Những ký sinh trùng "ăn não" người khủng khiếp nhất

Những ký sinh trùng "ăn não" người khủng khiếp nhất

Tử vong hoặc sống dở chết dở là thảm cảnh xảy ra khi con người bị các loài ký sinh trùng "ăn não", làm tổ trong não này tấn công.

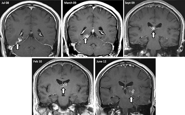
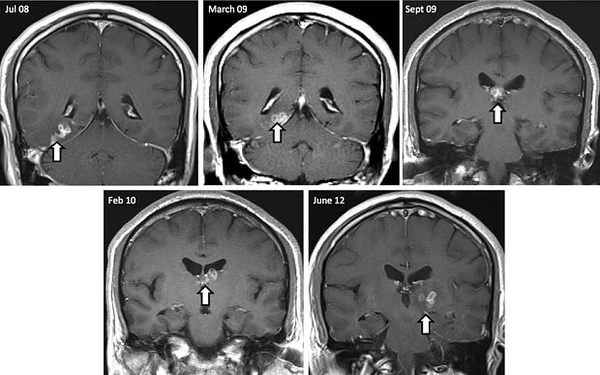
Sán dây Spirometra. Vào năm 2012, một người đàn ông Anh đã được bác sĩ chuẩn đoán là mang trong mình một cá thể sán dây Spirometra ở trong não. Trước đó vào năm 2008, người đàn ông này đã đến viện khám do bị đau đầu, co giật, trí nhớ kém và thay đổi về khứu giác tuy nhiên bác sĩ không thể xác định rõ nguyên nhân gây bệnh.
Sán dây Spirometra. Vào năm 2012, một người đàn ông Anh đã được bác sĩ chuẩn đoán là mang trong mình một cá thể sán dây Spirometra ở trong não. Trước đó vào năm 2008, người đàn ông này đã đến viện khám do bị đau đầu, co giật, trí nhớ kém và thay đổi về khứu giác tuy nhiên bác sĩ không thể xác định rõ nguyên nhân gây bệnh.
Bốn năm sau đó các bác sĩ đã vô cùng ngạc nhiên khi tìm thấy giữa các mô não là một sinh vật dài tới 10cm. Kí sinh trùng này được tìm thấy thông qua bức ảnh chụp cộng hưởng MRI. Vì chưa có thuốc điều trị hiệu quả, các bác sĩ nhanh chóng phẫu thuật để loại ký sinh trùng "ăn não" này này.
Bốn năm sau đó các bác sĩ đã vô cùng ngạc nhiên khi tìm thấy giữa các mô não là một sinh vật dài tới 10cm. Kí sinh trùng này được tìm thấy thông qua bức ảnh chụp cộng hưởng MRI. Vì chưa có thuốc điều trị hiệu quả, các bác sĩ nhanh chóng phẫu thuật để loại ký sinh trùng "ăn não" này này.
Theo các chuyên gia, loài sán này khá hiếm, vòng đời cũng như đặc điểm sinh học của nó vẫn chưa được biết đến nhiều. Tuy nhiên các nhà khoa học cho rằng, nó có thể lây nhiễm thông qua việc ăn những loài động vật giáp xác nhỏ hay thịt các loài bò sát và lưỡng cư sống.
Theo các chuyên gia, loài sán này khá hiếm, vòng đời cũng như đặc điểm sinh học của nó vẫn chưa được biết đến nhiều. Tuy nhiên các nhà khoa học cho rằng, nó có thể lây nhiễm thông qua việc ăn những loài động vật giáp xác nhỏ hay thịt các loài bò sát và lưỡng cư sống.
Dạng trưởng thành của sán dây Spirometra chỉ xuất hiện trong ruột non của mèo và chó, nhưng chúng được thải ra ngoài và tồn tại trong phân, sống trong các nguồn nước. Ấu trùng có thể ở lại trong cơ thể động vật giáp xác nhỏ hoặc ếch và rắn. Ở giai đoạn này, chúng xâm nhập vào cơ thể người qua đường tiêu hóa hoặc tiếp xúc trực tiếp với động vật nhiễm sán.
