Ghê tởm những loài ký sinh độc ác nhất hành tinh

Ghê tởm những loài ký sinh độc ác nhất hành tinh

(Kiến Thức) - Loài ký sinh độc ác như amip ăn não sẽ ăn dần các tế bào thần kinh gây nên chứng đau đầu khủng khiếp, và sau đó là cái chết.

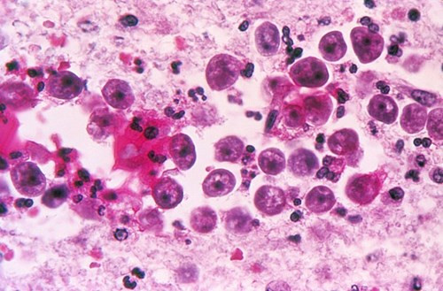
Ký sinh trùng Naegleria fowleri, còn được gọi là "amíp ăn não", có khả năng xâm nhập và tấn công vào hệ thống thần kinh của con người để ký sinh và gây bệnh. Nếu bị nhiễm loài ký sinh độc ác này thì gần như đa số người bệnh đều bị tử vong.
Ký sinh trùng Naegleria fowleri, còn được gọi là "amíp ăn não", có khả năng xâm nhập và tấn công vào hệ thống thần kinh của con người để ký sinh và gây bệnh. Nếu bị nhiễm loài ký sinh độc ác này thì gần như đa số người bệnh đều bị tử vong.
Khi xâm nhập vào cơ thể người, loại amip Naegleria fowleri sẽ sinh sôi, phát triển rất nhanh, sau đó di chuyển lên não người. Từ đây amip ăn não sẽ bắt đầu ăn các tế bào thần kinh gây nên chứng đau đầu khủng khiếp, bệnh nhân bị sốt, có ảo giác và thậm chí mất khả năng kiểm soát hành vi.
Khi xâm nhập vào cơ thể người, loại amip Naegleria fowleri sẽ sinh sôi, phát triển rất nhanh, sau đó di chuyển lên não người. Từ đây amip ăn não sẽ bắt đầu ăn các tế bào thần kinh gây nên chứng đau đầu khủng khiếp, bệnh nhân bị sốt, có ảo giác và thậm chí mất khả năng kiểm soát hành vi.
Kí sinh trùng Hymenoepimecis argyraphaga là khắc tinh của loài nhện Plesiometa argyra. Mỗi khi đến kỳ sinh nở, nó sẽ đi tìm nhện Plesiometa argyra, cắn, gây tê liệt và truyền ấu trùng vào nhện. Nhện Plesiometa argyra sẽ phải nuôi dưỡng ấu trùng chịu bị "hút máu" và chờ ngày bị kết liễu cuộc đời.
Kí sinh trùng Hymenoepimecis argyraphaga là khắc tinh của loài nhện Plesiometa argyra. Mỗi khi đến kỳ sinh nở, nó sẽ đi tìm nhện Plesiometa argyra, cắn, gây tê liệt và truyền ấu trùng vào nhện. Nhện Plesiometa argyra sẽ phải nuôi dưỡng ấu trùng chịu bị "hút máu" và chờ ngày bị kết liễu cuộc đời.
Taenia solium, còn được gọi là sán dải heo hay sán dải lợn. Đây là loài ký sinh trong cơ thể heo và con người. Khi theo máu đi vào não, sán dải heo phát triển, có thể khiến bệnh nhân tử vong nhanh chóng.
Taenia solium, còn được gọi là sán dải heo hay sán dải lợn. Đây là loài ký sinh trong cơ thể heo và con người. Khi theo máu đi vào não, sán dải heo phát triển, có thể khiến bệnh nhân tử vong nhanh chóng.
Tơ hồng là loài cây ký sinh ăn thực vật khác. Nó không có chất diệp lục, do đó sự sống phụ thuộc hoàn toàn vào dinh dưỡng của vật chủ. Tơ hồng thậm chí còn có khả năng tự di chuyển từ cây này sang cây trồng khác.
Tơ hồng là loài cây ký sinh ăn thực vật khác. Nó không có chất diệp lục, do đó sự sống phụ thuộc hoàn toàn vào dinh dưỡng của vật chủ. Tơ hồng thậm chí còn có khả năng tự di chuyển từ cây này sang cây trồng khác.
