Hình ảnh 3D bàn chân chấn thương do đi giày cao gót

Hình ảnh 3D bàn chân chấn thương do đi giày cao gót

(Kiến Thức) - Dường như ai cũng biết có sự liên quan giữa giày cao gót và đau chân, nhưng đây là những hình ảnh 3D có thể nhìn thấy tác động của giày cao gót đối với bàn chân trong một hình ảnh và thời gian rất thực.

Lần đầu tiên các chuyên gia của Bệnh viện Chỉnh hình Quốc gia Hoàng gia tại bắc London, Anh, đã sử dụng công nghệ mới để xem bàn chân và mắt cá chân qua hình ảnh 3D.
Lần đầu tiên các chuyên gia của Bệnh viện Chỉnh hình Quốc gia Hoàng gia tại bắc London, Anh, đã sử dụng công nghệ mới để xem bàn chân và mắt cá chân qua hình ảnh 3D.
Bệnh nhân đứng trước máy quét, có thể mang giày hoặc để chân trần, để cho hàng trăm máy X-quang 2D chụp đôi bàn chân của họ.
Bệnh nhân đứng trước máy quét, có thể mang giày hoặc để chân trần, để cho hàng trăm máy X-quang 2D chụp đôi bàn chân của họ.
Những hình ảnh này sau đó được kết hợp để tạo ra một hình ảnh 3D từ mọi góc độ chỉ trong 60 giây.
Những hình ảnh này sau đó được kết hợp để tạo ra một hình ảnh 3D từ mọi góc độ chỉ trong 60 giây.
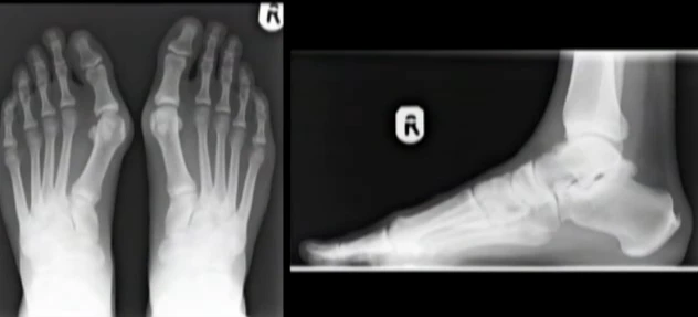
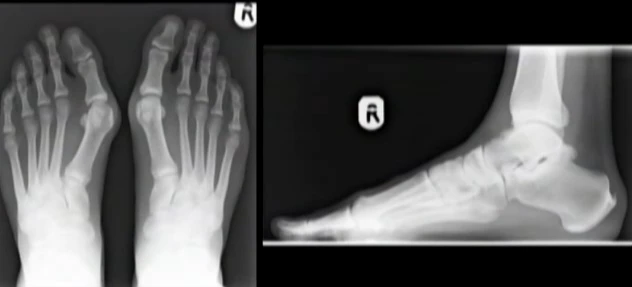
Hình ảnh chụp X-quang xương bàn chân bị tổn thương do đi giày cao gót.
Hình ảnh chụp X-quang xương bàn chân bị tổn thương do đi giày cao gót.
Với sự trợ giúp của máy quét, các chuyên gia tại bệnh viện đã có thể thấy rằng mang chiếc giày cao gót buộc bàn bàn chân phải ép vào một hình dạng không tự nhiên.
Với sự trợ giúp của máy quét, các chuyên gia tại bệnh viện đã có thể thấy rằng mang chiếc giày cao gót buộc bàn bàn chân phải ép vào một hình dạng không tự nhiên.
Điều này sẽ khiến bàn chân bị đau và tổn thương kéo dài, đặc biệt nếu thường xuyên sử dụng giày cao gót.
Điều này sẽ khiến bàn chân bị đau và tổn thương kéo dài, đặc biệt nếu thường xuyên sử dụng giày cao gót.
Đi giày cao gót khiến đôi chân bạn không được tự do, xương bàn chân bị ép theo khuôn dẫn đến dễ bị dị dạng.
Đi giày cao gót khiến đôi chân bạn không được tự do, xương bàn chân bị ép theo khuôn dẫn đến dễ bị dị dạng.
Từ những minh họa 3D này, các chuyên gia đều khuyến cáo phụ nữ chỉ nên đi những đôi giày cao gót vừa phải.
Từ những minh họa 3D này, các chuyên gia đều khuyến cáo phụ nữ chỉ nên đi những đôi giày cao gót vừa phải.
Phần xương chân bị tổn thương do đi giày cao gót được minh họa bằng hình ảnh 3D.
Phần xương chân bị tổn thương do đi giày cao gót được minh họa bằng hình ảnh 3D.

GALLERY MỚI NHẤT