Dạng trưởng thành của sán dây Spirometra chỉ xuất hiện trong ruột non của mèo và chó, nhưng chúng được thải ra ngoài và tồn tại trong phân, sống trong các nguồn nước. Ấu trùng có thể ở lại trong cơ thể động vật giáp xác nhỏ hoặc ếch và rắn. Ở giai đoạn này, chúng xâm nhập vào cơ thể người qua đường tiêu hóa hoặc tiếp xúc trực tiếp với động vật nhiễm sán.
Ấu trùng tạo thành nang bên trong não hoặc các bộ phận khác, kéo theo hậu quả là gây tổn thương mô, mù mắt, liệt và thậm chí tử vong.
Ấu trùng tạo thành nang bên trong não hoặc các bộ phận khác, kéo theo hậu quả là gây tổn thương mô, mù mắt, liệt và thậm chí tử vong.
Sán dây lợn được chia ra làm rất nhiều chi và chủng loại khác nhau, trong đó có 3 loại có nhiều khả năng “xâm hại” não của bạn. Loài sán dây lợn được cho là kẻ thù lớn nhất của bộ não.
Sán dây lợn được chia ra làm rất nhiều chi và chủng loại khác nhau, trong đó có 3 loại có nhiều khả năng “xâm hại” não của bạn. Loài sán dây lợn được cho là kẻ thù lớn nhất của bộ não.
Có tên khoa học là Taenia Solium, sán dây lợn có thể tiếp cận với cơ thể người bằng 2 con đường: ăn thịt lợn nấu chưa chín từ đó gây căn bệnh sán dây trong ruột hoặc theo đường tiếp xúc trực tiếp với phân của cá thể lợn nhiễm bệnh.
Có tên khoa học là Taenia Solium, sán dây lợn có thể tiếp cận với cơ thể người bằng 2 con đường: ăn thịt lợn nấu chưa chín từ đó gây căn bệnh sán dây trong ruột hoặc theo đường tiếp xúc trực tiếp với phân của cá thể lợn nhiễm bệnh.
Theo con đường thứ hai, loài sán này sẽ đi vào cơ thể người dưới dạng ấu trùng và có thể đi theo đường máu lên đến hệ thần kinh và não sau đó đóng căn cứ ở đây. Chúng có thể gây bệnh động kinh cùng các rối loạn thần kinh nguy hiểm khác. Chất lượng vệ sinh kém là nguyên nhân hàng đầu dẫn đến các ca nhiễm bệnh sán dây lợn.
Theo con đường thứ hai, loài sán này sẽ đi vào cơ thể người dưới dạng ấu trùng và có thể đi theo đường máu lên đến hệ thần kinh và não sau đó đóng căn cứ ở đây. Chúng có thể gây bệnh động kinh cùng các rối loạn thần kinh nguy hiểm khác. Chất lượng vệ sinh kém là nguyên nhân hàng đầu dẫn đến các ca nhiễm bệnh sán dây lợn.
Trùng a-míp ăn não. Với tên khoa học là Naegleria fowleri, đây là một loại a-míp đơn bào sống tự do ngoài môi trường. Dù hiếm gặp nhưng nó có thể gây ra nhiễm trùng và tàn phá não bộ của chúng ta một khi lọt được vào cơ thể.
Trùng a-míp ăn não. Với tên khoa học là Naegleria fowleri, đây là một loại a-míp đơn bào sống tự do ngoài môi trường. Dù hiếm gặp nhưng nó có thể gây ra nhiễm trùng và tàn phá não bộ của chúng ta một khi lọt được vào cơ thể.
Loại a-míp này thường được tìm thấy trong những vùng nước ngọt ấm áp như ở các vùng hồ, sông và suối nước nóng cũng như trong đất. Naegleria fowleri thường đi vào cơ thể người thông qua đường mũi và dần di chuyển lên não.
Loại a-míp này thường được tìm thấy trong những vùng nước ngọt ấm áp như ở các vùng hồ, sông và suối nước nóng cũng như trong đất. Naegleria fowleri thường đi vào cơ thể người thông qua đường mũi và dần di chuyển lên não.
