Chảy máu ở các bộ phận này, đừng coi thường vì có thể là bệnh nguy hiểm

Chảy máu ở các bộ phận này, đừng coi thường vì có thể là bệnh nguy hiểm

(Kiến Thức) - Những dấu hiệu chảy máu ở các bộ phận bất thường bạn đừng coi thường vì nó báo trước những bệnh vô cùng nguy hiểm sau đây.

1. Chảy máu mũi sau. Hiện tượng chảy máu mũi sau thường liên quan đến các mạch máu lớn, có xu hướng xảy ra ở những người bị xơ vữa động mạch, những người có rối loạn chảy máu, những người đã từng phẫu thuật mũi hoặc xoang. Ảnh: duocvanxua.com.vn.
1. Chảy máu mũi sau. Hiện tượng chảy máu mũi sau thường liên quan đến các mạch máu lớn, có xu hướng xảy ra ở những người bị xơ vữa động mạch, những người có rối loạn chảy máu, những người đã từng phẫu thuật mũi hoặc xoang. Ảnh: duocvanxua.com.vn.
Cũng có thể liên quan đến một số bệnh ung thư như: ung thư mũi, ung thư vòm họng, bệnh bạch cầu lympho mãn tính (CLL), u lympho Hodgkin, nhiễm trùng mũi, hội chứng Rendu-Osler-Weber… Ảnh: byexoang.vn.
Cũng có thể liên quan đến một số bệnh ung thư như: ung thư mũi, ung thư vòm họng, bệnh bạch cầu lympho mãn tính (CLL), u lympho Hodgkin, nhiễm trùng mũi, hội chứng Rendu-Osler-Weber… Ảnh: byexoang.vn.
2. Đại tiện ra máu. Do bệnh trĩ: Việc có máu tươi kèm theo khi đại tiện là biểu hiện của bệnh trĩ. Bên cạnh việc chảy máu người bệnh còn có cảm giác râm ran ngứa, đau rát ở hậu môn, nếu bệnh trĩ ở giai đoạn nặng búi trĩ còn sa hẳn ra ngoài hậu môn.
2. Đại tiện ra máu. Do bệnh trĩ: Việc có máu tươi kèm theo khi đại tiện là biểu hiện của bệnh trĩ. Bên cạnh việc chảy máu người bệnh còn có cảm giác râm ran ngứa, đau rát ở hậu môn, nếu bệnh trĩ ở giai đoạn nặng búi trĩ còn sa hẳn ra ngoài hậu môn.
Do kẽ hậu môn bị viêm, nứt: Việc bị táo bón lâu ngày cũng gây chảy máu khi đại tiện do phải gắng sức rặn gây nứt và viêm nhiễm hậu môn. Ảnh: benhtrihn.vn.
Do kẽ hậu môn bị viêm, nứt: Việc bị táo bón lâu ngày cũng gây chảy máu khi đại tiện do phải gắng sức rặn gây nứt và viêm nhiễm hậu môn. Ảnh: benhtrihn.vn.
Do viêm loét đại trực tràng: Người bị mắc bệnh viêm loét đại trực tràng hiện tượng đi ngoài ra máu và có các biểu hiện khác như đau bụng và một số người còn thấy có cả chất nhầy lẫn trong phân. Ảnh: Daitrang.vn.
Do viêm loét đại trực tràng: Người bị mắc bệnh viêm loét đại trực tràng hiện tượng đi ngoài ra máu và có các biểu hiện khác như đau bụng và một số người còn thấy có cả chất nhầy lẫn trong phân. Ảnh: Daitrang.vn.
Do ung thư đại tràng: Những người bị ung thư đại tràng hiện tượng máu kèm theo khi đại tiện và thường dính theo phân. Ảnh: Daitrang.vn.
Do ung thư đại tràng: Những người bị ung thư đại tràng hiện tượng máu kèm theo khi đại tiện và thường dính theo phân. Ảnh: Daitrang.vn.
Do ung thư trực tràng: Đây là loại bệnh lý thường gặp ở những người cao tuổi. Những người mắc ung thư trực tràng sẽ có máu tươi chảy theo từng giọt hoặc tia khi đại tiện, hiện tượng chảy máu thường xảy ra trong khoảng một thời gian dài. Ảnh: VietQ.vn.
Do ung thư trực tràng: Đây là loại bệnh lý thường gặp ở những người cao tuổi. Những người mắc ung thư trực tràng sẽ có máu tươi chảy theo từng giọt hoặc tia khi đại tiện, hiện tượng chảy máu thường xảy ra trong khoảng một thời gian dài. Ảnh: VietQ.vn.
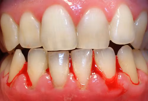
3. Chảy máu chân răng. Do bệnh tiểu đường: Căn bệnh về chuyển hóa liên quan đến mức độ sản xuất, hấp thụ đường và insulin trong máu. Nếu không chữa trị, bệnh tiểu đường có thể dẫn đến các vấn đề sức khỏe nghiêm trọng.
3. Chảy máu chân răng. Do bệnh tiểu đường: Căn bệnh về chuyển hóa liên quan đến mức độ sản xuất, hấp thụ đường và insulin trong máu. Nếu không chữa trị, bệnh tiểu đường có thể dẫn đến các vấn đề sức khỏe nghiêm trọng.
Do bệnh bạch cầu: Chảy máu chân răng có thể là biểu hiện của một dạng ung thư trong máu hoặc tủy xương biểu hiện là thiếu thành phần đông máu. Như vậy, chảy máu lợi có thể chỉ ra sự hiện diện của nó. Ảnh: chuaungthu.net.
