Kinh hoàng búi tóc "khổng lồ" trong bụng bé 4 tuổi

Kinh hoàng búi tóc "khổng lồ" trong bụng bé 4 tuổi

(Kiến Thức) - Bác sĩ phẫu thuật đã loại bỏ một búi tóc có khối lượng và trọng lượng "khổng lồ" trong bụng cậu bé Ấn Độ 4 tuổi.

Cậu bé Sivam Kumar được chẩn đoán mắc bệnh hiếm “hội chứng Rapunzel”, một chứng bệnh khiến cho người bệnh luôn cảm thấy muốn nhổ và nuốt tóc của chính mình gây nên những triệu chứng như đau bụng, nôn mửa, chán ăn, mệt mỏi, sụt cân và có khối u tóc trong bụng. Bệnh nhân mắc hội chứng hiếm gặp này hầu hết mang một khối u toàn là tóc đã nuốt dẫn đến nguy cơ tắc ruột.
Cậu bé Sivam Kumar được chẩn đoán mắc bệnh hiếm “hội chứng Rapunzel”, một chứng bệnh khiến cho người bệnh luôn cảm thấy muốn nhổ và nuốt tóc của chính mình gây nên những triệu chứng như đau bụng, nôn mửa, chán ăn, mệt mỏi, sụt cân và có khối u tóc trong bụng. Bệnh nhân mắc hội chứng hiếm gặp này hầu hết mang một khối u toàn là tóc đã nuốt dẫn đến nguy cơ tắc ruột.
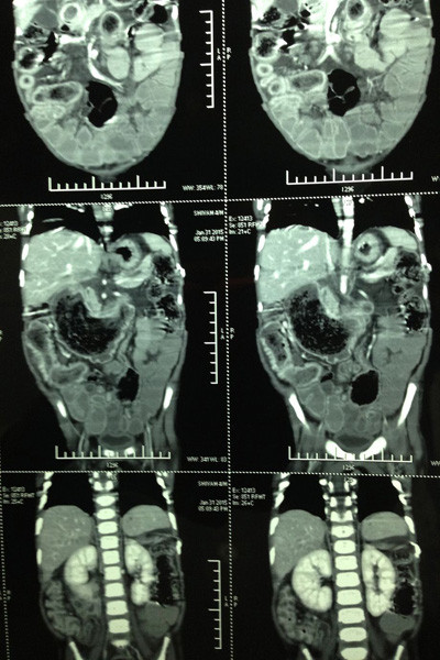
Cha của bé, ông Sunil Kumar, 36 tuổi, nói: "Con tôi khóc cả ngày và làm cách nào bé cũng không ngừng khóc. Chúng tôi đã đưa con đến gặp bác sỹ nhưng họ không thể chẩn đoán ra bệnh”. Thậm chí, một bác sỹ gần nhà đã nói bé bị nhiễm trùng dạ dày và kê đơn uống thuốc. Sau đó, bụng của bé phình ra bất thường. Cuối cùng, tiến sỹ y khoa Shilpa Sharma đã cho chụp CT và phát hiện một búi tóc lớn trong dạ dày bé. Họ đã không thể tin được, búi tóc dài hơn 1,2m.
Cha của bé, ông Sunil Kumar, 36 tuổi, nói: "Con tôi khóc cả ngày và làm cách nào bé cũng không ngừng khóc. Chúng tôi đã đưa con đến gặp bác sỹ nhưng họ không thể chẩn đoán ra bệnh”. Thậm chí, một bác sỹ gần nhà đã nói bé bị nhiễm trùng dạ dày và kê đơn uống thuốc. Sau đó, bụng của bé phình ra bất thường. Cuối cùng, tiến sỹ y khoa Shilpa Sharma đã cho chụp CT và phát hiện một búi tóc lớn trong dạ dày bé. Họ đã không thể tin được, búi tóc dài hơn 1,2m.
Thật nguy hiểm vì nếu để lâu hơn, búi tóc sẽ chiếm hết không khí trong khoang bụng và nguy cơ cậu bé sẽ không thể sống được. Tóc đã đi từ dạ dày và ruột, khi bác sỹ lấy tóc ra, nó đã cuộn thành hình như một cái dạ dày.
Thật nguy hiểm vì nếu để lâu hơn, búi tóc sẽ chiếm hết không khí trong khoang bụng và nguy cơ cậu bé sẽ không thể sống được. Tóc đã đi từ dạ dày và ruột, khi bác sỹ lấy tóc ra, nó đã cuộn thành hình như một cái dạ dày.
Bé Sivam đã ăn tóc của mình trong 9 tháng và thường xuyên bị nôn mửa. Bé cũng không thể ăn uống bình thường, cuối cùng dẫn đến suy dinh dưỡng và mất nước.
Bé Sivam đã ăn tóc của mình trong 9 tháng và thường xuyên bị nôn mửa. Bé cũng không thể ăn uống bình thường, cuối cùng dẫn đến suy dinh dưỡng và mất nước.
“Tôi đã nhìn thấy Sivam rứt tóc và bỏ vào miệng nhai. Song tôi nghĩ là không vấn đề gì vì nó sẽ đi ra theo đường phân. Không ngờ con lại ăn tóc trong vòng 9 tháng”. Bà mẹ nức nở. “Tạ ơn chúa là con tôi vẫn còn sống được và bây giờ sức khỏe đã tạm ổn”. Họ đã quyết định cạo trọc đầu Sivam để nguy hiểm không xảy ra một lần nữa.
“Tôi đã nhìn thấy Sivam rứt tóc và bỏ vào miệng nhai. Song tôi nghĩ là không vấn đề gì vì nó sẽ đi ra theo đường phân. Không ngờ con lại ăn tóc trong vòng 9 tháng”. Bà mẹ nức nở. “Tạ ơn chúa là con tôi vẫn còn sống được và bây giờ sức khỏe đã tạm ổn”. Họ đã quyết định cạo trọc đầu Sivam để nguy hiểm không xảy ra một lần nữa.
Tiến sỹ Shilpa cho biết, cậu bé Sivam là 1 trong 4 trường hợp trên thế giới bị hội chứng hiếm gặp này và hầu hết thường gặp ở các bé gái tuổi teen. Bác sỹ sẽ phải can thiệp bằng biện pháp tâm lý để làm cho các bé không thèm tóc nữa.
Tiến sỹ Shilpa cho biết, cậu bé Sivam là 1 trong 4 trường hợp trên thế giới bị hội chứng hiếm gặp này và hầu hết thường gặp ở các bé gái tuổi teen. Bác sỹ sẽ phải can thiệp bằng biện pháp tâm lý để làm cho các bé không thèm tóc nữa.
http://www.mirror.co.uk/news/world-news/surgeons-remove-huge-hairball-stomach-5338639

GALLERY MỚI NHẤT

Hàng nghìn người hưởng ứng “Hành động Xanh - Chọn tương lai Xanh”

Hàng nghìn người hưởng ứng “Hành động Xanh - Chọn tương lai Xanh”

Sáng 4/4, hàng nghìn người dân và thanh niên trên khắp cả nước cùng tham gia hoạt động dọn dẹp vệ sinh khu phố và thu gom đồ dùng cũ, hưởng ứng lời kêu gọi “Hành động Xanh - Chọn tương lai Xanh” do Quỹ Vì Tương lai xanh do Tập đoàn Vingroup phát động. Đây là một trong những hoạt động tiêu biểu mở màn cho chuỗi chiến dịch “Thứ 4 Ngày Xanh” được Quỹ triển khai xuyên suốt năm 2026 với thông điệp “Hành động Xanh - Chọn tương lai Xanh”.