Bài thuốc trị bỏng, trị mụn không ngờ từ tro bếp

Bài thuốc trị bỏng, trị mụn không ngờ từ tro bếp

(Kiến Thức) - Có những thứ quanh ta tưởng chừng vô tác dụng nhưng nếu chịu tìm hiểu kỹ, nó có công dụng bất ngờ, điển hình là tro bếp.

 Tro bếp (tro củi) có chất mát, đạm, canxi và muối kali. Tính mát của tro giúp nhiệt độ cơ thể ổn định. Còn chất muối kali trong tro tạo độ mặn có tác dụng diệt khuẩn nhanh chóng mà không cần dùng bất kì loại thuốc khử trùng nào. Ảnh: Emdep.
Tro bếp (tro củi) có chất mát, đạm, canxi và muối kali. Tính mát của tro giúp nhiệt độ cơ thể ổn định. Còn chất muối kali trong tro tạo độ mặn có tác dụng diệt khuẩn nhanh chóng mà không cần dùng bất kì loại thuốc khử trùng nào. Ảnh: Emdep.
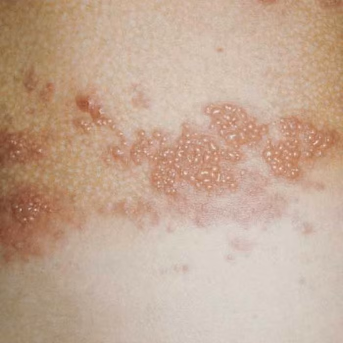
Trị giời leo. Giời leo là bệnh do cơ thể quá nóng cộng với vi khuẩn trong nước tiểu của sinh vật gây nên. Có thể dùng bài thuốc từ tro bếp để chữa bệnh này. Hốt ít tro, sàng sạch sau đó cho rượu vào trộn đều tạo thành hỗ hợp sền sệt. Sau đó dùng hỗn hợp này bôi lên da lớp dày khoảng 0,5cm, đợi khoảng 3 tiếng đồng hồ. Tro bếp sau khi đã rút hết nhiệt từ cơ thể sẽ tự khô và rơi ra ngoài. Ảnh: Benhykhoa.
Trị giời leo. Giời leo là bệnh do cơ thể quá nóng cộng với vi khuẩn trong nước tiểu của sinh vật gây nên. Có thể dùng bài thuốc từ tro bếp để chữa bệnh này. Hốt ít tro, sàng sạch sau đó cho rượu vào trộn đều tạo thành hỗ hợp sền sệt. Sau đó dùng hỗn hợp này bôi lên da lớp dày khoảng 0,5cm, đợi khoảng 3 tiếng đồng hồ. Tro bếp sau khi đã rút hết nhiệt từ cơ thể sẽ tự khô và rơi ra ngoài. Ảnh: Benhykhoa.
Trị bỏng. Chất đạm có trong tro bếp sẽ giúp tạo da non nhanh hơn, do vậy với những người bị bỏng hãy dùng một ít tro bếp sàng sạch và thêm một ít nước vào. Dùng hỗn hợp này đắp lên vùng bị bỏng. Với trường hợp bị bỏng nặng, thịt đã chín và da bong nước cần đắp hai lần, sau đó dùng thêm thuốc mỡ bôi lên vết thương hoặc đến bệnh viện. Ảnh: Healthplus.
Trị bỏng. Chất đạm có trong tro bếp sẽ giúp tạo da non nhanh hơn, do vậy với những người bị bỏng hãy dùng một ít tro bếp sàng sạch và thêm một ít nước vào. Dùng hỗn hợp này đắp lên vùng bị bỏng. Với trường hợp bị bỏng nặng, thịt đã chín và da bong nước cần đắp hai lần, sau đó dùng thêm thuốc mỡ bôi lên vết thương hoặc đến bệnh viện. Ảnh: Healthplus.
Triệt lông. Bài thuốc của người Dao đơn giản, lành tính sẽ khiến các bạn gái không còn nỗi lo “vi-ô-lông”. Chuẩn bị một sợi chỉ dài, 1 nắm lá bưởi, 1 nắm tro bếp, túi chườm y tế. Đầu tiên rang tro lên cho nóng (khoảng 55 độ) rồi bỏ vào miếng vải mỏng cùng một nắm lá bưởi. Sau đó, chườm lên vùng lông khoảng 10 phút. Ảnh: Trietlong.
