Sự thật cực bất ngờ về việc con người tìm ra tia X

Sự thật cực bất ngờ về việc con người tìm ra tia X

Việc Rontgen tìm ra tia X xảy đến rất tình cờ ở phòng thí nghiệm Wurzburg. Khi đó, ông đang kiểm tra xem liệu tia cathode (tia âm cực) có thể đi xuyên qua kính hay không...

Vào ngày 8/10/1895, nhà vật lý người Đức Wilhelm Conrad Rontgen (1845-1923) đã tìm ra tia X. Đây là một trọng một những phát hiện quan trọng nhất trong lịch sử nền khoa học của nhân loại.
Vào ngày 8/10/1895, nhà vật lý người Đức Wilhelm Conrad Rontgen (1845-1923) đã tìm ra tia X. Đây là một trọng một những phát hiện quan trọng nhất trong lịch sử nền khoa học của nhân loại.
Phát hiện của Rontgen xảy đến rất tình cờ ở phòng thí nghiệm Wurzburg. Khi đó, ông đang kiểm tra xem liệu tia cathode (tia âm cực) có thể đi xuyên qua kính hay không.
Phát hiện của Rontgen xảy đến rất tình cờ ở phòng thí nghiệm Wurzburg. Khi đó, ông đang kiểm tra xem liệu tia cathode (tia âm cực) có thể đi xuyên qua kính hay không.
Ông đã bất ngờ nhận thấy một tia sáng phát ra từ một tấm được phủ hóa chất gần đó. Ông gọi những tia tạo ra ánh sáng này là tia X, vì bản chất chưa rõ của chúng.
Ông đã bất ngờ nhận thấy một tia sáng phát ra từ một tấm được phủ hóa chất gần đó. Ông gọi những tia tạo ra ánh sáng này là tia X, vì bản chất chưa rõ của chúng.
Những ngày sau đó, Rontgen đã dành phần lớn thời gian trong phòng thí nghiệm của mình và tiến hành một loạt các thí nghiệm để hiểu rõ hơn về khám phá mới này.
Những ngày sau đó, Rontgen đã dành phần lớn thời gian trong phòng thí nghiệm của mình và tiến hành một loạt các thí nghiệm để hiểu rõ hơn về khám phá mới này.
Nhờ các thực nghiệm, ông biết rằng tia X xuyên qua da thịt người nhưng không để xuyên qua những chất có mật độ cao như xương hoặc chì, và chúng có thể được chụp ảnh lại.
Nhờ các thực nghiệm, ông biết rằng tia X xuyên qua da thịt người nhưng không để xuyên qua những chất có mật độ cao như xương hoặc chì, và chúng có thể được chụp ảnh lại.
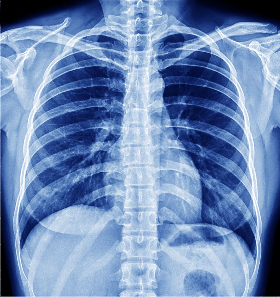
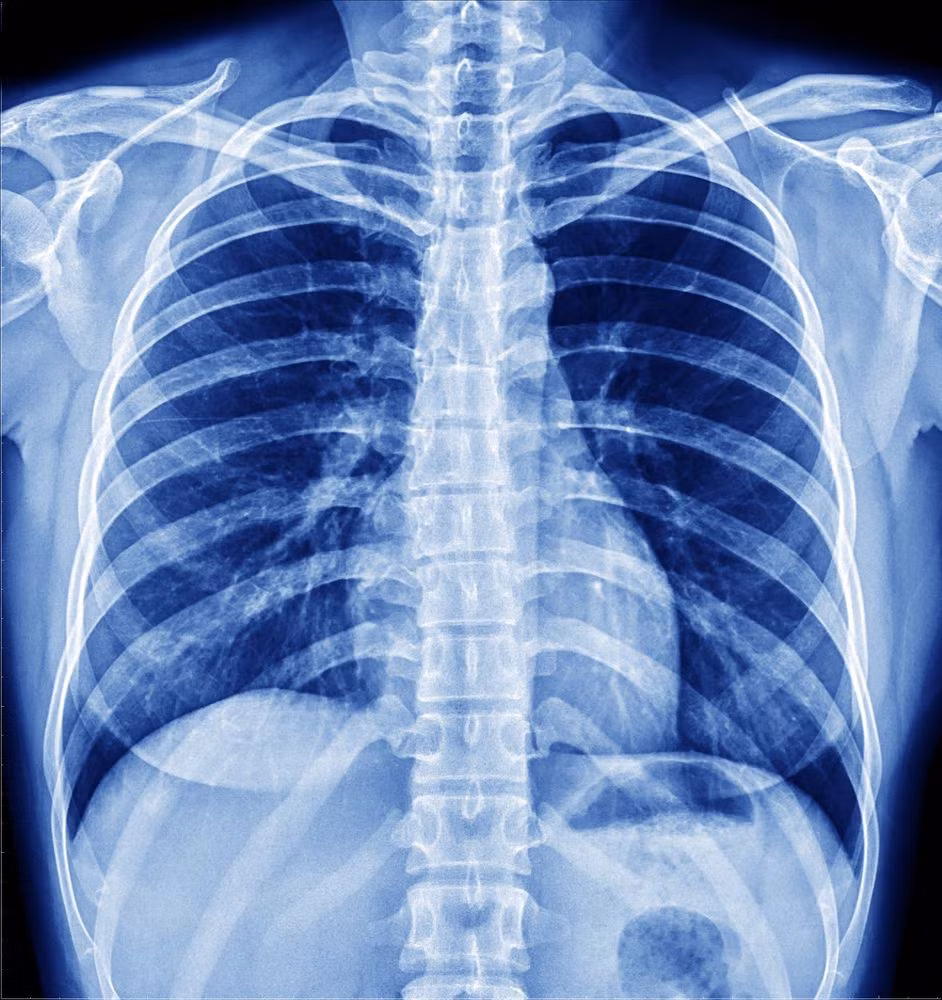
Phát hiện của Rontgen được xem là một phép màu y học thời đó, và tia X sớm trở thành một công cụ chẩn đoán quan trọng trong y học, cho phép các bác sĩ nhìn thấy bên trong cơ thể người mà không cần phẫu thuật.
