Bí ẩn căn bệnh não úng thủy của Quốc vương Thái Lan

Bí ẩn căn bệnh não úng thủy của Quốc vương Thái Lan

(Kiến Thức) - Vị quốc vương 87 tuổi của Thái Lan đang điều trị bệnh não úng thủy. Đây là căn bệnh đe dọa hệ thần kinh trung ương và chưa có thuốc đặc trị.

Hoàng cung Thái Lan ngày 10/8 cho biết Quốc vương Bhumibol Adulyadej đang điều trị bệnh não úng thủy bên cạnh chứng viêm phổi. Vị quốc vương 87 tuổi vốn được người dân Thái Lan yêu quý, hết mực tôn kính. Kể từ khi lên ngôi năm 1946, ông được xem như biểu tượng của sự đoàn kết dân tộc.
Hoàng cung Thái Lan ngày 10/8 cho biết Quốc vương Bhumibol Adulyadej đang điều trị bệnh não úng thủy bên cạnh chứng viêm phổi. Vị quốc vương 87 tuổi vốn được người dân Thái Lan yêu quý, hết mực tôn kính. Kể từ khi lên ngôi năm 1946, ông được xem như biểu tượng của sự đoàn kết dân tộc.
Thời gian gần đây. Quốc vương Thái Lan ít xuất hiện trước phương tiện truyền thông đại chúng do vấn đề sức khỏe. Đặc biệt, căn bệnh não úng thủy của ông rất được quan tâm bởi hiện chưa có loại thuốc nào chữa khỏi hoàn toàn, các bác sĩ chỉ có thể hỗ trợ điều trị.
Thời gian gần đây. Quốc vương Thái Lan ít xuất hiện trước phương tiện truyền thông đại chúng do vấn đề sức khỏe. Đặc biệt, căn bệnh não úng thủy của ông rất được quan tâm bởi hiện chưa có loại thuốc nào chữa khỏi hoàn toàn, các bác sĩ chỉ có thể hỗ trợ điều trị.
Do tích cực điều trị, kết quả kiểm tra đầu tháng 8 cho thấy bệnh trạng của nhà vua đã cải thiện. Mức dịch trong não quốc vương đã ổn định. Ông sẽ được tiếp tục điều trị cho đến khi mức dịch não trở lại như bình thường. (Ảnh: Quốc vương Thái Lan rời bệnh viện sau đợt điều trị hồi tháng 5).
Do tích cực điều trị, kết quả kiểm tra đầu tháng 8 cho thấy bệnh trạng của nhà vua đã cải thiện. Mức dịch trong não quốc vương đã ổn định. Ông sẽ được tiếp tục điều trị cho đến khi mức dịch não trở lại như bình thường. (Ảnh: Quốc vương Thái Lan rời bệnh viện sau đợt điều trị hồi tháng 5).
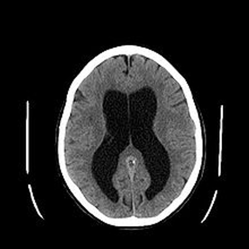
Vậy căn bệnh não úng thủy mà Quốc vương Thái Lan đang mắc là bệnh như thế nào? Não úng thủy xuất hiện do tình trạng dư thừa một loại chất lỏng trong não còn gọi là dịch não tủy (DNT). Sự dư thừa này dễ làm đầu bệnh nhân có dấu hiệu to dần, làm nhu mô não bị tổn thương.
Vậy căn bệnh não úng thủy mà Quốc vương Thái Lan đang mắc là bệnh như thế nào? Não úng thủy xuất hiện do tình trạng dư thừa một loại chất lỏng trong não còn gọi là dịch não tủy (DNT). Sự dư thừa này dễ làm đầu bệnh nhân có dấu hiệu to dần, làm nhu mô não bị tổn thương.
Bình thường, DNT luôn hiện diện trong não, có tác dụng giảm các sang chấn tác động từ bên ngoài vào. DNT được bộ phận rối mạch mạc tiết ra và được bộ phận khác có tên Pacchioni lấy đi.
Bình thường, DNT luôn hiện diện trong não, có tác dụng giảm các sang chấn tác động từ bên ngoài vào. DNT được bộ phận rối mạch mạc tiết ra và được bộ phận khác có tên Pacchioni lấy đi.
Hiện tượng dư thừa DNT bắt nguồn từ việc đám mạch mạc tiết ra quá nhiều hoặc do các thể Pacchioni hấp thu kém. Việc đám mạch mạc tiết ra quá nhiều trong khi các thể Pacchioni hấp thu quá kém cũng là nguyên nhân gây bệnh.
Hiện tượng dư thừa DNT bắt nguồn từ việc đám mạch mạc tiết ra quá nhiều hoặc do các thể Pacchioni hấp thu kém. Việc đám mạch mạc tiết ra quá nhiều trong khi các thể Pacchioni hấp thu quá kém cũng là nguyên nhân gây bệnh.
Mắc não úng thủy, người bệnh có biểu hiện mắt luôn nhìn xuống (mắt mặt trời lặn), tay, chân mềm nhũn, kém linh hoạt. (Ảnh bé gái Roona Begum 3 tuổi, người Ấn Độ mắc chứng não úng thủy khiến đầu em căng phồng, mắt luôn nhìn xuống).
Mắc não úng thủy, người bệnh có biểu hiện mắt luôn nhìn xuống (mắt mặt trời lặn), tay, chân mềm nhũn, kém linh hoạt. (Ảnh bé gái Roona Begum 3 tuổi, người Ấn Độ mắc chứng não úng thủy khiến đầu em căng phồng, mắt luôn nhìn xuống).
Bên cạnh đó, bệnh nhân còn phải chịu đựng các cơn đau đầu triền miên, dễ nôn mửa, dễ bị kích thích, khó chịu, mệt mỏi và chán ăn.
Bên cạnh đó, bệnh nhân còn phải chịu đựng các cơn đau đầu triền miên, dễ nôn mửa, dễ bị kích thích, khó chịu, mệt mỏi và chán ăn.
Ở người lớn, não úng thủy ít có khả năng gây tăng kích thước đầu song nó có thể khiến các mạch máu da đầu giãn to hơn bình thường.
Ở người lớn, não úng thủy ít có khả năng gây tăng kích thước đầu song nó có thể khiến các mạch máu da đầu giãn to hơn bình thường.
Não úng thủy gây tổn thương trực tiếp đến hệ thần kinh trung ương, thậm chí nó có thể để lại di chứng trầm trọng nếu không điều trị sớm và đúng cách.
Não úng thủy gây tổn thương trực tiếp đến hệ thần kinh trung ương, thậm chí nó có thể để lại di chứng trầm trọng nếu không điều trị sớm và đúng cách.
Một trong những biến chứng thường gặp nhất là viêm màng não mủ, mù, điếc, liệt tứ chi, động kinh.
Một trong những biến chứng thường gặp nhất là viêm màng não mủ, mù, điếc, liệt tứ chi, động kinh.
Dù biến chứng của não úng thủy rất trầm trọng song nếu được phát hiện sớm, điều trị thích hợp sẽ mang lại kết quả đáng khích lệ.
Dù biến chứng của não úng thủy rất trầm trọng song nếu được phát hiện sớm, điều trị thích hợp sẽ mang lại kết quả đáng khích lệ.

GALLERY MỚI NHẤT