Xâm phạm xác ướp “tiên nữ băng”, lời nguyền liên tiếp ứng nghiệm?

Xâm phạm xác ướp “tiên nữ băng”, lời nguyền liên tiếp ứng nghiệm?

Cơ thể xác ướp được bao phủ bởi các hình xăm tinh xảo mô tả cả sinh vật thần thoại lẫn loài vật hùng mạnh.

 Xác ướp "Tiên nữ băng Siberia" (hay "Công chúa Ukok") là một phát hiện khảo cổ quan trọng vào năm 1993 tại dãy núi Altai, Nga. (Ảnh: Dân việt)
Xác ướp "Tiên nữ băng Siberia" (hay "Công chúa Ukok") là một phát hiện khảo cổ quan trọng vào năm 1993 tại dãy núi Altai, Nga. (Ảnh: Dân việt)
Cô gái này sống vào thế kỷ thứ 5 sau Công nguyên, được cho là người có địa vị cao trong xã hội Pazyryk, thể hiện qua nghi thức chôn cất và các hiện vật được tìm thấy.(Ảnh: IBTimes UK)
Cô gái này sống vào thế kỷ thứ 5 sau Công nguyên, được cho là người có địa vị cao trong xã hội Pazyryk, thể hiện qua nghi thức chôn cất và các hiện vật được tìm thấy.(Ảnh: IBTimes UK)
Ngôi mộ chứa một quan tài bằng gỗ thông, hai chiếc bàn nhỏ với thịt ngựa, cừu, sữa chua, cùng sáu con ngựa bị hiến tế, tất cả đều quay đầu về hướng Đông.(Ảnh: Orange Traveler)
Ngôi mộ chứa một quan tài bằng gỗ thông, hai chiếc bàn nhỏ với thịt ngựa, cừu, sữa chua, cùng sáu con ngựa bị hiến tế, tất cả đều quay đầu về hướng Đông.(Ảnh: Orange Traveler)
Những hình xăm trên cơ thể xác ướp bao gồm hoa lạ, báo, sư tử, cừu và sinh vật thần thoại, cho thấy tín ngưỡng hoặc vị trí đặc biệt của cô trong xã hội.(Ảnh: Dân việt)
Những hình xăm trên cơ thể xác ướp bao gồm hoa lạ, báo, sư tử, cừu và sinh vật thần thoại, cho thấy tín ngưỡng hoặc vị trí đặc biệt của cô trong xã hội.(Ảnh: Dân việt)
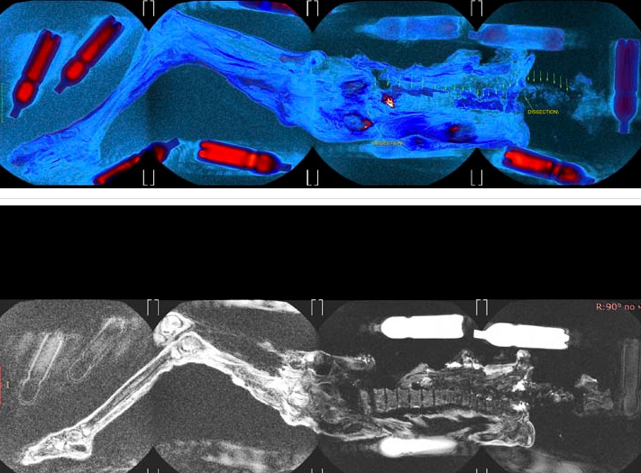
Kết quả chụp MRI cho thấy cô mắc ung thư vú giai đoạn cuối và viêm tủy xương, có thể là nguyên nhân chính dẫn đến cái chết khi mới 20-30 tuổi.(Ảnh: Dân việt)
Kết quả chụp MRI cho thấy cô mắc ung thư vú giai đoạn cuối và viêm tủy xương, có thể là nguyên nhân chính dẫn đến cái chết khi mới 20-30 tuổi.(Ảnh: Dân việt)
Xuất thân của "Tiên nữ băng" gây tranh cãi, ban đầu được cho là công chúa nhưng sau đó nhiều bằng chứng cho thấy cô có thể là một pháp sư hoặc thầy cúng.(Ảnh: Daily Mail)
Xuất thân của "Tiên nữ băng" gây tranh cãi, ban đầu được cho là công chúa nhưng sau đó nhiều bằng chứng cho thấy cô có thể là một pháp sư hoặc thầy cúng.(Ảnh: Daily Mail)
Xét nghiệm DNA xác nhận cô thuộc nền văn hóa Pazyryk, tuy nhiên, người Altai tin rằng cô là tổ tiên của họ và yêu cầu trả lại xác ướp để chôn cất. (Ảnh: Cornell University)
Xét nghiệm DNA xác nhận cô thuộc nền văn hóa Pazyryk, tuy nhiên, người Altai tin rằng cô là tổ tiên của họ và yêu cầu trả lại xác ướp để chôn cất. (Ảnh: Cornell University)
Một số người cho rằng việc khai quật ngôi mộ đã gây ra thiên tai, trong đó có trận động đất 7,3 độ richter năm 2003 gây thiệt hại lớn cho vùng Altai.(Ảnh: Daily Mail)
Một số người cho rằng việc khai quật ngôi mộ đã gây ra thiên tai, trong đó có trận động đất 7,3 độ richter năm 2003 gây thiệt hại lớn cho vùng Altai.(Ảnh: Daily Mail)
Mời quý độc giả xem thêm video: “Mở” xác ướp 3.000 năm của Pharaoh Ai Cập: Dung mạo thật "gây sốc" và những bí mật động trời.

GALLERY MỚI NHẤT

Cận cảnh công trình hồ điều hòa Cự Khối gần 1.000 tỷ ở Long Biên

Cận cảnh công trình hồ điều hòa Cự Khối gần 1.000 tỷ ở Long Biên

Dự án mương Việt Hưng - Cầu Bây và hồ điều hòa Cự Khối tại phường Long Biên đang được tăng tốc thi công với nhiều hạng mục đạt tiến độ tích cực. Khi hoàn thành, công trình sẽ góp phần giảm úng ngập, nâng cao năng lực tiêu thoát nước và cải thiện cảnh quan khu vực phía Đông Hà Nội.