Phát hiện của Rontgen được xem là một phép màu y học thời đó, và tia X sớm trở thành một công cụ chẩn đoán quan trọng trong y học, cho phép các bác sĩ nhìn thấy bên trong cơ thể người mà không cần phẫu thuật.
Đến năm 1897, tia X lần đầu tiên được sử dụng trong quân sự, trong cuộc Chiến tranh Balkan, để tìm các mảnh đạn và vị trí xương gãy bên trong cơ thể bệnh nhân.
Đến năm 1897, tia X lần đầu tiên được sử dụng trong quân sự, trong cuộc Chiến tranh Balkan, để tìm các mảnh đạn và vị trí xương gãy bên trong cơ thể bệnh nhân.
Wilhelm Rontgen nhận được rất nhiều lời khen cho công trình nghiên cứu của ông, bao gồm cả giải Nobel Vật lý năm 1901, nhưng ông vẫn khiêm tốn và không bao giờ tìm cách đăng ký bằng sáng chế.
Wilhelm Rontgen nhận được rất nhiều lời khen cho công trình nghiên cứu của ông, bao gồm cả giải Nobel Vật lý năm 1901, nhưng ông vẫn khiêm tốn và không bao giờ tìm cách đăng ký bằng sáng chế.
Trên phương diện vật lý học, tia X hay tia Rontgen là sóng năng lượng điện từ hoạt động tương tự như tia sáng thông thường, nhưng ở bước sóng ngắn hơn khoảng 1.000 lần.
Trên phương diện vật lý học, tia X hay tia Rontgen là sóng năng lượng điện từ hoạt động tương tự như tia sáng thông thường, nhưng ở bước sóng ngắn hơn khoảng 1.000 lần.
Trong giai đoạn đầu, các nhà khoa học đã không nhận thức được những tác hại của tia X với cơ thể con người. Điều này dẫn đến các trường hợp bị bỏng và tổn thương da, thậm chí qua đời vì ung thư da.
Trong giai đoạn đầu, các nhà khoa học đã không nhận thức được những tác hại của tia X với cơ thể con người. Điều này dẫn đến các trường hợp bị bỏng và tổn thương da, thậm chí qua đời vì ung thư da.
Phải đến giữa thế kỷ 20, vấn đề an toàn của các thiết bị sử dụng tia X mới được nhìn nhận nghiêm túc. Đây cũng là lúc mà tia X đã trở thành ứng dụng không thể thiếu của các cơ sở y tế.
Phải đến giữa thế kỷ 20, vấn đề an toàn của các thiết bị sử dụng tia X mới được nhìn nhận nghiêm túc. Đây cũng là lúc mà tia X đã trở thành ứng dụng không thể thiếu của các cơ sở y tế.
Ngày nay, công nghệ tia X được sử dụng rộng rãi trong y học, phân tích vật liệu và các thiết bị như máy quét an ninh sân bay.
Ngày nay, công nghệ tia X được sử dụng rộng rãi trong y học, phân tích vật liệu và các thiết bị như máy quét an ninh sân bay.
Mời quý độc giả xem video: Bảo tàng Đức mất đồng xu lớn nhất thế giới/VTV.

GALLERY MỚI NHẤT