Tận mục sức tàn phá khủng khiếp của ung thư lưỡi

Tận mục sức tàn phá khủng khiếp của ung thư lưỡi

(Kiến Thức) - Ung thư lưỡi là một khối u ác tính phát triển trên mặt hoặc đằng sau lưỡi - phía gần với cổ họng.

Ung thư lưỡi bắt nguồn từ sự phát triển bất thường của các tế bào vảy lót trong khu vực. Theo thời gian, những tế bào này hình thành nên khối u có khả năng phát triển mạnh mẽ, di căn đến các bộ phận xung quanh.
Ung thư lưỡi bắt nguồn từ sự phát triển bất thường của các tế bào vảy lót trong khu vực. Theo thời gian, những tế bào này hình thành nên khối u có khả năng phát triển mạnh mẽ, di căn đến các bộ phận xung quanh.
Ngoài yếu tố di truyền, lạm dụng rượu và các sản phẩm từ thuốc lá là nguyên nhân hàng đầu làm tăng nguy cơ ung thư lưỡi. Từ đó, phát triển và ảnh hưởng đến khu vực khoang miệng.
Ngoài yếu tố di truyền, lạm dụng rượu và các sản phẩm từ thuốc lá là nguyên nhân hàng đầu làm tăng nguy cơ ung thư lưỡi. Từ đó, phát triển và ảnh hưởng đến khu vực khoang miệng.
Giống như các loại ung thư khác khi tấn công cơ thể, ung thư lưỡi dễ gây nên tình trạng thiếu sắt dẫn tới thiếu máu. Đây cũng là nguyên nhân khiến người bệnh luôn cảm thấy bải hoải, mệt mỏi triền miên.
Giống như các loại ung thư khác khi tấn công cơ thể, ung thư lưỡi dễ gây nên tình trạng thiếu sắt dẫn tới thiếu máu. Đây cũng là nguyên nhân khiến người bệnh luôn cảm thấy bải hoải, mệt mỏi triền miên.
Bên cạnh đó, ung thư lưỡi còn làm phiền người bệnh bởi khối u, viêm loét hoặc các mảng trắng, đỏ trên lưỡi. Những khối u, vết loét này khiến người bệnh cảm thấy khó khăn trong việc cử động lưỡi, rỉ máu khi thức ăn chạm vào.
Bên cạnh đó, ung thư lưỡi còn làm phiền người bệnh bởi khối u, viêm loét hoặc các mảng trắng, đỏ trên lưỡi. Những khối u, vết loét này khiến người bệnh cảm thấy khó khăn trong việc cử động lưỡi, rỉ máu khi thức ăn chạm vào.
Đôi khi, khối u không mang lại cảm giác đau đớn khiến bệnh nhân khó nhận biết được dấu hiệu bất thường cho tới khi chúng to dần, di căn. Điều này khiến bệnh nhân dễ dàng đối diện tình trạng suy dinh dưỡng.
Đôi khi, khối u không mang lại cảm giác đau đớn khiến bệnh nhân khó nhận biết được dấu hiệu bất thường cho tới khi chúng to dần, di căn. Điều này khiến bệnh nhân dễ dàng đối diện tình trạng suy dinh dưỡng.
Nhiều người mắc ung thư miệng cho biết họ có cảm giác đau ở lưỡi khi nhai, nuốt thức ăn. Tình trạng này thường diễn ra khi bệnh đã phát triển sang giai đoạn sau. Thậm chí, khi tế bào ung thư tấn công các dây thần kinh trên lưỡi, nó có thể ảnh hưởng đến giọng nói của người bệnh.
Nhiều người mắc ung thư miệng cho biết họ có cảm giác đau ở lưỡi khi nhai, nuốt thức ăn. Tình trạng này thường diễn ra khi bệnh đã phát triển sang giai đoạn sau. Thậm chí, khi tế bào ung thư tấn công các dây thần kinh trên lưỡi, nó có thể ảnh hưởng đến giọng nói của người bệnh.
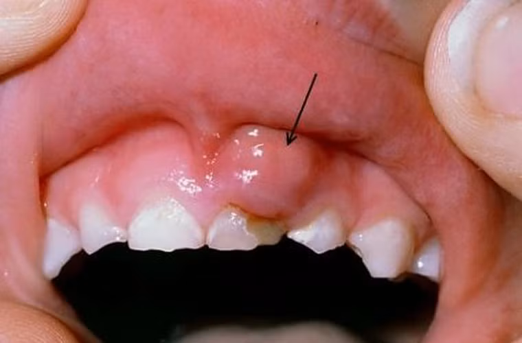
Về sự tàn phá sức khỏe dữ dội của ung thư lưỡi, các chuyên gia đến từ Viện Ung thư Mỹ cho rằng ung thư lưỡi còn khiến hàm răng trở nên lỏng lẻo. Đặc biệt, khi bệnh tấn công vào vùng nướu xung quanh răng.
Về sự tàn phá sức khỏe dữ dội của ung thư lưỡi, các chuyên gia đến từ Viện Ung thư Mỹ cho rằng ung thư lưỡi còn khiến hàm răng trở nên lỏng lẻo. Đặc biệt, khi bệnh tấn công vào vùng nướu xung quanh răng.
Ngoài ra, tế bào ung thư lưỡi còn gây nên tình trạng viêm nướu, khiến răng yếu đi và khó có thể ăn thực phẩm cứng. Tốt nhất, nếu răng bỗng trở nên lung lay mà không rõ nguyên nhân, bạn nên đi khám bác sĩ để phát hiện nguyên nhân vấn đề.
Ngoài ra, tế bào ung thư lưỡi còn gây nên tình trạng viêm nướu, khiến răng yếu đi và khó có thể ăn thực phẩm cứng. Tốt nhất, nếu răng bỗng trở nên lung lay mà không rõ nguyên nhân, bạn nên đi khám bác sĩ để phát hiện nguyên nhân vấn đề.

GALLERY MỚI NHẤT

OpenAI bất ngờ khai tử Sora

OpenAI bất ngờ khai tử Sora

OpenAI đột ngột đóng cửa công cụ tạo video Sora chỉ sau 4 tháng ra mắt, khiến thỏa thuận 1 tỷ USD với Disney tan vỡ và cộng đồng AI ngỡ ngàng.