Giải mã bí ẩn xác ướp “người phụ nữ la hét” 3.000 tuổi

Giải mã bí ẩn xác ướp “người phụ nữ la hét” 3.000 tuổi

(Kiến Thức) - Được tìm thấy ở Luxor, Ai Cập, xác ướp "người phụ nữ la hét" 3.000 tuổi khiến nhiều người ám ảnh khi tử vong trong tư thế đầu ngửa ra sau, miệng há to như đang thét lên kinh hãi. Các chuyên gia giải mã nguyên nhân tử vong của xác ướp.

Vào những năm 1800, các chuyên gia tìm thấy xác ướp "người phụ nữ la hét" có niên đại khoảng 3.000 tuổi ở Luxor, Ai Cập.
Vào những năm 1800, các chuyên gia tìm thấy xác ướp "người phụ nữ la hét" có niên đại khoảng 3.000 tuổi ở Luxor, Ai Cập.
Trên những dải vải lanh quấn quanh xác ướp có dòng chữ viết bằng tiếng Ai Cập cổ đại có nghĩa: "Con gái hoàng thất, chị gái của Meret Amon".
Trên những dải vải lanh quấn quanh xác ướp có dòng chữ viết bằng tiếng Ai Cập cổ đại có nghĩa: "Con gái hoàng thất, chị gái của Meret Amon".
Căn cứ vào điều này, các chuyên gia nhận định xác ướp có khả năng là một công chúa Ai Cập.
Căn cứ vào điều này, các chuyên gia nhận định xác ướp có khả năng là một công chúa Ai Cập.
Xác ướp khiến giới chuyên gia ám ảnh bởi được bảo quản nguyên vẹn trong tư thế đầu ngửa ra sau và miệng há to như đang thét lên vì sợ hãi.
Xác ướp khiến giới chuyên gia ám ảnh bởi được bảo quản nguyên vẹn trong tư thế đầu ngửa ra sau và miệng há to như đang thét lên vì sợ hãi.
Nhiều người không khỏi tò mò vì sao người phụ nữ này chết trong tư thế đau đớn đến vậy.
Nhiều người không khỏi tò mò vì sao người phụ nữ này chết trong tư thế đau đớn đến vậy.
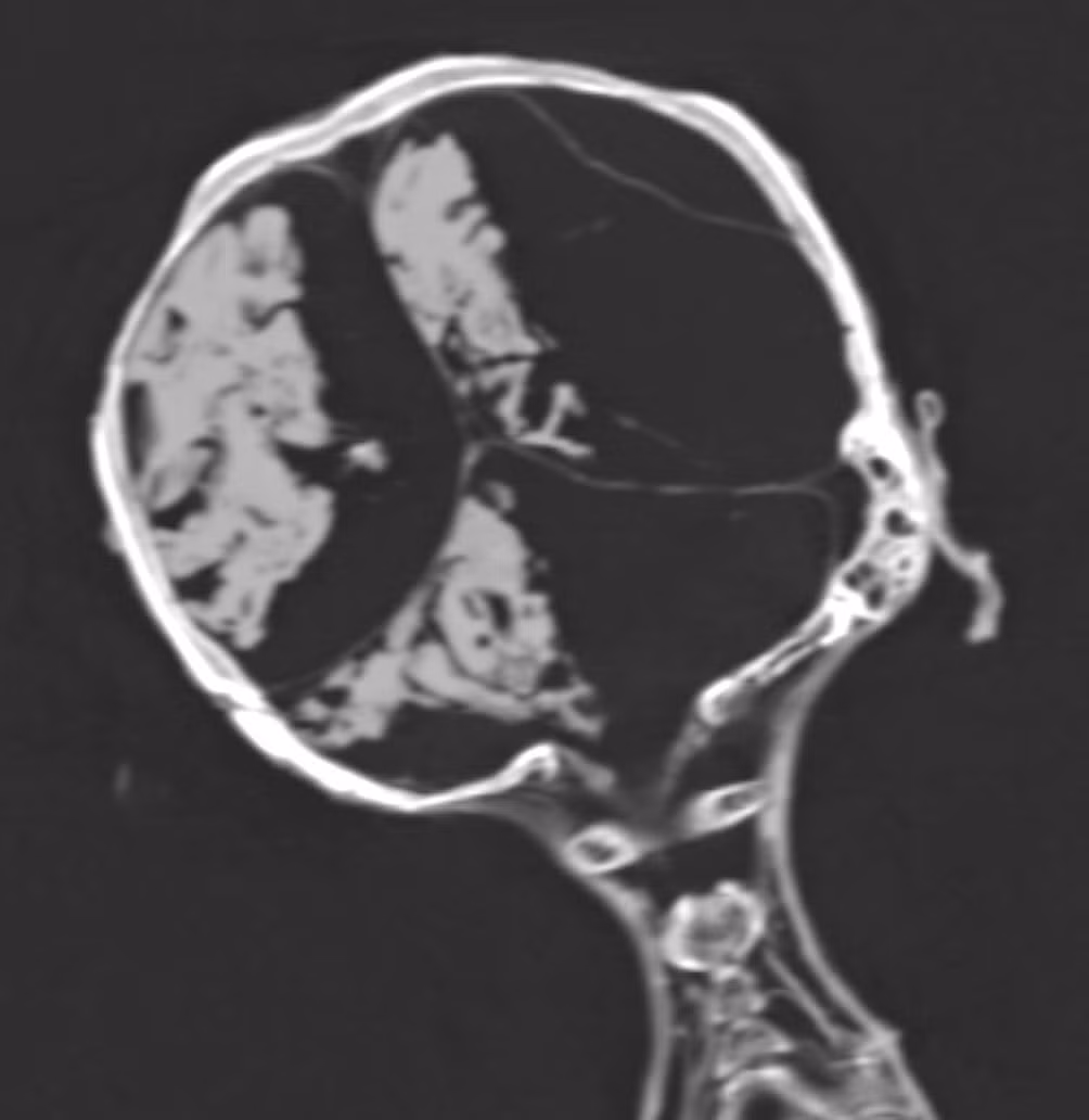
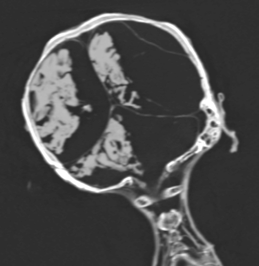
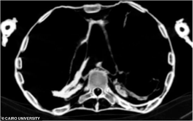
Sau nhiều năm nghiên cứu, các chuyên gia tìm ra câu trả lời. Theo nhà Ai Cập học Zahi Hawass và giáo sư X-quang học Sahar Saleem tại Đại học Cairo, "người phụ nữ la hét" qua đời đột ngột vì đau tim.
Sau nhiều năm nghiên cứu, các chuyên gia tìm ra câu trả lời. Theo nhà Ai Cập học Zahi Hawass và giáo sư X-quang học Sahar Saleem tại Đại học Cairo, "người phụ nữ la hét" qua đời đột ngột vì đau tim.
