Ho kiểu này, ung thư phổi đang “rình rập” bạn

Ho kiểu này, ung thư phổi đang “rình rập” bạn

Ho dai dẳng có thể là dấu hiệu cảnh báo bạn mắc ung thư phổi. Bác sĩ khuyên nên đi khám để có thể phát hiện bệnh sớm, đem lại hiệu quả điều trị.

The Sun đưa tin, năm 2021, ung thư phổi là nguyên nhân gây tử vong nhiều thứ 5 ở nước Anh, với 26.410 trường hợp tử vong. Ảnh: Boldsky.
The Sun đưa tin, năm 2021, ung thư phổi là nguyên nhân gây tử vong nhiều thứ 5 ở nước Anh, với 26.410 trường hợp tử vong. Ảnh: Boldsky.
Hiện tại, một chiến dịch mới được khởi động với hy vọng sẽ có thêm nhiều người được phát hiện ung thư phổi sớm hơn. Ảnh: Boldsky.
Hiện tại, một chiến dịch mới được khởi động với hy vọng sẽ có thêm nhiều người được phát hiện ung thư phổi sớm hơn. Ảnh: Boldsky.
Theo đó, Dịch vụ Y tế Quốc gia Anh (NHS) kêu gọi những người có các triệu chứng như ho dai dẳng kéo dài hãy đi khám sớm, bởi theo các chuyên gia y tế, việc phát hiện bệnh sớm giúp ích cho quá trình điều trị bất cứ loại ung thư nào. Ảnh: Wikipedia.
Theo đó, Dịch vụ Y tế Quốc gia Anh (NHS) kêu gọi những người có các triệu chứng như ho dai dẳng kéo dài hãy đi khám sớm, bởi theo các chuyên gia y tế, việc phát hiện bệnh sớm giúp ích cho quá trình điều trị bất cứ loại ung thư nào. Ảnh: Wikipedia.
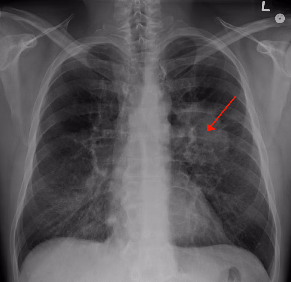
Đặc biệt là bệnh ung thư phổi rất khó phát hiện trong giai đoạn đầu. Ảnh: SCC.
Đặc biệt là bệnh ung thư phổi rất khó phát hiện trong giai đoạn đầu. Ảnh: SCC.
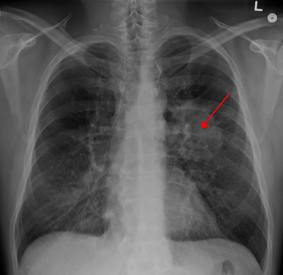
Nhiều người có thể nghĩ rằng, ho dai dẳng chỉ là do bị cảm lạnh hoặc triệu chứng của COVID-19 nhưng các bác sĩ cảnh báo, bạn không được chủ quan, bỏ qua dấu hiệu này. Ảnh: Express.
Nhiều người có thể nghĩ rằng, ho dai dẳng chỉ là do bị cảm lạnh hoặc triệu chứng của COVID-19 nhưng các bác sĩ cảnh báo, bạn không được chủ quan, bỏ qua dấu hiệu này. Ảnh: Express.
Nếu bạn bị ho kéo dài từ hai đến ba tuần kèm khó thở, hãy đến gặp bác sĩ sớm. Ảnh: DE.
Nếu bạn bị ho kéo dài từ hai đến ba tuần kèm khó thở, hãy đến gặp bác sĩ sớm. Ảnh: DE.
Cally Palmer, giám đốc quốc gia về ung thư của NHS Anh, cho biết: "Thực tế, hầu hết những người được chẩn đoán sớm mắc bệnh ung thư phổi đều sống sót. Vì vậy, mọi người cần phải nhận thức được các triệu chứng và điều trị càng sớm càng tốt". Ảnh: DE.
Cally Palmer, giám đốc quốc gia về ung thư của NHS Anh, cho biết: "Thực tế, hầu hết những người được chẩn đoán sớm mắc bệnh ung thư phổi đều sống sót. Vì vậy, mọi người cần phải nhận thức được các triệu chứng và điều trị càng sớm càng tốt". Ảnh: DE.
