'Nội soi' xác ướp quý bà Ai Cập, lộ chi tiết bất ngờ

'Nội soi' xác ướp quý bà Ai Cập, lộ chi tiết bất ngờ

Dùng máy chụp cắt lớp vi tính, các chuyên gia đã giải mã được bí mật về xác ướp nữ quý tộc Ai Cập khoảng 3.000 tuổi có tên Chenet-aa. Qua đó, nhiều chi tiết về sức khỏe, tình trạng xác ướp... được hé lộ.

Bảo tàng Field ở Chicago, Mỹ là nơi lưu giữ, bảo quản hơn chục xác ướp Ai Cập cổ đại. Trong số này có một xác ướp "đặc biệt" khiến các nhà nghiên cứu bối rối suốt nhiều năm. Xác ướp nữ quý tộc Ai Cập có tên Chenet-aa là một trong số đó. Theo kết quả nghiên cứu mới công bố, các chuyên gia đã dùng máy chụp cắt lớp vi tính (CT) để kiểm tra xác ướp quý bà Chenet-aa có niên đại khoảng 3.000 tuổi.
Bảo tàng Field ở Chicago, Mỹ là nơi lưu giữ, bảo quản hơn chục xác ướp Ai Cập cổ đại. Trong số này có một xác ướp "đặc biệt" khiến các nhà nghiên cứu bối rối suốt nhiều năm. Xác ướp nữ quý tộc Ai Cập có tên Chenet-aa là một trong số đó. Theo kết quả nghiên cứu mới công bố, các chuyên gia đã dùng máy chụp cắt lớp vi tính (CT) để kiểm tra xác ướp quý bà Chenet-aa có niên đại khoảng 3.000 tuổi.
Quý bà Chenet-aa sống cách đây khoảng 3.000 năm dưới Vương triều thứ 22 thuộc Thời kỳ chuyển tiếp thứ ba ở Ai Cập thời cổ đại. Ngay sau khi nữ quý tộc qua đời, người ta đã chuẩn bị tang lễ để đưa bà sang thế giới bên kia bằng cách tạo ra một quan tài là hộp cartonnage - chiếc hộp giống giấy bồi, để đặt thi hài người quá cố.
Quý bà Chenet-aa sống cách đây khoảng 3.000 năm dưới Vương triều thứ 22 thuộc Thời kỳ chuyển tiếp thứ ba ở Ai Cập thời cổ đại. Ngay sau khi nữ quý tộc qua đời, người ta đã chuẩn bị tang lễ để đưa bà sang thế giới bên kia bằng cách tạo ra một quan tài là hộp cartonnage - chiếc hộp giống giấy bồi, để đặt thi hài người quá cố.
Tuy nhiên, trường hợp của quý bà Chenet-aa, các chuyên gia không phát hiện bất kỳ dấu hiệu nào của đường nối nên băn khoăn không biết xác ướp được đặt vào bên trong hộp cartonnage như thế nào.
Tuy nhiên, trường hợp của quý bà Chenet-aa, các chuyên gia không phát hiện bất kỳ dấu hiệu nào của đường nối nên băn khoăn không biết xác ướp được đặt vào bên trong hộp cartonnage như thế nào.
"Quan tài cartonnage ở bên trong dường như liền một thể và nhẵn mịn mà không có bất kỳ đường nối bên ngoài nào (khác với quan tài bên ngoài làm từ gỗ). Nếu bạn nhìn hình dáng của hộp cartonnage, lỗ hở ở chân quá hẹp để vai của xác ướp có thể lọt qua", chuyên gia bảo tồn HP Brown ở Bảo tàng Field cho biết.
"Quan tài cartonnage ở bên trong dường như liền một thể và nhẵn mịn mà không có bất kỳ đường nối bên ngoài nào (khác với quan tài bên ngoài làm từ gỗ). Nếu bạn nhìn hình dáng của hộp cartonnage, lỗ hở ở chân quá hẹp để vai của xác ướp có thể lọt qua", chuyên gia bảo tồn HP Brown ở Bảo tàng Field cho biết.
Thông qua chụp cắt lớp vi tính (CT) tạo ra hình ảnh 3D của vật thể bằng cách xếp chồng hàng nghìn bản scan X - quang lên nhau dựa trên kỹ thuật số, giới nghiên cứu đã giải mã được bí mật này. Theo họ, người Ai Cập thời cổ đại đã tạo vết rạch ở phía sau hộp cartonnage và làm mềm vật liệu bằng hơi ẩm để nó trở nên dẻo dai.
