Một bác sĩ người Mỹ đã phát minh ra bài kiểm tra, chỉ cần động tác đơn giản là gập ngón tay cái lại... từ đó có thể biết được nguy cơ sưng, phình động mạch chủ.
Các chuyên gia cảnh báo DEHP có khả năng kích hoạt phản ứng viêm mạn tính trong động mạch, làm tổn thương mạch máu theo thời gian, dẫn đến tăng nguy cơ đau tim, đột quỵ.
Chế độ ăn uống đóng vai trò quan trọng trong việc duy trì sức khỏe và phòng ngừa bệnh tật. Dưới đây là một số thực phẩm tự nhiên tốt cho nữ giới, giúp phái nữ duy trì vẻ đẹp, năng lượng và sức khỏe lâu dài.
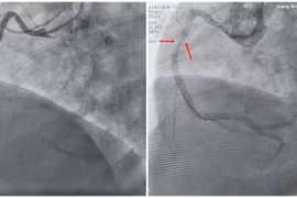
Dò động mạch vành là một tình trạng bất thường trong hệ thống mạch máu tim khiến lượng máu cung cấp cho cơ tim bị giảm, gây ra những triệu chứng như khó thở, đau tức ngực.
Được làm bằng gạo nếp, đỗ xanh, thịt lợn, bánh chưng là món ăn rất giàu chất dinh dưỡng và dễ ăn. Tuy nhiên, không phải ai cũng có thể ăn thoải mái món ăn này.
Tình trạng đau nhức cơ thể có thể xảy ra do nhiều nguyên nhân khác nhau: nhiễm trùng, bệnh tật hoặc một số loại thuốc nhất định... Xác định được nguyên nhân chính xác gây đau để có biện pháp kiểm soát và điều trị bệnh hiệu quả.
Người mắc bệnh tim, đặc biệt là người đang uống thuốc kháng đông, thuốc kháng tiểu cầu không được tự ý uống các loại thuốc khác mà không có ý kiến của bác sỹ, nhất là thuốc kháng viêm, giảm đau.
Trong lúc đưa con đi khám tại Bệnh viện Nhi đồng Cần Thơ, người phụ nữ 26 tuổi cảm thấy mệt và nhập viện trong tình trạng nguy kịch, khó thở, loạn nhịp thất có biến chứng ngưng tim 10 phút...