Triệu chứng của sự tấn công này là gây ra cho bệnh nhân những triệu chứng đau đầu, cứng cổ và ói mửa… Nặng hơn nạn nhân sẽ rơi vào trạng thái hôn mê và tử vong sau khoảng năm ngày.
Triệu chứng của sự tấn công này là gây ra cho bệnh nhân những triệu chứng đau đầu, cứng cổ và ói mửa… Nặng hơn nạn nhân sẽ rơi vào trạng thái hôn mê và tử vong sau khoảng năm ngày.
Quá trình nhiễm trùng thường xảy ra khi chúng ta bơi hay lặn ở các vùng nước ngọt ấm áp như hồ và sông. Tính từ năm 1962 thì chỉ có hai trường hợp bệnh nhân sống sót sau khi bị nhiễm bệnh do loại a-míp này gây ra.
Quá trình nhiễm trùng thường xảy ra khi chúng ta bơi hay lặn ở các vùng nước ngọt ấm áp như hồ và sông. Tính từ năm 1962 thì chỉ có hai trường hợp bệnh nhân sống sót sau khi bị nhiễm bệnh do loại a-míp này gây ra.
Sheiphali "Toxoplasma" gondii là một loài động vật nguyên sinh thuộc chi Toxoplasma, thường được tìm thấy kí sinh trong cơ thể mèo.
Sheiphali "Toxoplasma" gondii là một loài động vật nguyên sinh thuộc chi Toxoplasma, thường được tìm thấy kí sinh trong cơ thể mèo.
Chúng được coi là bậc thầy kiểm soát do một khi loài chuột bị nhiễm trùng bởi Toxoplasma gondii, nó sẽ bị điều khiển - tự dẫn xác đến làm mồi cho mèo. Và khi vào cơ thể con người, loài ký sinh trùng này cũng cố gắng thâu tóm bộ não chúng ta.
Chúng được coi là bậc thầy kiểm soát do một khi loài chuột bị nhiễm trùng bởi Toxoplasma gondii, nó sẽ bị điều khiển - tự dẫn xác đến làm mồi cho mèo. Và khi vào cơ thể con người, loài ký sinh trùng này cũng cố gắng thâu tóm bộ não chúng ta.
Trong khi có đến 60% tổng dân số nhiễm Toxoplasma gondii thì chỉ có một số ít thực sự bị bệnh liên quan đến loài kí sinh trùng này.Các nghiên cứu đã chỉ ra, loại kí sinh trùng này có thể gây ảnh hưởng đến hành vi của con người và gây ra nhiều loại rối loạn tâm thần như trầm cảm, lo âu, tâm thần phân liệt…
Trong khi có đến 60% tổng dân số nhiễm Toxoplasma gondii thì chỉ có một số ít thực sự bị bệnh liên quan đến loài kí sinh trùng này.Các nghiên cứu đã chỉ ra, loại kí sinh trùng này có thể gây ảnh hưởng đến hành vi của con người và gây ra nhiều loại rối loạn tâm thần như trầm cảm, lo âu, tâm thần phân liệt…
Nam giới nhiễm bệnh có khả năng sở hữu IQ thấp, không thể tập trung lâu. Họ cũng thường phá luật, dễ chấp nhận rủi ro, không thân thiện, nghi ngờ, ghen tị hay buồn rầu hơn.
Nam giới nhiễm bệnh có khả năng sở hữu IQ thấp, không thể tập trung lâu. Họ cũng thường phá luật, dễ chấp nhận rủi ro, không thân thiện, nghi ngờ, ghen tị hay buồn rầu hơn.
Trong khi đó những người phụ nữ bị nhiễm bệnh thường hướng ngoại hơn, thân thiện và được coi là hấp dẫn hơn.
Trong khi đó những người phụ nữ bị nhiễm bệnh thường hướng ngoại hơn, thân thiện và được coi là hấp dẫn hơn.

GALLERY MỚI NHẤT