Thông qua chụp cắt lớp vi tính (CT) tạo ra hình ảnh 3D của vật thể bằng cách xếp chồng hàng nghìn bản scan X - quang lên nhau dựa trên kỹ thuật số, giới nghiên cứu đã giải mã được bí mật này. Theo họ, người Ai Cập thời cổ đại đã tạo vết rạch ở phía sau hộp cartonnage và làm mềm vật liệu bằng hơi ẩm để nó trở nên dẻo dai.
Sau khi dựng đứng xác ướp và buộc vào một cây cột bằng dây thừng mỏng, chuyên gia Brown cho rằng, những người mai táng đã hạ quan tài qua đầu Chenet-aa trước khi nối vết rạch lại bằng dây bện. Sau khi quan tài cartonnage trở nên chắc chắn, họ đổ thạch cao lên trên.
Sau khi dựng đứng xác ướp và buộc vào một cây cột bằng dây thừng mỏng, chuyên gia Brown cho rằng, những người mai táng đã hạ quan tài qua đầu Chenet-aa trước khi nối vết rạch lại bằng dây bện. Sau khi quan tài cartonnage trở nên chắc chắn, họ đổ thạch cao lên trên.
Chuyên gia Brown giải thích thêm lớp sơn trên lớp cartonnage ngoài cùng được trang trí và đánh bóng khi xác ướp vẫn đặt ở tư thế thẳng đứng. Sau khi hoàn tất quá trình này, quý bà Chenet-aa được chôn cất.
Chuyên gia Brown giải thích thêm lớp sơn trên lớp cartonnage ngoài cùng được trang trí và đánh bóng khi xác ướp vẫn đặt ở tư thế thẳng đứng. Sau khi hoàn tất quá trình này, quý bà Chenet-aa được chôn cất.
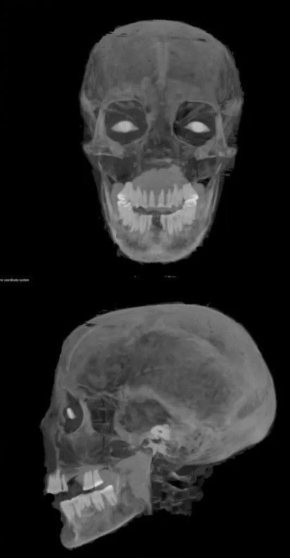
Ảnh chụp CT cũng hé lộ nhiều chi tiết mới về sức khỏe của quý bà Chenet-aa trong những ngày cuối đời. Nữ quý tộc qua đời ở cuối tuổi 30 hoặc đầu tuổi 40 nhưng chưa thể xác định nguyên nhân tử vong của bà.
Ảnh chụp CT cũng hé lộ nhiều chi tiết mới về sức khỏe của quý bà Chenet-aa trong những ngày cuối đời. Nữ quý tộc qua đời ở cuối tuổi 30 hoặc đầu tuổi 40 nhưng chưa thể xác định nguyên nhân tử vong của bà.
Hàm răng của quý bà Chenet-aa không ở tình trạng tốt khi nhiều chiếc bị mất khi chết trong khi số răng còn lại có dấu hiệu bị mài mòn. Các chuyên gia cho rằng điều này liên quan đến chế độ ăn uống có hại cho men răng của bà.
Hàm răng của quý bà Chenet-aa không ở tình trạng tốt khi nhiều chiếc bị mất khi chết trong khi số răng còn lại có dấu hiệu bị mài mòn. Các chuyên gia cho rằng điều này liên quan đến chế độ ăn uống có hại cho men răng của bà.
Giới chuyên gia cũng phát hiện xác ướp của quý bà Chenet-aa có đặt đôi mắt nhân tạo ở hốc mắt để giúp bà có thể nhìn được ở thế giới bên kia. Ảnh: The Field Museum.
Giới chuyên gia cũng phát hiện xác ướp của quý bà Chenet-aa có đặt đôi mắt nhân tạo ở hốc mắt để giúp bà có thể nhìn được ở thế giới bên kia. Ảnh: The Field Museum.
Mời độc giả xem video: Bí ẩn hình xăm trên cánh tay xác ướp công chúa 2.500 tuổi.

GALLERY MỚI NHẤT

Hàng nghìn người hưởng ứng “Hành động Xanh - Chọn tương lai Xanh”

Hàng nghìn người hưởng ứng “Hành động Xanh - Chọn tương lai Xanh”

Sáng 4/4, hàng nghìn người dân và thanh niên trên khắp cả nước cùng tham gia hoạt động dọn dẹp vệ sinh khu phố và thu gom đồ dùng cũ, hưởng ứng lời kêu gọi “Hành động Xanh - Chọn tương lai Xanh” do Quỹ Vì Tương lai xanh do Tập đoàn Vingroup phát động. Đây là một trong những hoạt động tiêu biểu mở màn cho chuỗi chiến dịch “Thứ 4 Ngày Xanh” được Quỹ triển khai xuyên suốt năm 2026 với thông điệp “Hành động Xanh - Chọn tương lai Xanh”.