Do bệnh bạch cầu: Chảy máu chân răng có thể là biểu hiện của một dạng ung thư trong máu hoặc tủy xương biểu hiện là thiếu thành phần đông máu. Như vậy, chảy máu lợi có thể chỉ ra sự hiện diện của nó. Ảnh: chuaungthu.net.
Do suy dinh dưỡng: Lợi chảy máu có thể cho biết sự thiếu hụt chất dinh dưỡng và có thể được sửa chữa bằng cách thực hiện một chế độ ăn uống lành mạnh. Ảnh: benhviemgan.net.
Do suy dinh dưỡng: Lợi chảy máu có thể cho biết sự thiếu hụt chất dinh dưỡng và có thể được sửa chữa bằng cách thực hiện một chế độ ăn uống lành mạnh. Ảnh: benhviemgan.net.
Do thiếu vitamin C: Ngoài chảy máu chân răng, người bệnh còn gặp các triệu chứng như ngủ lịm, khó thở và đau xương. Ảnh: benhvienthammy.com.vn.
Do thiếu vitamin C: Ngoài chảy máu chân răng, người bệnh còn gặp các triệu chứng như ngủ lịm, khó thở và đau xương. Ảnh: benhvienthammy.com.vn.
4. Ho ra máu. Do bệnh lao phổi: Ho ra máu có thể là triệu chứng báo hiệu của lao phổi hoặc giãn phế quản. Do viêm phế quản cấp tính, mạn tính, hen phế quản... Ảnh: trihensuyen.vn.
4. Ho ra máu. Do bệnh lao phổi: Ho ra máu có thể là triệu chứng báo hiệu của lao phổi hoặc giãn phế quản. Do viêm phế quản cấp tính, mạn tính, hen phế quản... Ảnh: trihensuyen.vn.
Do bệnh tim mạch: tăng huyết áp, suy tim... hoặc do bệnh toàn thân: Bệnh sinh chảy máu, thể trạng rải rác trong lòng mạch, nhiễm khuẩn huyết... Ảnh: Filazym.vn.
Do bệnh tim mạch: tăng huyết áp, suy tim... hoặc do bệnh toàn thân: Bệnh sinh chảy máu, thể trạng rải rác trong lòng mạch, nhiễm khuẩn huyết... Ảnh: Filazym.vn.
5. Ra máu bộ phận sinh dục: Do rong kinh, rong huyết, kinh ít, kinh nhiều, băng kinh, vô kinh thứ phát… cơ năng: nguyên nhân thường gặp là do không phóng noãn, hay gặp trong các trường hợp sau ở tuổi dậy thì, tuổi mãn, không phóng noãn rải rác trong tuổi sinh đẻ. Ảnh: dieutribenhlau.info.
5. Ra máu bộ phận sinh dục: Do rong kinh, rong huyết, kinh ít, kinh nhiều, băng kinh, vô kinh thứ phát… cơ năng: nguyên nhân thường gặp là do không phóng noãn, hay gặp trong các trường hợp sau ở tuổi dậy thì, tuổi mãn, không phóng noãn rải rác trong tuổi sinh đẻ. Ảnh: dieutribenhlau.info.
Hoặc cũng có thể do viêm nhiễm nấm hoặc các bệnh như: U xơ tử cung: u xơ dưới niêm mạc, dị dạng tử cung, lao sinh dục, có các khối u nội tiết của buồng trứng. Ảnh: chuauxotucung.net.
Hoặc cũng có thể do viêm nhiễm nấm hoặc các bệnh như: U xơ tử cung: u xơ dưới niêm mạc, dị dạng tử cung, lao sinh dục, có các khối u nội tiết của buồng trứng. Ảnh: chuauxotucung.net.
6. Chảy máu tai: Chảy máu tai ở người lớn có thể do áp lực vào tai thay đổi đột ngột như lên cao hay lặn, chấn thương vùng tai mà thường gặp là rách da ống tai do ngoáy tai. Ảnh: alobacsi.com.
6. Chảy máu tai: Chảy máu tai ở người lớn có thể do áp lực vào tai thay đổi đột ngột như lên cao hay lặn, chấn thương vùng tai mà thường gặp là rách da ống tai do ngoáy tai. Ảnh: alobacsi.com.
Nhiều trường hợp bệnh nhân bị viêm tai giữa nhẹ nhưng do ngoáy tai nhiều và quá sâu gây tổn thương, làm nhiễm khuẩn ống tai ngoài, tai đau nhức, chảy mủ, ù tai, nghe kém thậm chí một số bệnh nhân đến khám khi ống tai ngoài bị viêm tấy lan tỏa ra nửa mặt, chảy máu lẫn nước mủ ra cửa tai. Ảnh: chuaviemtaigiua.com.
Nhiều trường hợp bệnh nhân bị viêm tai giữa nhẹ nhưng do ngoáy tai nhiều và quá sâu gây tổn thương, làm nhiễm khuẩn ống tai ngoài, tai đau nhức, chảy mủ, ù tai, nghe kém thậm chí một số bệnh nhân đến khám khi ống tai ngoài bị viêm tấy lan tỏa ra nửa mặt, chảy máu lẫn nước mủ ra cửa tai. Ảnh: chuaviemtaigiua.com.

GALLERY MỚI NHẤT

Cận cảnh công trình hồ điều hòa Cự Khối gần 1.000 tỷ ở Long Biên

Cận cảnh công trình hồ điều hòa Cự Khối gần 1.000 tỷ ở Long Biên

Dự án mương Việt Hưng - Cầu Bây và hồ điều hòa Cự Khối tại phường Long Biên đang được tăng tốc thi công với nhiều hạng mục đạt tiến độ tích cực. Khi hoàn thành, công trình sẽ góp phần giảm úng ngập, nâng cao năng lực tiêu thoát nước và cải thiện cảnh quan khu vực phía Đông Hà Nội.