Người phụ nữ này bị xơ vữa động mạch vành trái và phải, động mạch cổ, động mạch chủ bụng, động mạch chậu gốc và chi dưới.
Người phụ nữ này bị xơ vữa động mạch vành trái và phải, động mạch cổ, động mạch chủ bụng, động mạch chậu gốc và chi dưới.
Căn bệnh nguy hiểm này đã làm hẹp lòng mạch và tắc nghẽn mạch máu dẫn đến cái chết đầy đau đớn của "người phụ nữ la hét". Vài giờ sau khi "người phụ nữ la hét" tử vong, người ta mới phát hiện sự việc.
Căn bệnh nguy hiểm này đã làm hẹp lòng mạch và tắc nghẽn mạch máu dẫn đến cái chết đầy đau đớn của "người phụ nữ la hét". Vài giờ sau khi "người phụ nữ la hét" tử vong, người ta mới phát hiện sự việc.
Vì vậy, lúc ướp xác, tình trạng thi thể ở trong trạng thái co cứng dẫn tới việc những người thợ ướp xác không thể giúp người chết khép miệng hay thẳng lưng như những xác ướp khác.
Vì vậy, lúc ướp xác, tình trạng thi thể ở trong trạng thái co cứng dẫn tới việc những người thợ ướp xác không thể giúp người chết khép miệng hay thẳng lưng như những xác ướp khác.
Theo đó, xác ướp được bảo quản theo đúng tư thế lúc qua đời: đầu ngửa ra sau và miệng há to như đang thét lên trong đau đớn.
Theo đó, xác ướp được bảo quản theo đúng tư thế lúc qua đời: đầu ngửa ra sau và miệng há to như đang thét lên trong đau đớn.
Mời độc giả xem video: Ai Cập mở nắp quan tài chứa xác ướp người phụ nữ còn nguyên vẹn suốt 3000 năm. Nguồn: VTV24.

GALLERY MỚI NHẤT

Hàng nghìn người hưởng ứng “Hành động Xanh - Chọn tương lai Xanh”

Hàng nghìn người hưởng ứng “Hành động Xanh - Chọn tương lai Xanh”

Sáng 4/4, hàng nghìn người dân và thanh niên trên khắp cả nước cùng tham gia hoạt động dọn dẹp vệ sinh khu phố và thu gom đồ dùng cũ, hưởng ứng lời kêu gọi “Hành động Xanh - Chọn tương lai Xanh” do Quỹ Vì Tương lai xanh do Tập đoàn Vingroup phát động. Đây là một trong những hoạt động tiêu biểu mở màn cho chuỗi chiến dịch “Thứ 4 Ngày Xanh” được Quỹ triển khai xuyên suốt năm 2026 với thông điệp “Hành động Xanh - Chọn tương lai Xanh”.