Ung thư phổi có thể chữa được, nếu phát hiện sớm. Tháng trước, NHS đã công bố một phương pháp điều trị đột phá cho những người mắc bệnh ung thư này, dự kiến mang lại lợi ích cho khoảng 1.000 bệnh nhân mỗi năm ở Anh. Ảnh: RC.
Ung thư phổi có thể chữa được, nếu phát hiện sớm. Tháng trước, NHS đã công bố một phương pháp điều trị đột phá cho những người mắc bệnh ung thư này, dự kiến mang lại lợi ích cho khoảng 1.000 bệnh nhân mỗi năm ở Anh. Ảnh: RC.
Tiến sĩ Tim Woodman cho biết, bất cứ ai cũng có thể bị ung thư phổi, chứ không chỉ những người hút thuốc. Ảnh: NDTV.
Tiến sĩ Tim Woodman cho biết, bất cứ ai cũng có thể bị ung thư phổi, chứ không chỉ những người hút thuốc. Ảnh: NDTV.
"Hút thuốc là nguyên nhân lớn nhất gây ra ung thư phổi. Cứ 10 trường hợp thì có đến 9 người hút thuốc. Nguy cơ ung thư phổi liên quan đến mức độ, thời gian và thời điểm bạn bắt đầu hút thuốc. Nó cũng phụ thuộc vào loại thuốc lá bạn hút. Bạn có nguy cơ phát triển ung thư phổi cao hơn nếu bạn thường xuyên hít phải khói thuốc của người khác (hút thuốc lá thụ động), vì vậy, tốt nhất hãy giữ cho môi trường xung quanh bạn không có khói thuốc", Tiến sĩ Woodman nói. Ảnh: CC.
"Hút thuốc là nguyên nhân lớn nhất gây ra ung thư phổi. Cứ 10 trường hợp thì có đến 9 người hút thuốc. Nguy cơ ung thư phổi liên quan đến mức độ, thời gian và thời điểm bạn bắt đầu hút thuốc. Nó cũng phụ thuộc vào loại thuốc lá bạn hút. Bạn có nguy cơ phát triển ung thư phổi cao hơn nếu bạn thường xuyên hít phải khói thuốc của người khác (hút thuốc lá thụ động), vì vậy, tốt nhất hãy giữ cho môi trường xung quanh bạn không có khói thuốc", Tiến sĩ Woodman nói. Ảnh: CC.
M ời độc giả xem thêm video: 70% bệnh nhân ung thư gan được phát hiện muộn (Nguồn video: THĐT)

GALLERY MỚI NHẤT

Fallout 3 Remastered lộ diện bất ngờ

Fallout 3 Remastered lộ diện bất ngờ

Danh sách đồ chơi McFarlane bất ngờ hé lộ Fallout 3 Remastered, khiến cộng đồng game thủ tin rằng ngày ra mắt chính thức của siêu phẩm này không còn xa.

Apple tính biến Siri thành chatbot AI

Apple tính biến Siri thành chatbot AI

Apple được cho là sẽ nâng cấp Siri thành chatbot thông minh, mở ra cơ hội định hình lại cách người dùng tương tác với iPhone trong tương lai.

Bảng màu Thời kỳ Đồ Đá Mới

Bảng màu Thời kỳ Đồ Đá Mới

Gần đây, tại địa điểm khảo cổ làng Sơn Tây (Trung Quốc), có một số phát hiện mới bao gồm cả bảng pha màu Thời kỳ Đồ Đá Mới, tiết lộ nhiều sự thật thú vị.