Dấu hiệu của ung thư môi bạn không nên coi thường

Dấu hiệu của ung thư môi bạn không nên coi thường

(Kiến Thức) - Ung thư môi là một loại ung thư khoang miệng ít phổ biến nhưng vô cùng nguy hiểm. Nếu bạn có những dấu hiệu dưới đây, bạn nên đi khám bác sĩ ngay bởi có thể bạn đã mắc ung thư môi, khoang miệng.
 

Một trong những triệu chứng thường thấy của ung thư môi là việc xuất hiện các vết loét khó lành, thường ở dạng cục mảng trắng trên môi hoặc vị trí quanh miệng, dễ gây cảm giác đau đớn. Ảnh: vienyhocungdung.
Một trong những triệu chứng thường thấy của ung thư môi là việc xuất hiện các vết loét khó lành, thường ở dạng cục mảng trắng trên môi hoặc vị trí quanh miệng, dễ gây cảm giác đau đớn. Ảnh: vienyhocungdung.
Nếu bạn bị những triệu chứng trên kéo dài hơn 2 tuần không khỏi dù đã sử dụng thuốc và các biện pháp điều trị khác thì có thể đây là dấu hiệu cảnh báo bệnh ung thư. Ảnh: benhvienk.
Nếu bạn bị những triệu chứng trên kéo dài hơn 2 tuần không khỏi dù đã sử dụng thuốc và các biện pháp điều trị khác thì có thể đây là dấu hiệu cảnh báo bệnh ung thư. Ảnh: benhvienk.
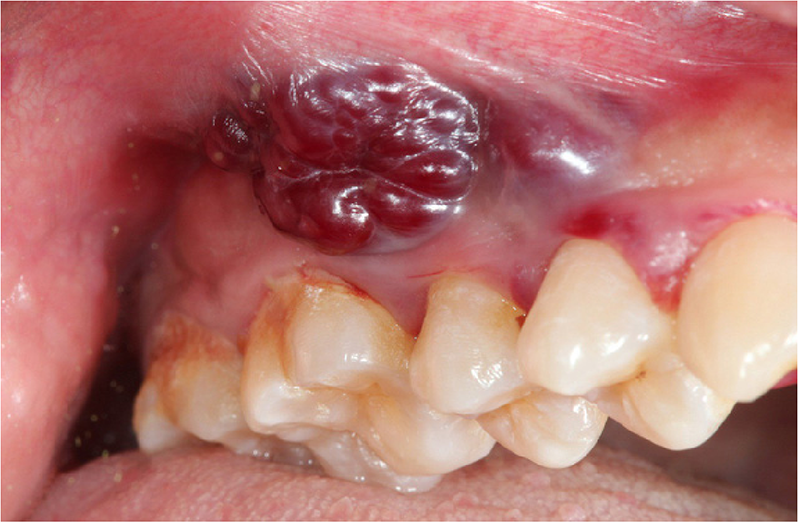
Xuất hiện khối u ở vùng môi hoặc trong toàn bộ khoang miệng, cổ họng cũng là một dấu hiệu của ung thư môi bạn cần lưu ý. Ảnh: dkn.
Xuất hiện khối u ở vùng môi hoặc trong toàn bộ khoang miệng, cổ họng cũng là một dấu hiệu của ung thư môi bạn cần lưu ý. Ảnh: dkn.
Thay đổi màu sắc da môi là một dấu hiệu khác của ung thư môi. Ảnh: ungthuvietnam.
Thay đổi màu sắc da môi là một dấu hiệu khác của ung thư môi. Ảnh: ungthuvietnam.
Khi các tế bào ung thư môi phát triển thì vùng da môi có thể chuyển sang màu nhợt hơn hoặc đen sạm lại. Ảnh: amazonaws.
Khi các tế bào ung thư môi phát triển thì vùng da môi có thể chuyển sang màu nhợt hơn hoặc đen sạm lại. Ảnh: amazonaws.
Ngoài ra, khi bị ung thư môi, một vị trí nào đó tại xương hàm có thể sưng to, làm cho mặt bị lệch. Ảnh: namlimxanh.
Ngoài ra, khi bị ung thư môi, một vị trí nào đó tại xương hàm có thể sưng to, làm cho mặt bị lệch. Ảnh: namlimxanh.
Khi bị ung thư môi, hiện tượng đột nhiên răng lung lay, rụng cũng có thể xuất hiện. Khi nhai đồ ăn sẽ cảm thấy khó khăn, vùng khoang mũi họng tê, đau. Ảnh: cafefcdn.
Khi bị ung thư môi, hiện tượng đột nhiên răng lung lay, rụng cũng có thể xuất hiện. Khi nhai đồ ăn sẽ cảm thấy khó khăn, vùng khoang mũi họng tê, đau. Ảnh: cafefcdn.
Cảm giác tê, ngứa ran, đau hoặc dị cảm trong môi không rõ lý do cũng có thể là một trong những triệu chứng của ung thư môi. Ảnh: medlatec.
Cảm giác tê, ngứa ran, đau hoặc dị cảm trong môi không rõ lý do cũng có thể là một trong những triệu chứng của ung thư môi. Ảnh: medlatec.
Đặc biệt, nếu hạch vùng cổ đột ngột sưng to, bạn cần tiến hành chụp CT để kiểm tra có phải hạch do ung thư môi hay không. Ảnh: suckhoehangngay.
Đặc biệt, nếu hạch vùng cổ đột ngột sưng to, bạn cần tiến hành chụp CT để kiểm tra có phải hạch do ung thư môi hay không. Ảnh: suckhoehangngay.

GALLERY MỚI NHẤT

Sai lầm khi dùng tai nghe nhét tai

Sai lầm khi dùng tai nghe nhét tai

Tai nghe nhét tai tiện lợi nhưng dễ tích tụ bụi bẩn, vi khuẩn. Vệ sinh sai cách hoặc bỏ qua thói quen này có thể ảnh hưởng đến sức khỏe tai.