Sự thật tàn khốc xác ướp hơn 1.000 tuổi bị đánh tới chết

Sự thật tàn khốc xác ướp hơn 1.000 tuổi bị đánh tới chết

Các nhà nghiên cứu đã phân tích xác ướp của một người đàn ông được trưng bày ở Bảo tàng giải phẫu, Marburg, Đức. Kết quả nghiên cứu cho thấy xác ướp hơn 1.000 tuổi này bị đánh tới chết.

Nhóm chuyên gia đến từ bệnh viện Bogenhausen, Munich, Đức đã tiến hành kiểm tra, phân tích xác ướp hơn 1.000 tuổi của một người đàn ông được trưng bày ở Bảo tàng giải phẫu, Marburg.
Nhóm chuyên gia đến từ bệnh viện Bogenhausen, Munich, Đức đã tiến hành kiểm tra, phân tích xác ướp hơn 1.000 tuổi của một người đàn ông được trưng bày ở Bảo tàng giải phẫu, Marburg.
Theo giới nghiên cứu, xác ướp trên thuộc nền văn minh Arica ở miền bắc Chile ngày nay.
Theo giới nghiên cứu, xác ướp trên thuộc nền văn minh Arica ở miền bắc Chile ngày nay.
Căn cứ vào những đồ mai táng được tìm thấy trong ngôi mộ, các chuyên gia nhận định khi còn sống, người đàn ông sống trong cộng đồng đánh cá.
Căn cứ vào những đồ mai táng được tìm thấy trong ngôi mộ, các chuyên gia nhận định khi còn sống, người đàn ông sống trong cộng đồng đánh cá.
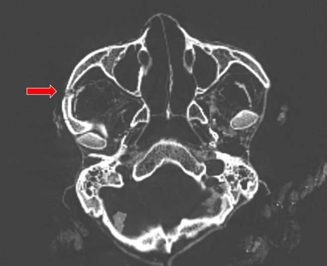
Từ các đặc điểm xương và kết quả phân tích xác ướp bằng phương pháp chụp cắt lớp vi tính 3D (3D-CT), nhóm nghiên cứu ước tính người đàn ông qua đời khi khoảng 20 - 25 tuổi, cao khoảng 1,72m.
Từ các đặc điểm xương và kết quả phân tích xác ướp bằng phương pháp chụp cắt lớp vi tính 3D (3D-CT), nhóm nghiên cứu ước tính người đàn ông qua đời khi khoảng 20 - 25 tuổi, cao khoảng 1,72m.
Sau khi qua đời, người đàn ông được chôn ở tư thế ngồi xổm. Một số chiếc răng của người này còn nguyên vẹn cho thấy độ mài mòn thường gặp ở những người dùng ngô như nguồn thức ăn chính trong suốt thời gian dài.
Sau khi qua đời, người đàn ông được chôn ở tư thế ngồi xổm. Một số chiếc răng của người này còn nguyên vẹn cho thấy độ mài mòn thường gặp ở những người dùng ngô như nguồn thức ăn chính trong suốt thời gian dài.
Phổi của người đàn ông có vết sẹo do từng mắc bệnh lao nặng nhưng không phải nguyên nhân tử vong. Nhóm nghiên cứu nhận định nguyên nhân dẫn tới cái chết của người này đến từ hành vi bạo lực.
Phổi của người đàn ông có vết sẹo do từng mắc bệnh lao nặng nhưng không phải nguyên nhân tử vong. Nhóm nghiên cứu nhận định nguyên nhân dẫn tới cái chết của người này đến từ hành vi bạo lực.
Cụ thể, kết quả phân tích bằng 3D-CT chỉ ra người đàn ông trên tử vong do cú đánh chí mạng vào đầu và bị đâm vào lưng trong lúc đang đứng hoặc quỳ. Những vết thương nghiêm trọng này gây ra bởi một hoặc hai kẻ tấn công vào khoảng năm 996 - 1147.
Cụ thể, kết quả phân tích bằng 3D-CT chỉ ra người đàn ông trên tử vong do cú đánh chí mạng vào đầu và bị đâm vào lưng trong lúc đang đứng hoặc quỳ. Những vết thương nghiêm trọng này gây ra bởi một hoặc hai kẻ tấn công vào khoảng năm 996 - 1147.
Mời độc giả xem video: Bí ẩn hình xăm trên cánh tay xác ướp công chúa 2.500 tuổi.

GALLERY MỚI NHẤT

Amazon sa thải 30.000 nhân viên vì AI

Amazon sa thải 30.000 nhân viên vì AI

Amazon bước vào cuộc tái cấu trúc lớn nhất lịch sử, sa thải 30.000 nhân viên và yêu cầu 80% lập trình viên phải dùng AI mỗi tuần để tăng hiệu suất.