Loa loa là một trong ba loài giun tròn ký sinh trùng gây ra bệnh giun chỉ dưới da ở người. Loài ký sinh trùng xâm nhập vào cơ thể con người thông qua vết cắn của một con ruồi. Nạn nhân trải qua các triệu chứng có thể từ ngứa và đau khớp mệt mỏi đến tử vong.
Loa loa là một trong ba loài giun tròn ký sinh trùng gây ra bệnh giun chỉ dưới da ở người. Loài ký sinh trùng xâm nhập vào cơ thể con người thông qua vết cắn của một con ruồi. Nạn nhân trải qua các triệu chứng có thể từ ngứa và đau khớp mệt mỏi đến tử vong.
Ký sinh trùng giun Filarial có hình tròn, nhỏ như sợi chỉ, nhưng có sức mạnh đáng sợ vô cùng. Chúng ẩn sâu dưới da, khiến nạn nhân phát ban, sẩn mày đay, và viêm khớp, thậm chí có thể mù mắt.
Ký sinh trùng giun Filarial có hình tròn, nhỏ như sợi chỉ, nhưng có sức mạnh đáng sợ vô cùng. Chúng ẩn sâu dưới da, khiến nạn nhân phát ban, sẩn mày đay, và viêm khớp, thậm chí có thể mù mắt.
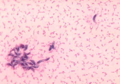
Ký sinh trùng Toxoplasma gondii thường được gọi là trùng cong, chúng là một đơn bào thuộc lớp trùng bào tử (Sporozoa). Sinh vật ký sinh ở tế bào nội mô và các tế bào hệ thống võng của hạch, não, phổi, mắt và các phủ tạng khác. Chúng ký sinh ở đâu thường gây ra tổn thương ở đó.
Ký sinh trùng Toxoplasma gondii thường được gọi là trùng cong, chúng là một đơn bào thuộc lớp trùng bào tử (Sporozoa). Sinh vật ký sinh ở tế bào nội mô và các tế bào hệ thống võng của hạch, não, phổi, mắt và các phủ tạng khác. Chúng ký sinh ở đâu thường gây ra tổn thương ở đó.
Cochliomyia - ấu trùng ruồi ăn thịt có thể gây ra những cảm giác thật tồi tệ. Nạn nhân sẽ có cảm giác đau đầu, đau cùng cực ở vùng mặt và thậm chí là bị chảy mủ từ một bên tai.
Cochliomyia - ấu trùng ruồi ăn thịt có thể gây ra những cảm giác thật tồi tệ. Nạn nhân sẽ có cảm giác đau đầu, đau cùng cực ở vùng mặt và thậm chí là bị chảy mủ từ một bên tai.
Ký sinh trùng Cymothoa exigua ăn lưỡi vật chủ. Đây là loài ký sinh trùng đáng sợ, được biết đến như con rận ở lưỡi cá. Chúng xâm nhập vào cá thông qua mang, sau đó bám chặt vào gốc lưỡi cá, dần dần ăn mòn và thay thế cái lưỡi trong miệng cá.
Ký sinh trùng Cymothoa exigua ăn lưỡi vật chủ. Đây là loài ký sinh trùng đáng sợ, được biết đến như con rận ở lưỡi cá. Chúng xâm nhập vào cá thông qua mang, sau đó bám chặt vào gốc lưỡi cá, dần dần ăn mòn và thay thế cái lưỡi trong miệng cá.

GALLERY MỚI NHẤT

Circle to Search lột xác trên Galaxy S26

Circle to Search lột xác trên Galaxy S26

Google nâng cấp Circle to Search trên Galaxy S26 với khả năng nhận diện đa vật thể và tích hợp thử đồ ảo, mở rộng mạnh mẽ tìm kiếm trực quan Android.