Những trường hợp mọc răng kỳ quặc nhất thế giới

Những trường hợp mọc răng kỳ quặc nhất thế giới

(Kiến Thức) - Trường hợp cậu bé có 300 chiếc răng mọc trong miệng không phải là trường hợp mọc răng kỳ quặc và đáng sợ duy nhất trên thế giới.

Cậu bé có 300 cái răng mọc trong miệng khiến hàng triệu người khắp thế giới sửng sốt là Johncris Carl Quirante sống tại Cebu, Philippines.
Cậu bé có 300 cái răng mọc trong miệng khiến hàng triệu người khắp thế giới sửng sốt là Johncris Carl Quirante sống tại Cebu, Philippines.
Mới đây Johncris vừa trải qua một cuộc phẫu thuật để lấy bớt 40 răng trong khoang miệng. Cuộc phẫu thuật đã thành công và cậu bé đang hồi phục nhanh chóng.
Mới đây Johncris vừa trải qua một cuộc phẫu thuật để lấy bớt 40 răng trong khoang miệng. Cuộc phẫu thuật đã thành công và cậu bé đang hồi phục nhanh chóng.
Tuy nhiên theo các bác sĩ, việc phẫu thuật vẫn chưa thể dừng lại. John sẽ tiếp tục phải trải qua thêm 7 lần phẫu thuật nữa cho đến khi miệng trở lại bình thường. Theo các bác sĩ, để xử lý bộ răng 300 chiếc của cậu bé phải mất đến 4 năm.
Tuy nhiên theo các bác sĩ, việc phẫu thuật vẫn chưa thể dừng lại. John sẽ tiếp tục phải trải qua thêm 7 lần phẫu thuật nữa cho đến khi miệng trở lại bình thường. Theo các bác sĩ, để xử lý bộ răng 300 chiếc của cậu bé phải mất đến 4 năm.
Người đàn ông mọc răng trong mũi: Trước đây, từng có trường hợp ông Trần 42 tuổi, sống tại thành phố Nam Kinh, Trung Quốc cũng mắc phải căn bệnh kỳ lạ về răng. Trong mũi ông bỗng nhiên mọc ra một chiếc răng dài 1,5cm, rộng 0,5cm.
Người đàn ông mọc răng trong mũi: Trước đây, từng có trường hợp ông Trần 42 tuổi, sống tại thành phố Nam Kinh, Trung Quốc cũng mắc phải căn bệnh kỳ lạ về răng. Trong mũi ông bỗng nhiên mọc ra một chiếc răng dài 1,5cm, rộng 0,5cm.
Sau đó các bác sĩ tại bệnh viện Tai mũi họng Giang Tô đã tiến hành phẫu thuật lấy chiếc răng mọc sai vị trí cho người đàn ông này.
Sau đó các bác sĩ tại bệnh viện Tai mũi họng Giang Tô đã tiến hành phẫu thuật lấy chiếc răng mọc sai vị trí cho người đàn ông này.
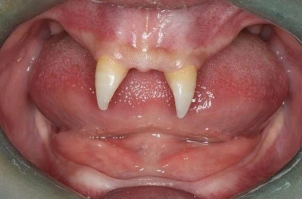
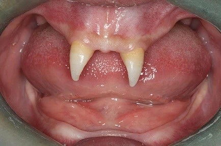
Cậu bé 16 tuổi chỉ mọc 2 răng nanh: Đó là một cậu bé 16 tuổi người Trung Quốc. Cậu bé này chỉ mọc 2 cái răng trước sắc và nhọn trông như răng của ma cà rồng chuyên hút máu người trong truyền thuyết.
Cậu bé 16 tuổi chỉ mọc 2 răng nanh: Đó là một cậu bé 16 tuổi người Trung Quốc. Cậu bé này chỉ mọc 2 cái răng trước sắc và nhọn trông như răng của ma cà rồng chuyên hút máu người trong truyền thuyết.
Theo lời các bác sỹ, cậu bé Trương Thành mắc một bệnh lạ nghiêm trọng và hiếm gặp và thường gặp phải ở nam giới. Người mắc chứng bệnh này sẽ ít toát mồ hôi và lông mọc ít hơn người bình thường.
Theo lời các bác sỹ, cậu bé Trương Thành mắc một bệnh lạ nghiêm trọng và hiếm gặp và thường gặp phải ở nam giới. Người mắc chứng bệnh này sẽ ít toát mồ hôi và lông mọc ít hơn người bình thường.
Bé 8 tuổi mọc răng kiểu cá mập: Đó là tình trạng xảy ra với cậu bé Zak Brown ở West Yorkshire, Anh. Cậu bé này có hai hàng răng mọc dị thường ở cả hàm trên và hàm dưới, sau khi các răng sữa của em không rụng đi khi những răng vĩnh viễn trồi ra khỏi lợi và khiến em có hàm răng thứ 2 như cá mập.
Bé 8 tuổi mọc răng kiểu cá mập: Đó là tình trạng xảy ra với cậu bé Zak Brown ở West Yorkshire, Anh. Cậu bé này có hai hàng răng mọc dị thường ở cả hàm trên và hàm dưới, sau khi các răng sữa của em không rụng đi khi những răng vĩnh viễn trồi ra khỏi lợi và khiến em có hàm răng thứ 2 như cá mập.
Mặc dù các hàng răng mọc lệch hiện không gây đau đớn và Zak cũng không gặp khó khăn gì với việc ăn uống, nhưng chúng đang bắt đầu ảnh hưởng đôi chút tới cách phát âm của cậu bé, do có quá nhiều răng trong miệng. Để giải quyết vấn đề, theo các chuyên gia, Zak cần phải được nhổ các răng sữa để nhường chỗ mọc cho các răng trưởng thành khác. Cậu bé sau đó có thể sẽ cần phải dùng cả niềng răng.
Mặc dù các hàng răng mọc lệch hiện không gây đau đớn và Zak cũng không gặp khó khăn gì với việc ăn uống, nhưng chúng đang bắt đầu ảnh hưởng đôi chút tới cách phát âm của cậu bé, do có quá nhiều răng trong miệng. Để giải quyết vấn đề, theo các chuyên gia, Zak cần phải được nhổ các răng sữa để nhường chỗ mọc cho các răng trưởng thành khác. Cậu bé sau đó có thể sẽ cần phải dùng cả niềng răng.

GALLERY MỚI NHẤT