Cha mẹ chủ quan, bé trai phải nhập viện vì sỏi bàng quang
Mới đây, Phòng khám Đa khoa Medlatec Thanh Xuân (Hà Nội) cho biết, đã tiếp nhận bé trai viêm bàng quang cấp trên nền sỏi bàng quang vì gia đình tự điều trị bằng trà râu ngô và thuốc kháng sinh.
Bé N.Đ.Đ. 11 tuổi, (Hà Nội) xuất hiện tình trạng đi tiểu ra máu, tái diễn suốt 3 tháng nay. Tình trạng kéo dài nhiều đợt, mỗi đợt khoảng 2 - 3 ngày. Theo mô tả của phụ huynh, nước tiểu kèm máu đỏ tươi, không vón cục, không tiểu rắt.
Trước bất thường về sức khỏe của con, thay vì đưa trẻ đến bệnh viện kiểm tra, gia đình tự điều trị bằng trà râu ngô và thuốc kháng sinh. Sau một thời gian tự điều trị, tình trạng tiểu ra máu của trẻ có dấu hiệu đỡ.
![]() |
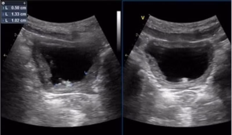
| Hình ảnh siêu âm của bệnh nhi phát hiện sỏi bàng quang. Ảnh PKCC |
Tuy nhiên, thời gian gần đây lại tái phát với biểu hiện tương tự. Lúc này gia đình đưa trẻ tới Phòng khám Đa khoa Medlatec Thanh Xuân (Hà Nội) thăm khám. Qua khai thác tiền sử và thăm khám lâm sàng phát hiện trẻ có thói quen nhịn tiểu, thậm chí thường xuyên túm bộ phận sinh dục để nhịn tiểu.
Sau đó, trẻ được bác sĩ chỉ định thực hiện các kỹ thuật cận lâm sàng phục vụ chẩn đoán. Trong đó, kết quả xét nghiệm cho thấy bạch cầu, hồng cầu tăng, chỉ số Nitrit dương tính. Đặc biệt, trên hình ảnh siêu âm phát hiện thành bàng quang dày 10.2mm, trong có đám sỏi kích thước 13x5mm. Bác sĩ kết luận tình trạng của trẻ là viêm bàng quang cấp trên nền bàng quang.
ThS.BS Trần Thị Kim Ngọc - Chuyên khoa Nhi cho biết, do sự chủ quan từ phía phụ huynh khiến tình trạng viêm bàng quang của trẻ tái đi tái lại nhiều lần, là một trong yếu tố nguy cơ cao và cũng là một trong những nguyên nhân hình thành sỏi bàng quang.
Tình trạng này nếu tiếp diễn mà không được điều trị kịp thời có thể gây ra những biến chứng nguy hiểm đối với sức khỏe của trẻ. Đây cũng là bài học mà cha mẹ cần đặc biệt rút kinh nghiệm trong quá trình nuôi con.
Sau khi được chẩn đoán chính xác tình trạng bệnh, cháu bé được kê đơn thuốc điều trị, sau 10 ngày thực hiện xét nghiệm tổng phân tích nước tiểu tại nhà cho kết quả ổn định. Ngoài ra, khi toàn trạng trẻ ổn định, tình trạng nhiễm trùng được kiểm soát sẽ có kế hoạch điều trị sỏi bàng quang nhằm tránh nguy cơ tái phát.
Sỏi bàng quang ở trẻ: Cha mẹ không nên chủ quan
Sỏi bàng quang nói chung và sỏi tiết niệu nói riêng ở trẻ em là một bệnh khá hiếm gặp, tỷ lệ này chỉ khoảng 7,2 đến 14,2 trường hợp trong 100.000 trẻ (dưới 18 tuổi) và chiếm khoảng 0,15% trên tổng số các bệnh nhân mắc sỏi đường niệu.
Theo các bác sĩ nguyên nhân hình thành sỏi bàng quang ở trẻ bao gồm:
Nội sinh: Di truyền, bệnh chuyển hóa, do sỏi thận, niệu quản.
Ngoại sinh: Bao gồm các yếu tố về môi trường sống, lối sống, điều kiện kinh tế xã hội như ăn nhiều thức ăn nhanh, có quá nhiều muối và các chất điều vị, ít uống nước lọc, hay sử dụng các loại nước uống công nghiệp; lười vận động…
Bệnh lý suy dinh dưỡng và béo phì: Trẻ suy dinh dưỡng hay gặp sỏi có bản chất là sỏi ammonium ở vị trí bàng quang; Còn trẻ béo phì hay gặp sỏi ở đường niệu trên là thận và niệu quản có bản chất là sỏi calcium.
Nhiễm trùng đường tiểu: Trẻ có bất thường những chỗ hẹp tự nhiên của đường tiết niệu (hẹp khúc nối bể thận - niệu quản, hẹp khúc nối bàng quang - niệu quản), hay những bệnh lý gây cản trở sự tống xuất nước tiểu như bàng quang thần kinh.
![]() |
| Ảnh minh họa. |
Theo đánh giá, sỏi bàng quang có thể gây ra những biến chứng nguy hiểm, đe dọa sức khỏe của trẻ như tổn thương niêm mạc bàng quang, bàng quang cấp, viêm bàng quang mạn tính, teo bàng quang, rò bàng quang, viêm thận do nhiễm khuẩn ngược dòng, suy thận.
Tùy theo tình trạng, vị trí và kích thước của viên sỏi, việc điều trị tình trạng sỏi bàng quang ở trẻ có thể áp dụng các phương pháp nội khoa hoặc xâm lấn tối thiểu như tán sỏi qua da, phẫu thuật nội soi.
Biện pháp phòng ngừa sỏi bàng quang
Để hạn chế nguy cơ bị sỏi ở bàng quang, bạn nên thực hiện 1 số biện pháp sau:
Uống nhiều nước: Mỗi người nên uống 2 – 3 lít nước một ngày, giúp cơ thể đào thải những chất độc, cặn bã ra khỏi thận, bàng quang, từ đó tránh sự kết tủa tạo sỏi.
Bổ sung thực phẩm ít chất béo: Nên bổ sung các loại thực phẩm như trái cây, rau, ngũ cốc nguyên hạt, sữa ít béo hay không béo vào thực đơn mỗi ngày. Ngoài ra, bạn nên hạn chế các món ăn chiên xào rán, không dùng các loại thực phẩm chế biến sẵn, đồ ăn hộp.
Hạn chế thức ăn giàu đạm ở những người có tăng axit uric trong máu: Đạm có khả năng làm tích tụ axit uric trong máu, làm hình thành tinh thể muối urat và tích tụ ở bàng quang. Khi đó, người bệnh sẽ có nguy cơ cao bị sỏi. Mỗi ngày bạn chỉ nên bổ sung tối đa 200g thịt, ưu tiên thịt nạc, ức gà và hạn chế hải sản, tôm, cua.
Bổ sung thực phẩm giàu chất xơ: Các thực phẩm chứa lượng chất xơ dồi dào mà bạn nên bổ sung hằng ngày như: Rau, trái cây, ngũ cốc nguyên hạt, đậu…
Tránh sử dụng các chất kích thích: Bạn nên hạn chế sử dụng bia, rượu, thuốc lá và các chất kích thích khác. Vì các hóa chất này tích tụ trong cơ thể rất dễ tạo thành sỏi.
Khi có dấu hiệu sỏi ở hệ tiết niệu, người bệnh nên nhanh chóng đi thăm khám và điều trị sớm.

