Điều khủng khiếp xảy ra do lười đánh răng nhiều ngày

Điều khủng khiếp xảy ra do lười đánh răng nhiều ngày

(Kiến Thức) - Không đánh răng nhiều ngày, bạn có thể đối diện với bệnh hiểm như viêm phổi, rối loạn cương dương.

Viêm phổi. Viêm phổi là một trong những hậu quả đáng sợ của việc lười đánh răng nhiều ngày. Hơi thở hôi cùng thức ăn còn đọng lại trong miệng phân rã trở thành nơi lý tưởng cho vi khuẩn ẩn nấp.
Viêm phổi. Viêm phổi là một trong những hậu quả đáng sợ của việc lười đánh răng nhiều ngày. Hơi thở hôi cùng thức ăn còn đọng lại trong miệng phân rã trở thành nơi lý tưởng cho vi khuẩn ẩn nấp.
Quá trình hô hấp bạn có thể hít những vi khuẩn có hại vào trong phổi gây nhiễm trùng, viêm phổi.
Quá trình hô hấp bạn có thể hít những vi khuẩn có hại vào trong phổi gây nhiễm trùng, viêm phổi.
Rối loạn cương dương. Ít ai biết rằng lười vệ sinh răng miệng có ảnh hưởng không nhỏ đến khả năng cương dương của đàn ông.
Rối loạn cương dương. Ít ai biết rằng lười vệ sinh răng miệng có ảnh hưởng không nhỏ đến khả năng cương dương của đàn ông.
Thực tế lười đánh răng khiến bạn dễ bị viêm nhiễm, cần dùng tới các loại thuốc đặc trị, ảnh hưởng đến ham muốn tình dục. Mặt khác, “quên” vệ sinh răng khiến hơi thở hôi, người đối diện không mấy thiện cảm khi tiếp xúc, khó có thể hòa cùng nhịp “yêu”.
Thực tế lười đánh răng khiến bạn dễ bị viêm nhiễm, cần dùng tới các loại thuốc đặc trị, ảnh hưởng đến ham muốn tình dục. Mặt khác, “quên” vệ sinh răng khiến hơi thở hôi, người đối diện không mấy thiện cảm khi tiếp xúc, khó có thể hòa cùng nhịp “yêu”.
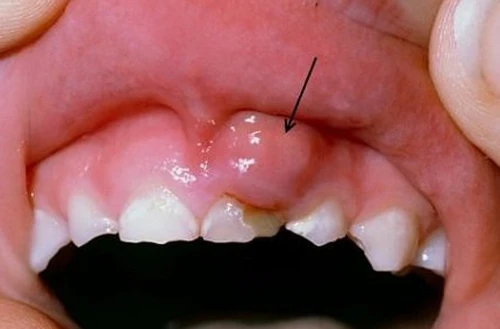
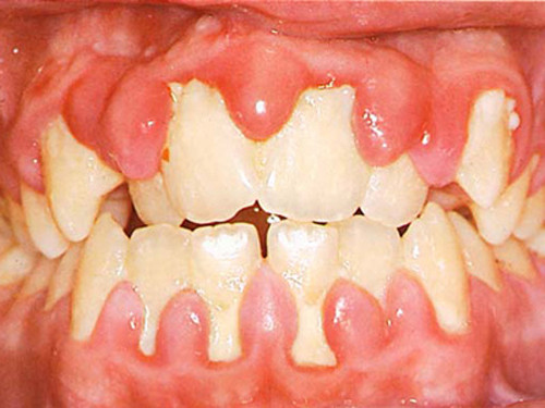
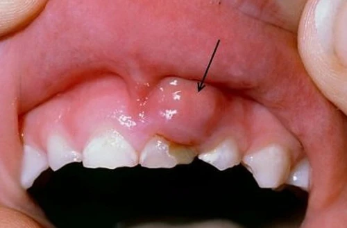
Mắc các bệnh về nướu. Nướu đảm nhận vai trò giữ răng “bám trụ” thật chắc. Việc không chăm sóc chúng sạch sẽ khiến bạn dễ đối diện các vấn đề về nướu như chảy mủ.
Mắc các bệnh về nướu. Nướu đảm nhận vai trò giữ răng “bám trụ” thật chắc. Việc không chăm sóc chúng sạch sẽ khiến bạn dễ đối diện các vấn đề về nướu như chảy mủ.
Bên cạnh đó, nướu răng sẽ trở nên ngày càng yếu hơn nếu khâu vệ sinh kém, dễ bị viêm nhiễm. Về lâu dài tình trạng này có thể khiến răng bị rụng không thể đảm bảo việc nhai nuốt.
Bên cạnh đó, nướu răng sẽ trở nên ngày càng yếu hơn nếu khâu vệ sinh kém, dễ bị viêm nhiễm. Về lâu dài tình trạng này có thể khiến răng bị rụng không thể đảm bảo việc nhai nuốt.
Rụng răng. Rụng răng là kết quả thấy rõ khi mắc các bệnh về lợi. Lúc này, răng bắt đầu rụng cùng cảm giác đau nhức vô cùng. Thiếu 1 – 2 răng có thể không khiến bạn cảm nhận rõ rệt song mất nhiều hơn sẽ khiến thú vui ăn uống của bạn tiêu tan.
Rụng răng. Rụng răng là kết quả thấy rõ khi mắc các bệnh về lợi. Lúc này, răng bắt đầu rụng cùng cảm giác đau nhức vô cùng. Thiếu 1 – 2 răng có thể không khiến bạn cảm nhận rõ rệt song mất nhiều hơn sẽ khiến thú vui ăn uống của bạn tiêu tan.
Hơi thở hôi. Ngoài việc lười đánh răng, đánh răng không đúng cách cũng làm hơi thở của bạn khiến người khác khó chịu.
Hơi thở hôi. Ngoài việc lười đánh răng, đánh răng không đúng cách cũng làm hơi thở của bạn khiến người khác khó chịu.
Chính lượng thức ăn còn sót lại trong miệng bị vi khuẩn tấn công dẫn đến mùi hôi. Càng lười vệ sinh răng miệng thì hơi thở của bạn càng dễ làm phiền người khác. Ảnh hưởng không nhỏ đến hiệu quả quá trình giao tiếp.
Chính lượng thức ăn còn sót lại trong miệng bị vi khuẩn tấn công dẫn đến mùi hôi. Càng lười vệ sinh răng miệng thì hơi thở của bạn càng dễ làm phiền người khác. Ảnh hưởng không nhỏ đến hiệu quả quá trình giao tiếp.

GALLERY MỚI NHẤT