Triệt lông. Bài thuốc của người Dao đơn giản, lành tính sẽ khiến các bạn gái không còn nỗi lo “vi-ô-lông”. Chuẩn bị một sợi chỉ dài, 1 nắm lá bưởi, 1 nắm tro bếp, túi chườm y tế. Đầu tiên rang tro lên cho nóng (khoảng 55 độ) rồi bỏ vào miếng vải mỏng cùng một nắm lá bưởi. Sau đó, chườm lên vùng lông khoảng 10 phút. Ảnh: Trietlong.
Bỏ túi vải ra thì thấy vùng lông được chườm đã bị dựng ngược lên. Cầm sợi chỉ căng hai đầu, lăn se lên vùng da đó, những sợi lông sẽ bị cuộn vào chỉ rồi bật tung ra một cách nhẹ nhàng. Ảnh: Spathucuc.
Bỏ túi vải ra thì thấy vùng lông được chườm đã bị dựng ngược lên. Cầm sợi chỉ căng hai đầu, lăn se lên vùng da đó, những sợi lông sẽ bị cuộn vào chỉ rồi bật tung ra một cách nhẹ nhàng. Ảnh: Spathucuc.
Trị mụn. Dùng gai bồ kết, quả bồ hòn đốt thành than rồi tán thành bột mịn, thêm một ít bồ hóng bếp và nhựa thông phết vào tờ giấy bản làm thanh cao và đắp lên chỗ mụn. Ảnh: Wru.
Trị mụn. Dùng gai bồ kết, quả bồ hòn đốt thành than rồi tán thành bột mịn, thêm một ít bồ hóng bếp và nhựa thông phết vào tờ giấy bản làm thanh cao và đắp lên chỗ mụn. Ảnh: Wru.
Chữa sa dạ con. Dùng tro của xơ mướp chia thành 14 gói bằng nhau và mỗi ngày uống 1 gói nhỏ cùng một chén rượu trắng. Ảnh: Healthplus.
Chữa sa dạ con. Dùng tro của xơ mướp chia thành 14 gói bằng nhau và mỗi ngày uống 1 gói nhỏ cùng một chén rượu trắng. Ảnh: Healthplus.
Lưu ý, các bài thuốc trên nên dùng tro mới vì nếu dùng tro cũ hoặc tro gần chân kiềng sẽ lẫn bụi sắt, khi đắp lên da dễ gây nhiễm khuẩn, dẫn đến uốn ván. Ảnh: Trietlongvinhvien. (Thông tin trong bài viết chỉ mang tính chất tham khảo. Trước khi sử dụng bài thuốc, bạn vui lòng hỏi ý kiến bác sĩ).
Lưu ý, các bài thuốc trên nên dùng tro mới vì nếu dùng tro cũ hoặc tro gần chân kiềng sẽ lẫn bụi sắt, khi đắp lên da dễ gây nhiễm khuẩn, dẫn đến uốn ván. Ảnh: Trietlongvinhvien. (Thông tin trong bài viết chỉ mang tính chất tham khảo. Trước khi sử dụng bài thuốc, bạn vui lòng hỏi ý kiến bác sĩ).

GALLERY MỚI NHẤT

Cận cảnh công trình hồ điều hòa Cự Khối gần 1.000 tỷ ở Long Biên

Cận cảnh công trình hồ điều hòa Cự Khối gần 1.000 tỷ ở Long Biên

Dự án mương Việt Hưng - Cầu Bây và hồ điều hòa Cự Khối tại phường Long Biên đang được tăng tốc thi công với nhiều hạng mục đạt tiến độ tích cực. Khi hoàn thành, công trình sẽ góp phần giảm úng ngập, nâng cao năng lực tiêu thoát nước và cải thiện cảnh quan khu vực phía Đông Hà Nội.