - HPV - có thể dẫn đến bệnh này. Vì vậy, quan hệ tình dục không an toàn đồng nghĩa với việc truyền nguy cơ ung thư cho người khác.

GALLERY MỚI NHẤT